06/01/2022
Hypoesthésie : causes, symptômes et traitements de la perte de sensibilité

L'hypoesthésie désigne une perte de sensibilité, par exemple dans un bras ou dans une jambe. Le point avec un neurologue.
Hypoesthésie : de quoi s'agit-il exactement ?
Petite leçon d'étymologie. D'après le dictionnaire de l'Académie Française, le mot " hypoesthésie " vient du grec " aisthêsis " (qui désigne une sensation ou une sensibilité), auquel a été attaché le préfixe grec " hypo- " (" moins " ou " en-dessous ").
Hypoesthésie : définition. En langage médical, l'hypoesthésie désigne donc une perte de sensibilité : celle-ci peut survenir au niveau de n'importe quelle partie du corps (visage, bras, jambes...) et même atteindre des zones assez inhabituelles (l'urètre, le sphincter anal, la langue...).
" On pourra également parler de " trouble de la sensibilité ", note le Dr. Thierry Anani, neurologue. Dans le langage courant, la personne dira qu'elle ne " sent plus " son bras, sa jambe, une partie de son visage... ou décrira une sensation d'engourdissement. "
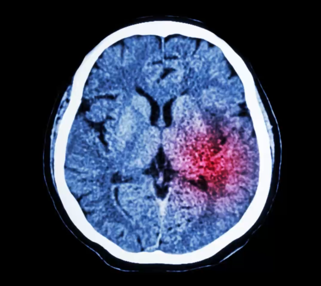
Hypoesthésie : l'AVC, une urgence qui nécessite une réaction rapide
L'accident vasculaire cérébral (AVC) survient lorsque la circulation sanguine vers ou dans le cerveau est interrompue par un vaisseau sanguin bouché (AVC ischémique, le plus fréquent avec 80 % des cas) ou par un vaisseau sanguin rompu (AVC hémorragique, environ 20 % des cas).
Chaque année, 150 000 Français subissent un accident vasculaire cérébral (on parle aussi d' " attaque "). " L'AVC se caractérise par une perte de sensibilité brutale qui atteint le plus souvent le bras et le visage du même côté, ou le bras et la jambe du même côté (on ne les " sent plus " du côté gauche ou du côté droit), explique le Dr. Thierry Anani. Cette perte de sensibilité dure plus de 5 minutes. "
Les autres signes qui peuvent faire penser à un AVC sont :
- Une déformation de la bouche : lorsque la personne sourit, le sourire n'est plus symétrique, par exemple,
- Des troubles de la parole : la personne est incapable de répéter une phrase ou semble ne pas la comprendre.
- On peut aussi observer des troubles de l'équilibre, des maux de tête intenses et/ou une baisse de la vision.
En cas de symptômes qui peuvent faire penser à un AVC, il est impératif d'appeler au plus vite les secours (on compose le 15 ou le 112 sur le téléphone). Chaque minute compte !
Attention ! " En cas de crise de migraine, chez certaines personnes, on peut constater une perte de sensibilité au niveau de la main qui peut monter jusqu'aux lèvres du même côté (on ne " sent " plus son bras et sa lèvre du côté gauche ou du côté droit) ; cette hypoesthésie dure entre 5 minutes et 1 heure. Il est alors préférable d'appeler les secours (15 ou 112) car on peut confondre avec un accident vasculaire cérébral (AVC) " remarque le Dr. Thierry Anani.
Hypoesthésie : les autres causes auxquelles on peut penser
Par ordre de fréquence, voici les causes auxquelles on peut penser en cas d'hypoesthésie :
- La sclérose en plaques
La sclérose en plaques (SEP) est une maladie chronique, évolutive et auto-immune du système nerveux central (le cerveau et la moelle épinière) : en France, 100 000 personnes en sont atteintes, et 75 % des malades sont des femmes.
" La sclérose en plaques évolue souvent par crises, au cours desquelles on peut notamment observer une perte de sensibilité (hypoesthésie) au niveau d'un bras, d'une jambe, du milieu du dos ou encore d'une région fessière, détaille le neurologue. Cette perte de sensibilité s'installe de façon progressive (sur 2-3 jours) et peut durer plusieurs jours. "
Les autres signes de la sclérose en plaques sont : une baisse de la vision d'un œil, des troubles des mouvements et/ou de la marche, des " picotements " aux membres, des contractions ou des faiblesses musculaires, ou encore une fatigue intense. Les premiers signes de la maladie surviennent généralement entre 20 et 40 ans.
- Le syndrome du canal carpien
Le syndrome du canal carpien survient lorsque le nerf médian (il s'agit du principal nerf de la main) se retrouve coincé dans un tunnel trop étroit pour lui : le canal carpien, un tunnel osseux et fibreux qui est situé à la base du poignet.
" En cas de syndrome du canal carpien, il peut y avoir un engourdissement aux 3-4 premiers doigts de la main, le plus souvent durant la nuit ou au réveil : les patients ont le réflexe de remuer les doigts " explique le Dr. Thierry Anani.
- La sciatique
" Lors d'une crise de sciatique, on peut observer une perte de sensibilité du pied ou de la jambe du côté de la sciatique " remarque le Dr. Thierry Anani.
La sciatique survient lorsque l'une des racines du nerf sciatique (qui descend depuis le bas du dos jusqu'au pied, en passant par les fesses) subit une compression. On peut alors constater une douleur dans le bas du dos et/ou le long de la jambe, qui est déclenchée par l'effort et qui s'atténue lorsqu'on est allongé, avec éventuellement des fourmillements dans la jambe ou dans le pied.
- Les névralgies faciales et les névralgies cervico-brachiales
Elles sont liées à un dysfonctionnement d'un nerf, soit à son point de départ, soit sur son trajet. Parmi les névralgies faciales, c'est la névralgie du nerf trijumeau qui est la plus fréquente. Elle se traduit par des douleurs pouvant concerner soit la partie haute, soit la partie moyenne ou encore la partie inférieure d'une hémiface.
Les douleurs sont de nature variable (décharges électriques, brûlures, chaleur, picotements, engourdissement) et s'accompagnent d'une perte de sensibilité dans la même zone que celle où siège la douleur. L'IRM du crâne, centrée sur la base du cerveau, permet de rechercher la cause. Des traitements existent et ont pour but de soulager la douleur.
- La fracture osseuse
Après un traumatisme (par exemple : après une chute depuis une échelle), une perte de sensibilité peut notamment apparaître au niveau du bras ou de la jambe : c'est un signe qui peut faire penser à une fracture osseuse. " Dans les membres, les os sont à proximité des nerfs : un traumatisme osseux peut donc s'accompagner d'un traumatisme nerveux " explique le Dr. Thierry Anani. Dans le doute, une consultation rapide (dans la journée) chez le médecin s'impose, voire un passage aux Urgences.
Hypoesthésie : quand faut-il consulter ?
On le rappelle : si l'engourdissement survient de façon brutale, d'un seul côté du corps, et qu'il dure plus de 5 minutes, il est impératif d'appeler les secours (15 ou 112) car il peut être question d'un accident vasculaire cérébral (AVC).
" Consultez votre médecin traitant si les symptômes s'installent ou s'ils reviennent régulièrement ; consultez également s'il y a des symptômes associés à la perte de sensibilité, une perte de force par exemple (vous ne parvenez plus à tenir un verre d'eau, vous avez du mal à marcher...) " recommande le Dr. Anani. Votre médecin traitant pourra alors vous rediriger vers un neurologue.
" En cas d'hypoesthésie, l'auto-médication n'est pas conseillée. " ajoute le spécialiste.
Merci au Dr. Thierry Anani, neurologue à l'Hôpital privé Océane à Vannes (56 – groupe ELSAN).
© Apolline Henry - Femme Actuelle – 03-01-2022
Découvrez l'ensemble de l'équipe de neurologue de l'Hôpital Privé Océane.
