10/04/2025
Leucémie lymphocytaire chronique c’est quoi ?

Leucémie lymphocytaire chronique (LLC) « c’est quoi », qu’est-ce ? Définition
La leucémie lymphocytaire ou lymphoïde chronique (LLC) est un cancer du sang, ou leucémie.
Cancer du sang
Cette maladie touche un certain type de globules blancs appelés les lymphocytes, en particulier les lymphocytes B qui jouent un rôle essentiel dans la lutte contre les germes. Ces lymphocytes vont se transformer et vivre plus longtemps que prévu. Ils vont venir s'accumuler dans le sang, la moelle osseuse, les ganglions lymphatiques, mais aussi la rate.
Les scientifiques considèrent que cette forme de leucémie est d'évolution lente et, hormis d'éventuelles complications, elle ne nécessite pas nécessairement de traitement. Cette maladie chronique n'évolue, en principe pas, en leucémie aiguë. Elle ne nécessite souvent qu'une surveillance médicale régulière.
Cette maladie touche plus souvent les hommes et est responsable d'environ 4500 nouveaux cas par an (sources Santé publique France 2018). Il ne s'agit donc pas d'un cancer fréquent comparativement aux cancers de la prostate, du poumon, du côlon ou du sein. Néanmoins, il s'agit de la forme de leucémie la plus fréquente chez l'adulte. L'âge moyen des patients est autour de 70 ans.
Les différents stades de la leucémie
Qu'est-ce qu'un lymphocyte B ?
Les lymphocytes B sont des globules blancs. Ils jouent un rôle essentiel dans l'immunité. Ces cellules produisent des anticorps. Ce sont ces globules blancs qui sont visés lorsque les scientifiques fabriquent un vaccin. Les lymphocytes B se déplacent dans la circulation sanguine et lymphatique. Ils se souviennent des agents pathogènes rencontrés et sont capables de les détruire lorsqu'ils les rencontrent à nouveau. Ces cellules sont produites dans la moelle osseuse.
Quels sont les symptômes de la leucémie lymphoïde chronique ?
Cette forme de leucémie peut ne pas être symptomatique. Quand il y a des symptômes ils peuvent être les suivants :
fatigue;
anorexie;
perte de poids;
fièvre;
sueurs durant la nuit;
ganglions gonflés en particulier au niveau du cou et ou de la clavicule;
augmentation du volume de la rate;
augmentation du volume du foie;
baisse de globules rouges;
baisse de plaquettes;
risque d'infections bactériennes ou virales.
C 'est d'ailleurs au détour d'une simple analyse de sang que l'on découvre, par hasard, qu'une personne est atteinte d'une leucémie lymphoïde chronique
Diagnostic de la leucémie lymphocytaire chronique (LLC)
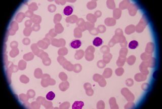
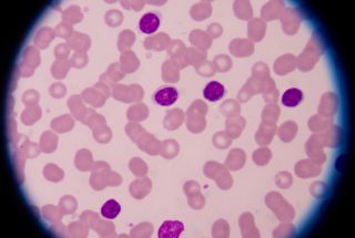
Pour poser le diagnostic, les médecins ont recours à un examen sanguin : numération formule sanguine. Ils complètent cet examen avec un frottis périphérique (application d'une goutte de sang sur une lamelle pour l'examiner). Ils utilisent également la cytométrie de flux pour analyser les cellules du sang ainsi qu'un immunophénotypage pour distinguer les différentes populations de cellules. Ces examens permettent de confirmer (ou non) la présence de lymphocyte B matures qui proviennent de la même cellule qui s'est multipliée.
Traitement de la leucémie lymphocytaire chronique
En principe, l'équipe médicale ne propose pas de traitement en l'absence de symptômes. S'il y a des symptômes, et selon les symptômes, les patients ou patientes peuvent se voir proposer de la chimiothérapie, de la thérapie ciblée, mais aussi de la radiothérapie. Il existe aussi des soins de supports qui comprennent notamment des transfusions de globules rouges et/ou de plaquettes ou traitements antimicrobiens en cas d'infection.
Peut-on guérir d'une leucémie LLC ?
Il n'est pas possible actuellement de guérir d'une leucémie lymphocytaire ou lymphoïde chronique (LLC), mais de nombreux patients présentent souvent des formes asymptomatiques et nécessitent seulement une surveillance à vie.
Quelle est l'espérance de vie pour la leucémie LLC ?
Comparée à d'autres types de leucémie, en particulier les formes aiguës de leucémie, la leucémie lymphocytaire chronique (LLC) est une pathologie moins sévère car elle peut ne pas se manifester durant plusieurs années. Mais les médecins ne peuvent pas prévoir comment cette maladie va évoluer. Lorsqu'elle devient symptomatique des traitements sont efficaces, mais il existe un risque de rechute et de nouvelle évolution. Les risques importants associés à cette forme de leucémie sont les infections et une évolution vers un syndrome plus agressif appelé Richter qui est un lymphome de haut grade.
Ainsi, l'espérance de vie peut beaucoup varier, entre 5 ans et 20 ans sans traitement selon les sources dans le cas d'un pathologie au stade 0 à II (classification de Rai), estiment les spécialistes. On dénombre 1000 décès par an en lien avec la leucémie lymphocytaire chronique.
Cet article médical a été écrit par un rédacteur expert santé et SEO (EEAT et YMYL), Pierre Luton, et relu et validé par un médecin spécialiste en oncologie au sein d’un établissement ELSAN, groupe leader de l’hospitalisation privée en France. Il a un but uniquement informatif et ne se substitue en aucun cas à l’avis de votre médecin, seul habilité à poser un diagnostic.
Pour établir un diagnostic médical précis et correspondant à votre cas personnel ou en savoir davantage et avoir plus d’informations sur votre pathologie, nous vous rappelons qu’il est indispensable de prendre contact et de consulter un médecin.
Contactez les praticiens oncologues médicaux au sein des hôpitaux privés ELSAN, qui vous reçoivent en RDV près de chez vous, dans l’un de nos établissements.
Quelles sont les causes de la leucémie lymphoblastique aiguë ?
