#Actualité médicale#Innovation#Hôpital Privé du Grand Narbonne
07/06/2024
L’Hôpital Privé du Grand Narbonne développe la chirurgie intra-durale rachidienne à Narbonne
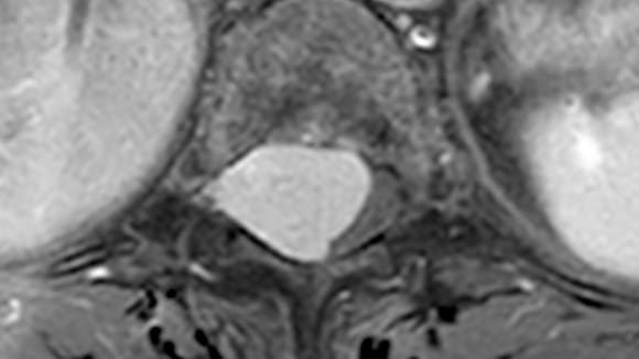
L’Hôpital Privé du Grand Narbonne (HPGN) continue d’étendre son offre de soins pour les patients de la région de Narbonne et est fier d’annoncer la réussite de la première chirurgie d’exérèse des tumeurs intra-durales qui a eu lieu le 23 avril dernier.
Les tumeurs intra-durales, situées à l’intérieur du sac méningé qui renferme le système nerveux central, représentent un défi médical majeur. Les principaux types de tumeurs affectant cette zone sont les méningiomes et les neurinomes, nécessitant une expertise neurochirurgicale de haut niveau. La chirurgie intra-durale rachidienne est reconnue pour sa complexité et ses risques élevés, exigeant la présence de deux neurochirurgiens, un microscope opératoire et des instruments de microchirurgie.
Pour relever ce défi, HPGN a réalisé des investissements significatifs, notamment l’acquisition d’un microscope opératoire et d’instruments de microchirurgie, ainsi que le recrutement d’un deuxième neurochirurgien. Grâce à ces avancées, les Drs. Flore et Abed Rabbo ont pu mener à bien cette intervention délicate.
Cette avancée permet désormais de réaliser des chirurgies intra-durales des tumeurs thoraciques et lombaires à Narbonne, offrant ainsi aux patients une prise en charge locale et évitant les déplacements hors de la région.
HPGN ne compte pas s’arrêter là. Sous l’impulsion des Drs. Flore et Abed Rabbo, l’hôpital prévoit de développer la chirurgie mini-invasive et les interventions rachidiennes complexes. Pour ce faire, il s’équipera prochainement d’un écarteur mini-invasif et d’un système de neuronavigation avec imagerie per-opératoire.
A propos de l’Hôpital Privé du Grand Narbonne
L’Hôpital Privé du Grand Narbonne propose une grande offre de soins avec 276 lits et places de médecine et de chirurgie.
Il dispose notamment d’un service de chirurgie de 45 lits et de 10 salles de Bloc Opératoire dont deux salles dédiées à l’endoscopie digestive. Mais également un service d’hospitalisation de médecine de 60 lits dont 24 lits de médecine onco hémato et 12 lits identifiés de soins palliatifs. Sans oublier, une Unité de 12 lits de Surveillance Continue, d’un service de chimiothérapie ambulatoire avec 18 places et d’une Hospitalisation de Jour et de soins de support.
L’établissement complète son offre de soins avec une Hospitalisation à Domicile (HAD), en suivant 70 patients/j, un service de Soins Médicaux et de Réadaptation de 34 lits (SMR) et un service de Dialyse et bien évidemment un service d’urgences.



