Pose de la 1ère prothèse de poignet de Roanne
Le Dr Ramy Belhaouane, chirurgien orthopédiste spécialiste du membre supérieur, pose la première prothèse de poignet de Roanne chez une patiente âgée de 63 ans.

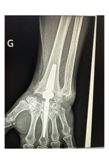
Candidate idéale à l’intervention, la patiente de 63 ans du Dr Belhaouane a bénéficié d’une chirurgie innovante sur la région roannaise. En effet, la pose de cette prothèse de poignet lui permettra de traiter sa douleur et de garder de la mobilité, ce qui n’aurait pas été le cas avec une arthrodèse. Cette chirurgie innovante vient compléter l’éventail des traitements chirurgicaux que peuvent proposer les chirurgiens orthopédistes à leurs patients atteints d’arthrose. Ce traitement encore peu répandu (150 chirurgies en France en 2022) est pour le moment réservé à un profil limité de patient. Le candidat doit en effet répondre à un certain nombre de critères : âge, métier, type d’arthrose, localisation, absence de risque infectieux.
L’intervention nécessite un geste chirurgical précis dont la durée varie entre 1h et 1h30 et peut se réaliser en ambulatoire. Le chirurgien vient remplacer les os du carpe par une prothèse afin de restaurer une certaine mobilité articulaire.
«Depuis ma récente installation à la Clinique du Renaison, je souhaitais importer cette procédure innovante. C’est une première pour cet établissement et son territoire. » déclare le Dr Belhaouane.
Le poignet est une articulation complexe. Du fait du nombre important d’interlignes articulaires, cette zone est propice au développement de l’arthrose. Pour rappel, l’arthrose est synonyme d’usure du cartilage. Son origine varie, elle peut être dégénérative ou post-traumatique (séquelle de fracture ou d’entorse grave). L’arthrose peut également se développer dans le cadre de maladies articulaires inflammatoires (ex polyarthrite). 
« Ma patiente validait tous les critères pour ce type de chirurgie, néanmoins, je lui ai présenté les différentes opérations possibles, avec les avantages et les inconvénients de chaque option. Elle a fait le choix de la prothèse totale de poignet. Je l’ai revue en consultation de contrôle, elle va très bien. »
Ce concept de prothèse de poignet est une révolution en matière de prise en charge chirurgicale de l’arthrose. Conçue et largement répandue dans les pays nordiques depuis plus 15 ans, cette technique chirurgicale fait l’objet de plus en plus de communications au sein des congrès d’orthopédie français.
« Même si le nombre de chirurgies avec cette technique est actuellement limité, c’est le début de la démocratisation de la prothèse totale de poignet. A terme nous pourrons la proposer à des patients de plus en plus jeunes et de plus en plus actifs, comme c’est déjà le cas chez nos voisins scandinaves. »

