#Cardiologie#Actudumois#Actualité médicale#Chirurgie#Hôpital Privé les Franciscaines
17/12/2024
Chirurgie cardiaque : Tendyne pour l'insuffisance cardiaque
Chirurgie cardiaque : une solution révolutionnaire pour les patients non opérables
Le mardi 15 octobre 2024, un patient de plus de 70 ans souffrant d’insuffisance mitrale sévère, et qui n'aurait pu supporter une chirurgie cardiaque classique, a bénéficié de l’implantation d’une bioprothèse mitrale par cathéter, appelée Tendyne™.
Une équipe pluridisciplinaire du Nouvel Hôpital Privé les Franciscaines de Nîmes, composée des Dr Maupas et Dr Tadros, cardiologues interventionnels, Dr Ghodhbane, chirurgien thoracique et cardiovasculaire et Dr Mathieu, cardiologue échographiste, a guidé avec précision l’ensemble de la procédure. Encore peu développée en France, cette technologie de pointe marque un tournant décisif dans la prise en charge de patients jusqu'alors inopérables en raison de leur âge avancé ou de leur état de santé fragile.
L’insuffisance mitrale : une pathologie aux multiples conséquences
La valve mitrale est l’une des quatre valves du cœur qui contrôlent la circulation du sang. Elle est située entre l'oreillette gauche et le ventricule gauche. Composée de deux feuillets, elle s’ouvre et se ferme sous la pression du muscle cardiaque. L’insuffisance mitrale ou fuite mitrale est l’une des valvulopathies cardiaques les plus courantes, affectant gravement la fonction du cœur. Elle survient lorsque la valve mitrale ne se ferme pas correctement, provoquant une fuite de sang en sens inverse. Cette anomalie, appelée régurgitation mitrale, entraîne une surcharge de travail pour le cœur, le forçant à compenser la fuite en se dilatant, ce qui, à long terme, peut conduire à une insuffisance cardiaque.
Les patients souffrant de régurgitation mitrale peuvent présenter des symptômes variés, dont :
- Essoufflement (souvent au repos ou lors d’efforts physiques)
- Fatigue chronique
- Toux sèche ou saccadée
- Œdème des membres inférieurs (chevilles et pieds gonflés)
- Crachats sanglants ou toux sèche récurrente
- Épisodes d’évanouissement ou de vertiges
Les traitements médicamenteux peuvent atténuer les symptômes de la régurgitation mitrale, mais ils ne résolvent pas le dysfonctionnement valvulaire à l'origine du problème. “Certains patients, en raison de leur âge ou d’un risque opératoire élevé, ne sont pas éligibles à une chirurgie classique dite à cœur ouvert” explique le Dr Ghodhbane, chirurgien thoracique et cardiovasculaire. “La chirurgie de remplacement de la valve est souvent le traitement privilégié. Le Tendyne™ offre une alternative durable et moins invasive, adaptée à ces patients inopérables” souligne Dr Tadros.
Une procédure mini-invasive : un espoir pour les patients à haut risque
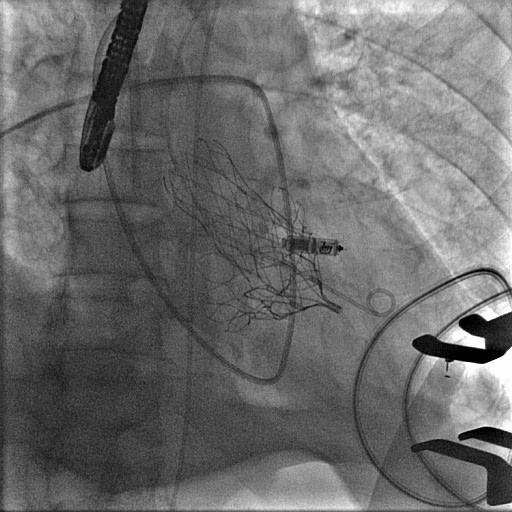
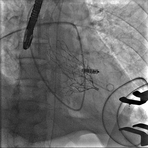
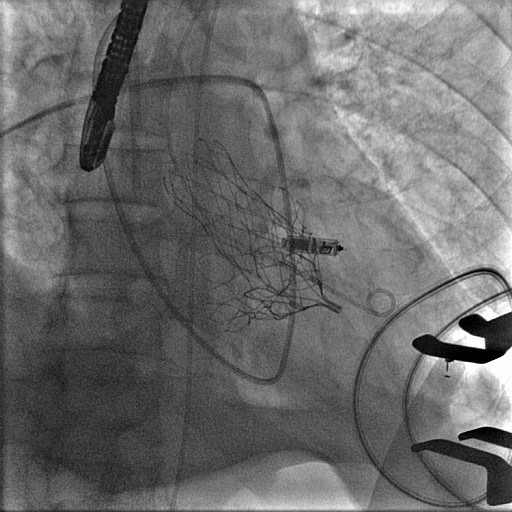
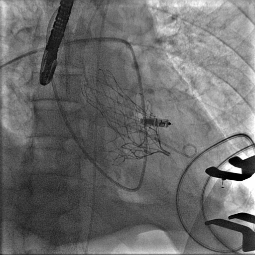
La pose de la bioprothèse Tendyne™ est une procédure sophistiquée et moins invasive que la chirurgie classique. En effet, cette procédure se déroule sans arrêt du cœur, ni recours à la circulation extracorporelle, ce qui diminue considérablement les risques opératoires et les complications postopératoires. Cette technique se réalise par une insertion d’un cathéter à travers une petite incision (environ 3 cm) réalisée au niveau du thorax, entre les côtes. La prothèse est guidée jusqu’au cœur via le ventricule gauche, où elle est déployée avec une précision millimétrée pour remplacer la valve mitrale défectueuse.
L’intervention, réalisée sous anesthésie générale, est guidée en temps réel par Dr Mathieu, cardiologue échographiste avec des techniques d’imagerie avancée : échographie transœsophagienne 3D et fluoroscopie. Cela permet à l’équipe chirurgicale de visualiser et d’assurer le guidage à chaque étape de l’opération. L'introduction du cathéter permet de positionner et d'ancrer la prothèse directement dans la valve native.
Tendyne™ : une avancée dans l’expertise en cardiopathie valvulaire
La bioprothèse mitrale transcathéter Tendyne™ est le fruit d’années de recherche en cardiologie interventionnelle. Cette prothèse innovante permet le remplacement de la valve mitrale par voie percutanée, offrant une option thérapeutique révolutionnaire aux patients inéligibles à la chirurgie traditionnelle ou à la réparation valvulaire par clip mitral.
En France, cette procédure s'inscrit dans une niche médicale, avec environ 1 700 patients ayant bénéficié de l'implantation de cette bioprothèse au cours des six dernières années.

Mutualisation des expertises pour une réussite optimale
La Heart Team accorde une priorité essentielle à une évaluation approfondie des pathologies cardiovasculaires et à la sélection du traitement le plus approprié pour chaque patient. Cette approche repose sur une collaboration pluridisciplinaire rigoureuse et une relation de confiance entre les différents spécialistes. La Heart Team est composée de professionnels de santé spécifiquement formés aux techniques cardiaques avancées, incluant notamment:
Un chirurgien thoracique et cardiovasculaire expérimenté dans les interventions mini-invasives.
Un cardiologue échographiste, chargé du suivi échographique en temps réel.
Des cardiologues interventionnels, experts en procédures transcathéter.
Un anesthésiste-réanimateur, responsable de la gestion de l’anesthésie générale et des fonctions vitales durant l’intervention.
Cette approche pluridisciplinaire permet d’offrir une solution thérapeutique de pointe à des patients jusque-là considérés comme inopérables, tout en minimisant les risques liés à l’intervention.
L’introduction de la bioprothèse Tendyne™ marque une véritable révolution dans le traitement des régurgitations mitrales sévères. Cette innovation ouvre de nouvelles perspectives pour les gardois, leur offrant une qualité de vie améliorée tout en minimisant les risques opératoires. Grâce à cette avancée, le Nouvel Hôpital Privé les Franciscaines se positionne à l’avant-garde des technologies cardiaques de pointe.
Le Nouvel Hôpital Privé Les Franciscaines, situé au cœur de l'agglomération nîmoise, est un établissement de référence dans le domaine de la prise en charge des pathologies cardiovasculaires. Il se distingue par son expertise en chirurgie cardiaque, vasculaire et thoracique, ainsi que par ses activités de cardiologie interventionnelle, notamment la coronarographie, visant à optimiser le traitement pour les patients. L’établissement dispose de plus de 150 lits, couvrant l’hospitalisation conventionnelle, ambulatoire et les soins critiques. Il propose également un large éventail d’interventions chirurgicales, incluant la chirurgie orthopédique, digestive, ophtalmologique, maxillo-faciale, ORL et esthétique. En outre, la structure offre des services spécialisés tels qu’une unité dédiée à la prise en charge de la douleur chronique, un centre plaies et de cicatrisation, ainsi qu’un service complet de radiologie conventionnelle et d’imagerie en coupe, renforçant ainsi son rôle de centre médical d’excellence multidisciplinaire.



