Peut-on guérir d’une leucémie myéloïde chronique ?
Peut-on guérir d’une leucémie myéloïde chronique (LMC) ?
La leucémie myéloïde se traite mais ne se guérit généralement pas. Il arrive parfois de suspendre le traitement si la pathologie ne fait pas parler d'elle, mais un suivi reste nécessaire. Les patients et patientes prennent, la plupart des cas, un traitement à vie qui leur permet de continuer à vivre une vie quasiment normale, même s'il existe des effets secondaires.

Un cancer du sang qui peut évoluer vers la leucémie aiguë
La leucémie myéloïde chronique est une maladie qui s'installe progressivement. Si elle n'est pas traitée, cette maladie peut évoluer vers des formes plus graves, notamment aiguës. Avec le traitement, il reste possible néanmoins que des personnes évoluent vers une forme aiguë.
Définition : qu’est-ce qu’une leucémie myéloïde chronique ?
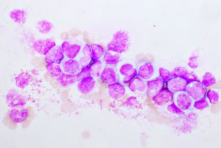
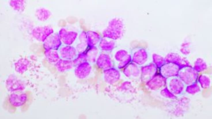
La leucémie myéloïde chronique est une forme de leucémie, ou cancer du sang ou, plus précisément un cancer de la moelle osseuse. Le processus en cours dans cette maladie est le suivant : des globules blancs, ou leucocytes, sont en surproduction. Les globules blancs en question sont des granulocytes qui ont pour fonction de s'en prendre aux différents germes présents dans l'organisme.
Cause de la LMC, cancer de la moelle osseuse ?
Une anomalie (non expliquée) avec un chromosome, appelé Philadelphie, entraîne un assemblage erratique de deux gènes (BCR-ABL) qui entraîne ensuite la production d'une protéine (tyrosine kinase) à l'origine de la surproduction de ces globules blancs par la moelle osseuse. Cette maladie n'est pas héréditaire et touche généralement les adultes âgés autour de 55 ans, plus particulièrement les hommes.
Comment on découvre une leucémie myéloïde chronique ?
Ce cancer du sang est souvent découvert par hasard au cours d'une analyse de sang qui met en évidence une anomalie concernant les globules blancs et, parfois, les plaquettes. Le diagnostic s'effectue en réalisant :
-
un hémogramme ou NFS. Cet examen donne des informations précises sur les cellules (globules blancs et rouges, plaquettes...) ;
-
un myélogramme. Cet examen permet d'aspirer un peu de moelle, sous anesthésie afin de dénombrer les globules blancs cancéreux et vérifier le stade de la maladie ;
-
un examen de biologie moléculaire. Cet examen permet de chercher l'assemblage de gène BCR-ABL et de dénombrer les cellules leucémiques (ce sont elles qui portent ce gène).
Symptômes : quels sont les premiers signes de la leucémie chronique myéloïde ?
Les symptômes, quand il y en a, peuvent être les suivants :
-
fatigue;
-
perte de poids;
-
sueur;
-
augmentation du volume de la rate...
Comment évolue une leucémie myéloide chronique ?
Cette leucémie évolue en général lentement et les traitements permettent, le plus souvent, de maintenir la période chronique le plus longtemps possible. Selon les sources, environ 85% des patientes atteints de LMC sont dans la phase chronique.
Traitements d’une leucémie myéloide chronique ?
Le traitement de référence est la prescription d'inhibiteurs de la tyrosine kinase (cette protéine qui entraîne la surproduction de globules blancs). Ils sont utilisés durant la phase chronique de la maladie et sont considérés comme très efficaces, mêmes si les spécialistes estiment qu'ils ne sont pas curarifs. Ce traitement est une thérapie ciblée qui a révolutionné le pronostic et la qualité de vie des malades atteints de LMC. Cette thérapie permet de ramener à la normale le nombre de globules blancs et de faire baisser la quantité de BCR-ABL dans le sang.
Philadelphie
Le fait d'avoir identifié l'anomalie chromosomique (Philadelphie) à l'origine de la leucémie myéloïde chronique (en 1960) a donc permis, par la suite, de mettre au point ces traitements qui ciblent précisément cette anomalie. La mise au point de l''inhibiteur de tyrosine kinase a bouleversé la prise en charge des malades. "La présence de cette cible « oncogénique » unique a permis le développement du premier traitement anti cancéreux ciblé sur cette anomalie, qui n’élimine que les cellules leucémiques (les cellules normales n’ayant pas la cible) et qui a révolutionné le traitement de la leucémie myéloïde chronique ainsi que le traitement du cancer de manière plus générale", souligne le Centre Léon-Bérard.
En continu, parfois avec interruption
Il est nécessaire de prendre le traitement de façon continue. Le suivi s’organise au rythme d’une consultation chez l’hématologue tous les trois à six mois pour vérifier la tolérance et l’efficacité du traitement avec notamment une mesure de la quantité de BCR ABL dans le sang. Il arrive parfois de suspendre le traitement si la pathologie ne fait pas parler d'elle, mais un suivi reste nécessaire.
Les personnes atteintes de LMC peuvent aujourd’hui mener une vie quasiment normale.
Lorsque la maladie évolue, les malades peuvent se voir proposer une greffe allogénique de cellules souches hématopoïétiques. Cette greffe a pour but de remplacer les cellules endommagées de la moelle épinière.
Est-il possible de travailler avec une LMC ?
Cela dépend de chacun et chacune, mais selon les témoignages, il est possible pour les personnes atteintes de LMC de travailler en aménageant leur poste notamment en obtenant du télétravail si possible. Dans les périodes où la maladie est plus active, il peut être nécessaire de suspendre le travail.
Quelle est l'espérance de vie d'une personne atteinte de leucémie myéloïde chronique ?
Les statistiques semblent favorables dans la mesure où la survie en cas de leucémie myéloïde chronique est considérée comme supérieur à 90% 5 ans après le diagnostic. De nombreux facteurs rentrent en ligne de compte comme le fait que le patient ou la patiente est bien en phase chronique de la maladie et qu'il répond favorablement aux traitements.
Cet article médical a été écrit par un rédacteur expert santé et SEO (EEAT et YMYL), Pierre Luton, et relu et validé par un médecin spécialiste en oncologie au sein d’un établissement ELSAN, groupe leader de l’hospitalisation privée en France. Il a un but uniquement informatif et ne se substitue en aucun cas à l’avis de votre médecin, seul habilité à poser un diagnostic.
Pour établir un diagnostic médical précis et correspondant à votre cas personnel ou en savoir davantage et avoir plus d’informations sur votre pathologie, nous vous rappelons qu’il est indispensable de prendre contact et de consulter un médecin.
Contactez les praticiens oncologues médicaux au sein des hôpitaux privés ELSAN, qui vous reçoivent en RDV près de chez vous, dans l’un de nos établissements.
Vos questions fréquemment posées sur la leucémie myéloïde chronique et les leucémies
Est-ce que la leucémie chronique se guérit ?
A ce stade, la leucémie chronique, comme son nom l'indique, ne se guérit pas. Pour ce qui concerne la leucémie lymphocytaire chronique, elle peut rester longtemps sans symptôme et donc sans traitement. En ce qui concerne la leucémie myéloïde chronique, elle se traite souvent avec succès et il arrive qu'on stoppe le traitement car le maladie ne se manifeste plus (mais le suivi doit être maintenu).
Comment s'appelle la leucémie des « vieux » ?
La leucémie des "vieux" 🙂 n'existe pas ! Il existe des formes de leucémie qui touche préférentiellement les adultes ou les personnes âgées. La leucémie aiguë myéloïde (LAM) concerne des adultes et des personnes âgées. La leucémie lymphocytaire chronique touche plutôt des hommes autour de 70 ans. La leucémie myéloïde chronique touche des hommes autour de 55 ans.
Article écrit le 11/04/2025, vérifié par Pierre Luton, Journaliste expert, spécialisé santé, social et référenceur SEO