#Cancer du sang#Cancer
09/04/2025
Taux de survie de la leucémie aiguë myéloïde (LAM)
Quelle est l'espérance de vie avec un traitement pour la leucémie myéloïde aiguë (LAM ou LMA) ?
Sans traitement, la leucémie myéloïde aiguë peut entraîner la mort de la plupart des personnes qui en sont atteintes, en peu de temps.
Avec traitement, le pronostic est meilleur même si cette maladie reste sévère. Selon les sources, et selon les traitements utilisés, entre 20 et 50% des patients ou patientes traités (selon les traitements utilisés et leur âge) peuvent espérer survivre au moins 5 ans. La guérison intervient lorsque les malades ont passé 5 années sans rechute. Ces données ne sont que des statistiques qui ne sont pas toujours en adéquation avec la situation individuelle des patients et patientes.
Il existe certains facteurs qui aggravent le pronostic : ainsi les personnes âgées de plus de 65 ans qui ont une numération élevée pour les globules blancs, les personnes qui présentent une leucémie myéloïde aiguë après une chimiothérapie ou une radiothérapie ou, encore, celles qui ont souffert précédemment d'un syndrome myélodysplasique (à savoir une production insuffisante de cellules normales par la moelle).

Définition : qu'est-ce que la leucémie aiguë myéloïde ?
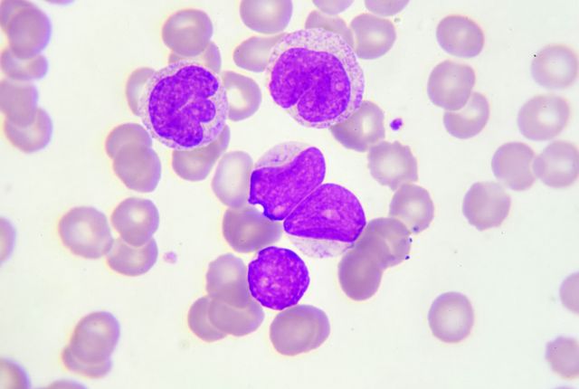
La leucémie aiguë myéloïde (LAM) ou myéloblastique est une forme de leucémie ou cancer du sang. Il y a quatre types de leucémie :
leucémie aiguë myéloblastique (LAM);
leucémie lymphoïde chronique (LLC);
leucémie myéloïde chronique (LMC).
La leucémie aiguë myéloïde ou myéloblastique concerne surtout les adultes et les personnes âgées. Elle doit son nom au fait qu'elle se développe avec des cellules dites immatures que l'on appelle les myéloblastes.
La leucémie myéloïde aiguë est une pathologie sévère. Elle est due au fait que les blastes, ces cellules immatures, deviennent cancéreuses et envahissent les cellules normales dans la moelle osseuse.
Que sont les myéloblastes ?
Les myéloblastes sont ce qu'on appelle des cellules qui sont à l'origine de la production des cellules du sang. On parle aussi de blastes, ces cellules immatures qui ne sont pas encore différenciées. A partir des blastes, on rencontre des cellules myéloblastes à l'origine de granulocytes, un type de globules blancs, par exemple, et des cellules lymphoblastes, à l'origine d'autres globules blancs comme les lymphocytes T ou B qui jouent un essentiel dans la défense de l'organisme.
Causes des leucémies aiguës myéloïdes
Les cellules souches de la moelle osseuse ne fonctionnent plus correctement ou se multiplient de façon incontrôlée dans cette maladie, mais à ce stade, ce processus reste inexpliqué, souligne l'institut Curie. Le principal facteur de risque connu est l'âge. On sait aussi qu'une exposition à des rayonnements ionisants ou à des produits chimiques représentent des facteurs de risque. Tout comme certaines anomalies génétiques ou des maladies du sang préexistantes ou des antécédents de chimiothérapie.
Quels traitements pour la leucémie aiguë myéloïde ?
Les deux traitements les plus cités sont la chimiothérapie et la greffe de cellules souches. Le but de la thérapie est de tenter de détruire le plus de cellules malades pour obtenir une rémission. Mais les traitements peuvent avoir des effets secondaires parfois importants sur les patientes et patients.
Symptômes de la leucémie aiguë myéloïde ?
Comme pour la plupart des leucémies, les symptômes rencontrés lors de cette pathologie sont :
faiblesse ;
bleus;
hémorragies;
pâleur;
faiblesse;
fièvre;
transpiration excessive;
infection.
Cet article médical a été écrit par un rédacteur expert santé et SEO (EEAT et YMYL), Pierre Luton, et relu et validé par un médecin spécialiste en oncologie au sein d’un établissement ELSAN, groupe leader de l’hospitalisation privée en France. Il a un but uniquement informatif et ne se substitue en aucun cas à l’avis de votre médecin, seul habilité à poser un diagnostic.
Pour établir un diagnostic médical précis et correspondant à votre cas personnel ou en savoir davantage et avoir plus d’informations sur votre pathologie, nous vous rappelons qu’il est indispensable de prendre contact et de consulter un médecin.
Contactez les praticiens oncologues médicaux au sein des hôpitaux privés ELSAN, qui vous reçoivent en RDV près de chez vous, dans l’un de nos établissements.
Vos questions fréquemment posées sur la leucémie myéloïde aiguë et les leucémies :
Quelle est la survie moyenne pour la leucémie myéloïde aiguë ?
Le pronostic moyen concernant la leucémie myéloïde aiguë dépend de plusieurs facteurs : l'âge, le stade, l'état de santé, la réponse au traitement et les complications possibles...
Le taux de survie des patients ou patientes atteintes de leucémie myéloïde chronique oscille, selon les sources, entre 20 et 50% à 5 ans. Mais il s'agit de statistiques qui ne reflètent pas nécessairement la réalité vécue au jour le jour par les personnes malades.
Quelle est l'espérance de vie avec une leucémie myéloïde chronique ?
Le pronostic pour la leucémie myéloïde chronique est plus favorable, s'agissant d'une maladie considérée à progression lente. Dans ces conditions et grâce aux traitements actuels, 90 % des patientes et patients survivent 5 ans au moins et nombre d'entre eux vont bien 10 ans après le traitement.
Comment guérir une leucémie myéloïde ?
Les traitements proposés pour la leucémie myéloïde aiguë sont souvent la chimiothérapie. Celle-ci vise à éradiquer les cellules anormales. Selon les résultats, une chimiothérapie d'entretien sur un long temps est proposée. Une greffe de cellules souches hématopoïétiques peut être proposée. Si une rechute est constatée, immunothérapie et thérapie cellulaire peuvent être envisagées. En cas de leucémie myéloïde chronique, l'équipe médicale s'oriente vers les inhibiteurs de la tyrosine kinase et, parfois, la greffe de cellules-souches hématopoïétiques allogéniques
Quelle est la forme de leucémie la plus grave ?
Les spécialistes considèrent que la leucémie myéloïde aiguë et la leucémie lymphoïde aiguë sont, parmi les leucémies, les pathologies les plus sévères. Néanmoins, la leucémie lymphoïde aiguë semble plus favorable chez les enfants de 3 à 9 ans. Les taux de survie sont moins optimistes pour les adultes et tournent autour de 50% à 5 ans selon les sources. Même si cela reste des statistiques.
Le cancer du sang est-il mortel ?
Malheureusement oui, le cancer du sang peut se révéler mortel. Avant le développement des traitements actuels, ce type de cancer était mortel dans la plupart des cas. Aujourd'hui, on peut atteindre des niveaux de survie moyens à excellents avec des traitements adaptés selon le type de cancer. La prise en charge dépend de beaucoup de paramètres : l'âge du ou de la patiente, son état de santé, le type de cancer du sang, les antécédents de la personne touchée, sa réponse aux traitements.
Article écrit le 09/04/2025Nx:, vérifié par Pierre Luton, etablissement


