#Actualité médicale#Clinique du Cambrésis
19/08/2025
L’Hallux Valgus
Un article écrit par le Dr Corentin RAJ, Chirurgien orthopédiste et traumatologue à la Clinique du Cambrésis
L’hallux valgus est une déformation fréquente de l’avant-pied correspondant à une déviation latérale du gros orteil (hallux), souvent accompagnée d’une bosse douloureuse sur le bord interne du pied, appelée «oignon ».
Cette pathologie touche majoritairement les femmes, souvent à partir de la quarantaine, et peut évoluer progressivement avec des douleurs et une gêne au chaussage.

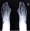
Figure 1 : Localisation de la douleur et déformation dans l’hallux valgus
Quelles sont les causes de l’Hallux Valgus?
Les causes de l’hallux valgus sont multiples :
-Facteurs héréditaires (antécédents dans la famille)
-Port de chaussures étroites ou à talons hauts,
-Laxité ligamentaire,
-Troubles statiques du pied (pied plat, hypermobilité…).
L’hallux valgus peut également s’aggraver avec le temps, en lien avec des contraintes mécaniques répétées.
Quels sont les symptômes de l’Hallux Valgus ?
Les principaux symptômes amenant à consulter sont:
-Une douleur au niveau de la bosse (bursite inflammatoire),
-Un frottement dans les chaussures,
-Une difficulté à se chausser,
-Une gêne à la marche parfois très invalidante
-Parfois des déformations associées des autres orteils (griffes, métatarsalgies).
La gêne fonctionnelle devient progressivement invalidante.
Comment diagnostiquer l’Hallux Valgus?
Le diagnostic est essentiellement clinique, lors de l’examen du pied.
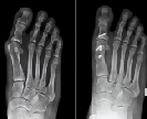
Une radiographie du pied et de l’avant-pied en charge (face, profil et incidence de Méary) permet d’évaluer :
-L’angle de déformation (angle entre le premier métatarse et
la première phalange de l’hallux)
-L’angle entre le premier et le deuxième métatarse (angle M1-M2)
-Les répercussions sur les métatarsiens
-Les déformations secondaires
-Les éventuels troubles de la statique de l’arrière-pied qui peuvent favoriser ou aggraver l’Hallux Valgus (pied plat, etc)

Figure 2 : Radiographie de face de l’avant pied en charge Hallux Valgus
Quels sont les traitements de l’Hallux Valgus ?
Le traitement dépend de la gêne et du stade évolutif :
En phase initiale :
-Aptation du chaussage,
-Port d’orthèses plantaires ou d’interposition nocturne,
-Traitement antalgique si besoin.

Figure 3 : Orthèse pour hallux valgus
Si la gêne devient importante, la chirurgie est indiquée. L’objectif est double :
-Corriger la déformation,
-Soulager les douleurs.

Figure 4 : radiographies avant et après chirurgie pour hallux valgus
Quand opérer en cas de l’Hallux Valgus ?
L’intervention chirurgicale de l’hallux valgus peut être envisagée :
-Lorsque la déformation devient douloureuse ou entraîne une gêne au chaussage et à la marche.
-En cas de douleurs persistantes malgré le traitement médical (port d’orthèses, adaptation des chaussures, antalgiques)
-En cas d’augmentation progressive de la déviation du gros orteil, de conflits avec les orteils adjacents ou d’apparition de troubles associés (cors, métatarsalgies, déformations en griffe).
L’objectif de la chirurgie est de corriger l’axe du gros orteil, soulager les douleurs et permettre un chaussage confortable.
Elle est généralement réalisée en chirurgie ambulatoire.
Le choix de la technique dépend de la gravité de la déformation, de l’âge du patient et de l’atteinte articulaire (ostéotomies pour réaligner l’orteil le plus souvent, arthrodèse en cas d’arthrose importante de l’articulation avec raideur).

Figure 5 : Résultats avant et après chirurgie
Quelles sont les suites opératoires ?
Après chirurgie, le patient peut remarcher immédiatement à l’aide d’une chaussure de décharge durant 1 mois.
Le pansement est refait au 15ème jour postopératoire.
Une anticoagulation préventive pour éviter une phlébite est nécessaires 10 jours.
Les chaussures du commerce sont reprises à 1 mois postopératoire, le vélo et la natation à 2 mois, et la course à pied vers 3 mois.
Un œdème du pied peut persister pendant 3 à 6 mois.

Figure 6: Chaussure de décharge
Chez IMMPACT (Institut Main Pied Plastique Articulation Chirurgie Traumatologie), nous proposons une prise en charge complète et personnalisée des patients souffrant de l’hallux valgus.
Les interventions sont réalisées par le Dr Corentin RAJ en chirurgie ambulatoire à la Clinique du Cambrésis, en collaboration avec les équipes de rééducation et les médecins traitants de la région.
Rendez-vous au 03 75 08 95 71ou sur Doctolib



