#Actualité médicale#Chirurgie#Maladies des poumons#Hôpital Privé Nancy Lorraine
25/04/2025
L’apport de la planification 3D et de la fluorescence dans les segmentectomies pulmonaires robot-assistées : une révolution chirurgicale
Cet article, rédigé par le Dr Christophe WOLLBRETT, chirurgien thoracique à l'Hôpital Privé Nancy Lorraine, a pour objectif de mettre en lumière les avancées technologiques majeures qui transforment l'approche des segmentectomies pulmonaires, en particulier grâce à l’intégration de la modélisation 3D préopératoire et de la fluorescence peropératoire dans le cadre des procédures robot-assistées.

Introduction
La segmentectomie pulmonaire est une intervention de plus en plus utilisée pour traiter certaines pathologies pulmonaires tout en préservant une partie du poumon. Les récents progrès technologiques, tels que la planification 3D et l’utilisation de la fluorescence au vert d'indocyanine (ICG), révolutionnent cette procédure en permettant une plus grande précision et sécurité pour le patient.
Segmentectomies : définition et indications
L’appareil respiratoire humain est constitué de deux poumons situés dans la cage thoracique, séparés entre eux par le médiastin et protégés par la paroi thoracique (côtes, sternum et muscles). Chaque poumon comporte des scissures le divisant en lobes, trois à droite (supérieur, moyen et inférieur) et deux à gauche (supérieur et inferieur). À l’intérieur de chaque lobe, le réseau vasculaire et bronchique se divise en branches segmentaires, non séparées par une scissure. Le poumon droit comporte dix segments et le gauche neuf segments (Figure1).

Une segmentectomie est définie comme une résection anatomique sous-lobaire contenant un segment ou un groupe de segments.
Elle est actuellement validée pour les cancers bronchiques non à petites cellules (CBNPC) de stade clinique localisé, les stades cIA-1 et cIA-2 (tumeur inférieure ou égale à deux centimètres et sans atteinte ganglionnaire) ou pour les patients présentant une fonction respiratoire limite. Cette validation tient à deux études princeps, le JCOG0802 (Japan Clinical Oncology Group) et le CALGB140503. Dans ces deux études de phase trois, randomisées contrôlées, la survie globale à cinq ans était non inférieure à la lobectomie.
Face à des tumeurs de petite taille, les segmentectomies sont alors une alternative privilégiée, car elles permettent une résection oncologique efficace (résection R0, curage ganglionnaire systématique) tout en préservant un maximum de parenchyme pulmonaire.
Une des principales difficultés techniques est la délimitation du plan intersegmentaire. Pour y remédier, plusieurs méthodes ont été mises en pratiques, toutes basées sur le principe de la segmentation pulmonaire.
L'importance de la planification 3D dans la stratégie chirurgicale
La planification préopératoire basée sur la modélisation 3D constitue une aide précieuse pour les chirurgiens réalisant des segmentectomies pulmonaires. Grâce à l’imagerie scanographique non injectée et aux logiciels de reconstruction 3D, il est possible d’obtenir une représentation détaillée des structures pulmonaires, notamment les segments anatomiques, les pédicules vasculaires et les ramifications bronchiques.
Cette modélisation permet :
- Une meilleure compréhension de la variabilité anatomique du patient, limitant ainsi les risques de complications peropératoires.
- Une identification précise des limites segmentaires, assurant une résection complète du segment tumoral tout en préservant au maximum le parenchyme sain.
- Une anticipation des difficultés techniques, facilitant l’optimisation des gestes opératoires.
La fluorescence au service de la segmentation pulmonaire
L’utilisation de la fluorescence peropératoire, avec le vert d’indocyanine (ICG), constitue un atout majeur dans les segmentectomies pulmonaires robot-assistées. Cette technique repose sur le vert d’indocyanine, un colorant qui émet une fluorescence dans le spectre du proche-infrarouge, non visible à l’œil nu. Après injection intra-veineuse, le vert d’indocyanine est visualisé à l’aide d’une caméra spécifique qui apparaît fluorescent dans tous les tissus perfusés. Les tissus non perfusés ne sont alors pas transilluminés. Dans le cadre d’une segmentectomie pulmonaire, et après ligature vasculaire, l’utilisation de ce type de technologie permet donc d’obtenir la limite anatomique entre les segments vascularisés et dévascularisés définissant le plan intersegmentaire.
Cela offre plusieurs avantages :
- Une identification claire de la ligne de section intersegmentaire, optimisant la résection en évitant les marges insuffisantes.
- Une réduction du risque de lésions vasculaires ou bronchiques involontaires.
- Une meilleure préservation fonctionnelle du parenchyme pulmonaire, essentielle pour les patients atteints de pathologies respiratoires sous-jacentes.
L’arrivée prochaine du dépistage du cancer du poumon par scanner thoracique low dose permettra d’identifier un nombre croissant de nodules pulmonaires à un stade précoce, ouvrant la voie à des traitements plus conservateurs comme la segmentectomie. Dans ce contexte, la chirurgie robot-assistée, associée à la planification 3D et à la fluorescence, constitue une avancée majeure, alliant précision oncologique, sécurité et épargne parenchymateuse. Ces applications témoignent d’une évolution vers une chirurgie toujours plus personnalisée, guidée par une compréhension fine de l’anatomie individuelle de chaque patient.
Cas clinique : une segmentectomie S9-S10 gauche par technique robot-assistée guidée par la planification 3D et la fluorescence
La segmentectomie S9-10 est une intervention très technique qui peut être difficile principalement en raison des variations anatomiques et de la difficulté du plan intersegmentaire.
Présentation du cas
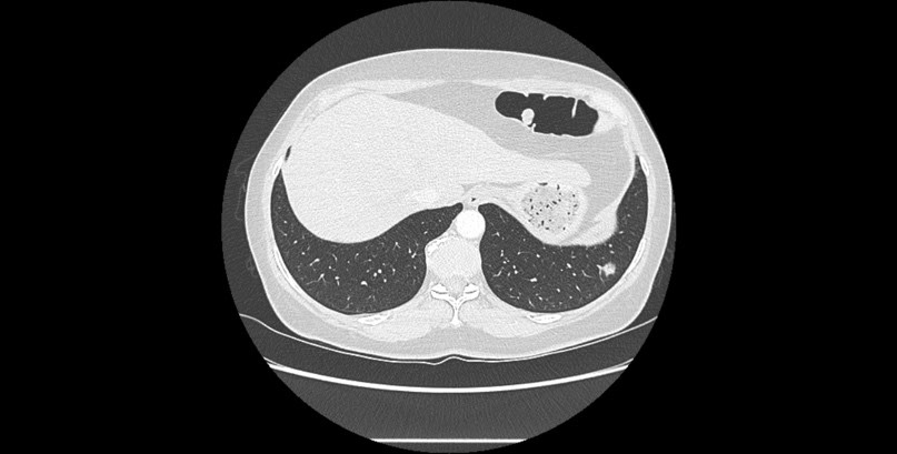
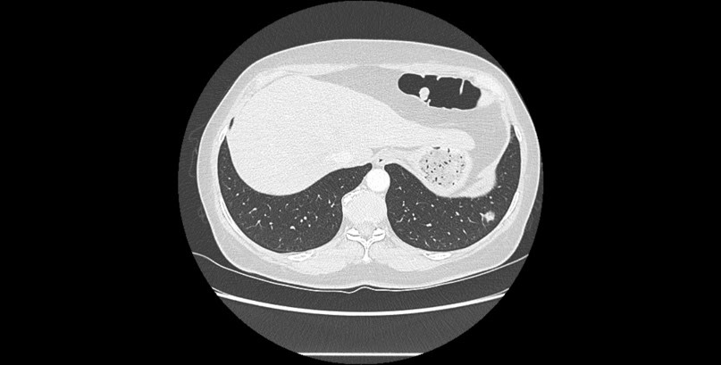
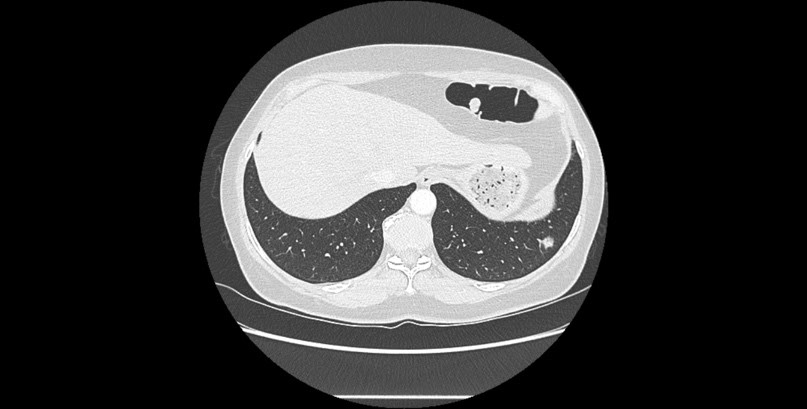
Une femme de 53 ans, ancienne fumeuse (20 paquets-années), sans antécédents médicaux chirurgicaux particuliers est adressée pour une prise en charge chirurgicale diagnostique et thérapeutique d’une lésion pulmonaire lobaire inférieure gauche suspecte. C’est lors d’un scanner abdominal qu’il a été mis en évidence un nodule basal gauche en mars 2024 de 12 mm résistant à une double ligne d’antibiothérapie (Figure 2). Le PET scanner ne retrouve pas d’hypermétabolisme franc suspect en regard de cette image latéro-basale gauche. L’IRM cérébrale ne retrouve pas de lésion suspecte. La fibroscopie bronchique est sans particularité.

Décision thérapeutique
Après un bilan d’opérabilité, l’indication d’une prise en charge chirurgicale diagnostique et thérapeutique à type de segmentectomie intentionnelle a été validée en réunion de concertation pluridisciplinaire pour cette lésion classée cT1bN0M0.
Planification 3D et stratégie chirurgicale
Une reconstruction 3D préopératoire est réalisée à partir du scanner thoracique non injecté de la patiente. Les images anonymisées du TDM au format DICOM sont téléchargées sur la plateforme Innersight (Karl Storz) puis traitées. La modélisation 3D est vérifiée puis accessible sous 48h sur plusieurs plateformes (ordinateur portable, tablette, smartphone).
La modélisation 3D intervient à deux étapes essentielles de la planification chirurgicale :
Détermination du type de segmentectomie à réaliser : Elle permet une localisation anatomique précise de la lésion au sein du parenchyme pulmonaire. À partir de cette localisation, le logiciel génère une marge de sécurité — correspondant à la quantité de tissu pulmonaire qu’il conviendrait de réséquer pour garantir une exérèse en zone saine, selon les standards appliqués en cas de carcinome bronchopulmonaire. L’analyse de ce modèle tridimensionnel permet alors d’évaluer la pertinence et la suffisance de la résection envisagée. Chez notre patiente, une lésion située à la base du segment latéro-basal (S9) du lobe inférieur gauche peut, après application d’une marge de sécurité de 2 cm, apparaître partiellement incluse dans le territoire du segment postéro-basal adjacent (S10). Dans ce cas, une segmentectomie S9 isolée serait insuffisante, et une bisegmentectomie S9-S10 serait indiquée afin d’assurer une exérèse complète avec marges satisfaisantes (Figure 3).

Analyse anatomique fine et navigation peropératoire : La modélisation 3D permet également une exploration séquentielle des structures vasculaires (artérielles et veineuses) et bronchiques. Cette analyse en couches successives favorise une planification chirurgicale précise. La connaissance préopératoire du trajet des artères et de leur territoire segmentaire permet d’anticiper les structures à préserver ou à sectionner, garantissant ainsi la conservation fonctionnelle des segments non concernés par la résection. Cette anticipation est essentielle pour optimiser la sécurité opératoire et la viabilité du parenchyme résiduel (Figure 4).

Réalisation de la chirurgie
L’intervention est réalisée par voie robot-assistée avec quatre bras du robot Da Vinci X (Intuitive) (Figure 5).

Après dissection des structures vasculaires et bronchiques, une injection de vert d’indocyanine est effectuée. Grâce à la fluorescence en mode infrarouge, la limite intersegmentaire est clairement identifiée, permettant une résection précise des segments S9-S10 tout en conservant les segments adjacents (Figure 6). Une analyse extemporanée est réalisée sur le ganglion intersegmentaire afin d’éliminer un potentiel envahissement ganglionnaire, contre-indiquant la segmentectomie. Un curage ganglionnaire médiastino-hilaire radical a été réalisé durant le temps opératoire.

Résultats et suivi
Les suites opératoires ont été simples. La patiente a pu sortir de l'hôpital trois jours après l'intervention avec une radiographie thoracique normale. L’examen anatomopathologique confirme un adénocarcinome bronchopulmonaire de stade I sans atteinte ganglionnaire avec des marges chirurgicales saines. Un mois plus tard, la patiente se portait bien et avait repris ses activités normales.
Conclusion
L’association de la planification 3D et de la fluorescence représente une évolution significative dans la prise en charge des patients nécessitant une segmentectomie pulmonaire. Elle contribue à une meilleure précision chirurgicale, à une diminution des complications et à une amélioration des résultats oncologiques et fonctionnels.
Avec l’essor des technologies numériques et de l’intelligence artificielle, il est probable que ces outils continuent d’évoluer, renforçant encore davantage la sécurité et l’efficacité des segmentectomies pulmonaires robot-assistées.



