
Atélectasie
Une atélectasie pulmonaire désigne un collapsus, c’est-à-dire un affaissement, de tout ou partie du poumon. Ce dernier se vide alors de son air. Il ne s’agit pas d’une maladie en soi, mais d’un symptôme dont il est nécessaire d’identifier la cause. Plusieurs facteurs peuvent être à l’origine d’une atélectasie pulmonaire, certains bénins, d’autres plus graves. Découvrez tout ce qu’il faut savoir sur l’atélectasie pulmonaire.
Atélectasie pulmonaire : comment la définir ?
Alvéole pulmonaire et respiration
Les alvéoles pulmonaires sont de petites structures en forme de sacs situées à l'extrémité des bronchioles dans les poumons. Elles jouent un rôle essentiel dans la respiration en étant le principal site où s'effectuent les échanges gazeux entre l'air inhalé et le sang. Chaque poumon contient des millions d'alvéoles, dont les parois sont extrêmement fines et riches en capillaires sanguins.
Lorsque nous respirons, l'oxygène contenu dans l'air traverse les parois des alvéoles pour passer dans le sang, tandis que le dioxyde de carbone, un déchet du métabolisme cellulaire, est transféré du sang vers les alvéoles pour être expiré. Ce mécanisme permet au corps de maintenir un apport constant en oxygène et d'éliminer les gaz carboniques.
Définition : qu'est ce qu'une atélectasie pulmonaire ?
L'atélectasie pulmonaire est une anomalie caractérisée par un affaissement d'une partie ou de l'intégralité du poumons en raison de l'incapacité des alvéoles pulmonaires à se remplir correctement d'air lors du processus de respiration. Cet affaissement se produit généralement en raison d'une obstruction des voies respiratoires ou d'une pression extérieure sur le poumon. Cette obstruction empêche l'air d'atteindre les alvéoles, entraînant un affaissement et une perte de volume pulmonaire dans la zone touchée.

Quelles sont les principales causes de l'atélectasie pulmonaire ?
On distingue deux mécanismes principaux à l'origine de l'atélectasie pulmonaire : l'obstruction bronchique et les affections respiratoires.
Obstruction bronchique
Une cause majeure de l'atélectasie est l'obstruction des bronches, qui empêche l'air d'atteindre les alvéoles pulmonaires
L'accumulation de mucus (ou bouchon muqueux) est l'une des causes les plus fréquentes d'obstruction bronchique, spécifiquement après une chirurgie. En effet, les sécrétions s'accumulent dans les bronches suite à une réduction de l'activité respiratoire, bloquant ainsi le passage de l'air.
L'inhalation de corps étrangers, fréquente chez les enfants, et les tumeurs bronchiques, peuvent également obstruer les voies respiratoires.
Certaines infections respiratoires, comme la pneumonie, peuvent aussi produire des sécrétions et une inflammation qui contribuent à cette obstruction.
La bronche peut aussi être comprimée de l'extérieur : c'est notamment le cas lorsqu'un liquide vient remplir l'espace pleural, situé à l'intérieur du thorax. On parle alors d' épanchement pleural. De l'air peut, de la même manière, venir remplir l'espace pleural (pneumothorax) et venir écraser un poumon.
Affections respiratoires
Le deuxième mécanisme majeur impliqué dans l'atélectasie est la limitation de la respiration profonde ou d'inhibition de la capacité à tousser.
Suite à une chirurgie thoracique ou abdominale, la douleur ou les effets de l'anesthésie générale peuvent rendre la respiration difficile et superficielle, et empêcher les poumons de pleinement se gonfler. La capacité de ventilation dans certaines parties des poumons est ainsi réduite, favorisant l'affaissement alvéolaire. De plus, l'incapacité à tousser efficacement après une intervention ou chez les patients alités entrave l'élimination naturelle des sécrétions, ce qui augmente le risque de formation d'un bouchon muqueux et donc d'atélectasie.
Ces deux mécanismes sont à l'origine de la plupart des cas d'atélectasie pulmonaire, en particulier dans les contextes postopératoires ou chez les patients atteints de maladies respiratoires chroniques.
Essoufflement, toux, douleur thoracique : quelles sont les symptômes d'une atélectasie bronchique ?
Les symptômes d’une atélectasie bronchitique varient selon les patients, en fonction de son étendue et de sa cause.
Si l’atélectasie bronchitique n’affecte que quelques bronchioles et alvéoles pulmonaires, les symptômes peuvent être discrets, voire absents.
Quand des signes cliniques sont présents, on retrouve fréquemment :
- Une dyspnée : il s’agit d’un essoufflement à l’effort. Cette difficulté respiratoire peut être légère à sévère selon les cas. Elle peut même se manifester au repos quand l’atélectasie est déjà à un stade avancé.
- Une toux : la toux est généralement sèche au départ, puis, en cas d’infection, se charge de mucus. Il s’agit d’une toux persistante.
-
Une douleur thoracique : dans certains cas, une douleur thoracique peut survenir au cours de la respiration profonde. Cela peut être le signe d’une pneumonie.
- Une augmentation des rythmes respiratoire et cardiaque : parfois, le manque d’oxygénation des poumons conduit l’organisme à compenser en augmentant le rythme de pompage du cœur et de la respiration. Une cyanose de la peau peut témoigner de ce manque d’oxygénation des poumons.
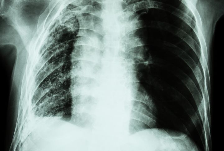
Radiographie ou consultation pneumologique, comment dépister une atélectasie du poumon ?
Consultation chez le pneumologue et radiographie du thorax
Nous vous conseillons de consulter votre médecin généraliste en première intention. Après un examen clinique, il vous orientera si nécessaire vers un pneumologue.
L’atélectasie du poumon n’étant pas toujours symptomatique si la zone affectée est très réduite, la radiographie du thorax est l’examen de choix pour diagnostiquer le trouble. Elle permet de détecter si une zone pulmonaire est sans air. À l’image, cela se traduit par une opacité révélatrice du poumon rétracté. Si la radiographie démontre l’existence d’une atélectasie, un scanner du thorax peut être prescrit pour avoir des images plus précises. Enfin, dans les cas les plus sévères, une bronchoscopie est nécessaire. Cet examen endoscopique, réalisé grâce à un bronchoscope (tube flexible souple muni d’une caméra et d’une pince), permet de visualiser les bronches, la trachée et de faire des prélèvements (biopsie).
Comment prévenir, traiter et soigner un collapsus pulmonaire ?
Prévention de l'atélectasie pulmonaire
La prévention de l’atélectasie pulmonaire passe par plusieurs mesures.
Chez l’enfant, elle résulte souvent de l’inhalation d’un corps étranger. Il convient donc d’éviter de laisser de petits objets à leur portée.
Chez l’adulte, la prévention de l'atélectasie passe par l’arrêt du tabac, mais également la pratique d’exercices de respiration profonde et de toux volontaire. Ces exercices de kinésithérapie respiratoire s’effectuent parfois avec un spiromètre incitatif. Cet appareil se compose d’un tube relié à une poche contenant une balle. À chaque respiration dans le tube, l'objectif du patient est de souffler assez puissamment pour soulever la balle. L'intensité pulmonaire requise pour compléter l'exercice est intense et sert de base de rééducation respiratoire au patient.
Traitement des collapsus pulmonaires
Le traitement d’une atélectasie pulmonaire dépend de la cause identifiée lors de l'examen avec le pneumologue.
En cas d'obstruction des bronches par une tumeur, un traitement par endoscopie est nécessaire pour retirer le tissu tumoral. Une chimiothérapie et une radiothérapie viennent alors compléter l'endoscopie afin d'éliminer les résidus de cellules tumorales dans l'organisme.
Si la cause de l'obstruction est un bouchon de mucus, il peut être retiré par une aspiration des voies respiratoires ou, le cas échéant, par bronchoscopie. Un traitement antibiotique est prescrit en complément si une infection est constatée.
Cet article médical a été relu et validé par un médecin spécialiste en pneumologie au sein d’un établissement ELSAN, groupe leader de l’hospitalisation privée en France. Il a un but uniquement informatif et ne se substitue en aucun cas à l’avis de votre médecin, seul habilité à poser un diagnostic.
Pour obtenir un diagnostic médical précis et correspondant à votre cas personnel ou en savoir davantage sur votre pathologie, nous vous rappelons qu’il est indispensable de consulter un médecin.
Vous trouverez ci-dessous la liste des pneumologues exerçant au sein des hôpitaux privés ELSAN, et disposés à vous recevoir en rendez-vous.
Vos questions les plus fréquentes
Atélectasie, pneumonie ou pleurésie : comment savoir ?
Atélectasie, pneumonie et pleurésie sont toutes trois des affections pulmonaires. L’atélectasie désigne un affaissement du poumon, tandis que la pneumonie se réfère à une infection du tissu pulmonaire. La pleurésie, enfin, est une inflammation des membranes qui recouvrent les poumons (plèvre).
Les symptômes diffèrent cependant légèrement : l’atélectasie génère peu souvent de fièvre et provoque des douleurs thoraciques légères, voire inexistantes. La pneumonie entraîne une toux productive, de la fièvre et des douleurs thoraciques accrues par la toux et la respiration profonde. La pleurésie entraîne des douleurs thoraciques très intenses et une toux sèche.
Si les symptômes sont parfois difficiles à différencier, l’examen clinique, les radiographies, les analyses de sang et la ponction pleurale permettent de différencier ces pathologies.
Complications d'atélectasie lobaire : quels traitements ?
Une atélectasie lobaire désigne l’affaissement d’un lobe entier de poumon. Si elle n’est pas prise rapidement en charge médicalement, des complications peuvent survenir. On peut notamment citer des affections telles que la pneumonie, l'hypoxie (manque d’oxygène dans le sang), l'hypercapnie (excès de dioxyde de carbone). Mais également l'insuffisance respiratoire ou encore la formation de métastases, si l’origine de l'affaissement est tumorale.
En cas de complications d’atélectasie lobaire, une antibiothérapie peut être nécessaire (s’il y a infection), de même qu’une oxygénothérapie. Pour les cas plus sévères, une intubation endotrachéale est pratiquée pour oxygéner les poumons du patient.
Que sont les bandes d'atélectasie ?
Le terme médical "bandes d’atélectasie" désigne les zones pulmonaires opaques, visibles sur les images radiographiques. Elles correspondent aux zones pulmonaires affaissées causées par l'atélectasie.
Nos médecins à proximité
Nos pneumologues à proximité
Pathologies associées à la Pneumologie








