Qu’il soit aigu, chronique ou secondaire, l’emphysème est une affection qui atteint le poumon et touche en particulier les fumeurs ou se manifeste après un effort violent. Si l’emphysème pulmonaire a un traitement possible, ses dommages n’en sont pas moins irréversibles lorsqu’il est chronique.
Définition : qu’est-ce qu’un emphysème au poumon ?
L’emphysème est une maladie qui entraîne la destruction des alvéoles des poumons. Cette dernière provoque ensuite l’affaissement des bronchioles, qui ont pour fonction de conduire l’air aux alvéoles. Par conséquent, l’air inhalé ne peut plus parvenir correctement jusqu’aux alvéoles encore fonctionnelles. Or, c’est dans les alvéoles que l’oxygène vient remplacer le dioxyde de carbone. La personne souffrant d’emphysème pulmonaire ressent donc un essoufflement de plus en plus marqué, dont les conséquences atteignent les poumons et le cœur.

Quels sont les principaux types d’emphysèmes pulmonaires et le BPCO ?
L’emphysème se décline en plusieurs types en fonction de la rapidité de son apparition, de sa durée ou de ses causes. On parle notamment d’emphysème pulmonaire aigu lorsque la maladie se manifeste rapidement, souvent en conséquence d’un effort particulier (sport, accouchement, altitude…). Dans ce cas, l’emphysème du poumon est généralement réversible, tout comme lorsqu’il s’agit d’un emphysème secondaire, c’est-à-dire dû à un obstacle obstruant une bronche ou le larynx. L’emphysème pulmonaire chronique, en revanche, est généralement dû au tabagisme et s’apparente à une bronchite chronique, plus particulièrement à la broncho-pneumopathie chronique obstructive. On associe alors BPCO et emphysème.
Quels sont les autres types d’emphysèmes pulmonaires et le BPCO ?
Selon la forme précise que prend la maladie, d’autres types peuvent encore être distingués :
- emphysème bulleux : des bulles dans les poumons compriment les tissus ;
- emphysème centrolobulaire : ne détruit d’abord que les alvéoles dans la moitié supérieure du poumon avant d’éventuellement évoluer en emphysème panlobulaire sur tout le poumon et détruisant également les vaisseaux sanguins ;
- emphysème paralésionnel : lié à la présence d’une cicatrice laissée par une ancienne maladie pulmonaire, type tuberculose ou silicose.
Quelles sont les causes d’un emphysème (MPOC) ?
Un emphysème peut avoir plusieurs origines. Il peut notamment s’agir d’une complication de la broncho-pneumopathie chronique obstructive (BPCO), une forme grave de bronchite à progression lente. Les bronchioles rétrécissent et les alvéoles se distendent jusqu’à se rompre, permettant à l’emphysème pulmonaire de s’installer.
Le tabagisme est également une cause majeure d’apparition d’emphysème, car il fragilise les poumons et favorise le développement d’infections.
Le vieillissement est aussi favorable à l’apparition d’emphysème, car l’élasticité des poumons diminue avec l’âge.
Quels sont les symptômes d’un emphysème selon leurs stades d'évolution ?
Selon le stade de la maladie, les symptômes diffèrent. En cas d’emphysème pulmonaire léger, le patient éprouve des difficultés à respirer, mais n’a pas besoin d’expectorer. En cas d’analyse de sang, le taux d’oxygène reste correct.
En cas d’emphysème avec bronchite chronique, les malades toussent et expectorent, en particulier le matin. Un autre symptôme de l’emphysème de ce type est la teinte bleutée que prend la peau des patients. En effet, le taux d’oxygène dans le sang devenant insuffisant, la peau se cyanose. En outre, le nombre de globules rouges augmente afin de compenser le manque d’apport en oxygène. Ce type d’emphysème en stade terminal évolue vers une insuffisance des cavités droites du cœur.
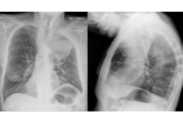
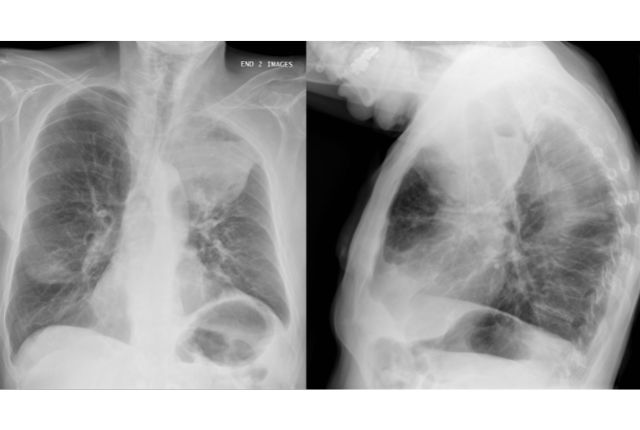
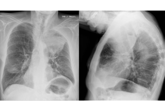
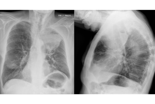
Le thorax se déforme et son diamètre avant-arrière augmente fortement. Les radiographies montrent un tissu pulmonaire qui perd peu à peu en surface.
Le patient se sent essoufflé, d’abord à l’effort seulement puis même au repos. La respiration peut être sifflante.
Comment diagnostiquer un emphysème ?
Plusieurs examens sont nécessaires pour diagnostiquer un emphysème, afin d’exclure toutes les autres maladies pulmonaires. Scanners et radiographies permettent d’évaluer l’état des poumons et la distension du thorax. Pour connaître le taux d’oxygène dans le sang, une saturométrie est généralement effectuée, et consiste en la pose d’un petit appareil sur un doigt. En complément, une prise de sang est nécessaire pour connaître le taux de gaz carboniques dans le sang. La ponction doit se faire dans une artère, généralement au niveau du poignet.
Des tests respiratoires sont également prescrits afin de cerner l’envergure de l’emphysème pulmonaire, notamment la spirométrie, qui permet de calculer le temps nécessaire au patient pour expulser tout l’air contenu dans ses poumons. Il suffit à ce dernier de souffler dans un tube relié à un appareil. Le résultat est ensuite comparé au même examen, mais avec prise préalable d’un bronchodilatateur. La pléthysmographie est un examen complémentaire permettant de connaître la quantité d’air restant dans les poumons en fin d’expiration.
Comment soigner un emphysème : quels traitements ?
En cas d’emphysème pulmonaire, l’espérance de vie est sensiblement réduite. Il est donc indispensable de commencer par stopper le tabac si le patient est fumeur. Le traitement de l’emphysème n’est pas curatif, mais destiné à soulager le patient dans sa vie quotidienne. Il se voit donc généralement prescrire :
- des bronchodilatateurs ;
- des comprimés de théophylline ou glucocorticoïdes ;
- des antibiotiques en cas d’infection ;
- de l’oxygène à domicile pour un emphysème en stade terminal ;
- le patient doit également se faire vacciner contre la grippe et le pneumocoque, car l’emphysème rend les poumons plus sensibles aux infections.
Exceptionnellement, une intervention chirurgicale peut être programmée pour réduire le volume pulmonaire. Elle peut prendre deux formes :
- pose d’une spirale pulmonaire pour obstruer la partie morte du poumon ;
- ablation de la partie morte pour laisser la place à la partie saine.
Un nouveau traitement de l’emphysème consiste à poser des valves unidirectionnelles dans les bronches par voie endoscopique pour restaurer l’élasticité pulmonaire et faciliter la contraction du diaphragme.
Cet article médical a été relu et validé par un médecin spécialiste en pneumologie au sein d’un établissement ELSAN, groupe leader de l’hospitalisation privée en France. Il a un but uniquement informatif et ne se substitue en aucun cas à l’avis de votre médecin, seul habilité à poser un diagnostic.
Pour établir un diagnostic médical précis et correspondant à votre cas personnel ou en savoir davantage et avoir plus d’informations sur votre pathologie, nous vous rappelons qu’il est indispensable de prendre contact et de consulter un médecin.
Vous trouverez ci-dessous, les pneumologues au sein des hôpitaux privés ELSAN, qui vous reçoivent en RDV près de chez vous, dans l’un de nos établissements.
Prenez tout de suite rendez-vous !
Obtenez un rendez-vous en moins de 5 min avec l'un de nos praticiens en choisissant le créneau horaire qui vous convient le mieux dans un établissement près de chez vous !
Vos questions fréquemment posées :
Est-ce que l'emphysème évolue ?
L’emphysème est une maladie pulmonaire progressive. Elle est caractérisée par une destruction des alvéoles pulmonaires, ce qui entraîne une diminution de la surface d’échange gazeux.
Quelle espérance de vie avec un emphysème ?
Le pronostic vital est engagé dès l'apparition des premiers symptômes d'emphysème. L'espérance de vie varie selon l'âge au moment du diagnostic, la gravité de la maladie, etc.
Quels sont les symptômes quand on a de l'emphysème ?
Les symptômes de l’emphysème sont la toux, la dyspnée, la fatigue et les problèmes respiratoires.
Comment stopper l'emphysème pulmonaire ?
L’emphysème pulmonaire est une maladie incurable. Cependant, il est possible de stopper la progression de la maladie et de soulager les symptômes via des traitements médicamenteux et un changement de mode de vie.
Est-ce que l'emphysème est grave ?
L'emphysème est une maladie grave qui peut provoquer de graves problèmes respiratoires, pulmonaires et cardiaques.
Pathologies associées à la Pneumologie
- Atélectasie
- BPCO
- Cancer du poumon : peut-on guérir d'un cancer à petites cellules ?
- Dilatation des bronches (DDB) ou bronchiectasie ou bronchectasie
- Emphysème
- Dossier santé Pneumopathies
- Epanchement-pleural
- Fibrose pulmonaire
- Mucoviscidose
- Nodule pulmonaire
- Comment savoir si un nodule au poumon est cancéreux ?
- Peut-on vivre avec des nodules aux poumons ?
- Oedème pulmonaire
- Pneumoconiose
- Pneumonie
- Pneumothorax
- Sarcoïdose
- Tuberculose
Nos pneumologues à proximité
- Pneumologue Châteauroux
- Pneumologue Désertines
- Pneumologue Saint-André-les-Vergers
- Pneumologue Poitiers
- Pneumologue Vichy
- Pneumologue Clermont-Ferrand
- Pneumologue Brive la Gaillarde
- Pneumologue Soyaux
- Pneumologue Aurillac
- Pneumologue Le Mans
- Pneumologue Sens
- Pneumologue Mainvilliers
- Pneumologue Mâcon
- Pneumologue Saint-Priest-en-Jarez
- Pneumologue Le Puy-en-Velay