
Fibrose pulmonaire
La fibrose pulmonaire est une maladie chronique qui affecte les poumons. Elle touche principalement les personnes aux alentours de 60 ans.
Les causes de la fibrose pulmonaire ne sont pas toujours identifiées. Ce que l’on observe, c’est une inflammation du tissu interstitiel qui soutient les alvéoles pulmonaires, perturbant ainsi les échanges gazeux du poumon. Une pathologie qui peut mener à une détresse respiratoire aiguë. Découvrez quels sont les symptômes, les causes et les traitements de la fibrose pulmonaire.
Définition : qu’est-ce qu’une fibrose pulmonaire (inflammation du poumon) ?
L’air inspiré passe par les bronches et leurs extrémités, les bronchioles, pour être distribué aux poumons. Aux extrémités des bronchioles se situent les alvéoles pulmonaires, formées d’un tissu pulmonaire et chargées de réaliser les échanges gazeux du poumon. Or en cas de fibrose pulmonaire, ce tissu interstitiel est malade, cicatriciel, se rigidifie. Du fait de cette inflammation du tissu interstitiel, les poumons ne peuvent plus assurer correctement les échanges gazeux entre l’extérieur et le sang. On distingue 4 types de fibrose pulmonaire : la fibrose pulmonaire idiopathique (de cause inconnue), la fibrose pulmonaire médicamenteuse, la pneumoconiose, la pneumopathie d’hypersensibilité. C’est une pathologie rare.

Quelles sont les causes d’une fibrose pulmonaire ?
Les causes de la fibrose pulmonaire sont inconnues dans la majorité des cas. On parle alors de fibrose pulmonaire idiopathique, laquelle est la forme la plus grave de la fibrose pulmonaire. Parmi les autres causes et facteurs de risque, on observe :
- la pollution environnementale : exposition aux produits chimiques, à des poussières de bois, aux pesticides, aux métaux lourds, à l’amiante, que ce soit dans le cadre professionnel ou non ;
- certaines maladies auto-immunes, c’est-à-dire des pathologies dans lesquelles le système immunitaire produit des anticorps qui s’attaquent à des éléments sains de l’organisme (polyarthrite rhumatoïde, sclérodermie, lupus…) ;
- l’effet secondaire de la prise de certains médicaments ou de drogues ;
- un facteur héréditaire ;
- l’âge : la fibrose pulmonaire idiopathique se manifeste surtout dans la tranche d’âge 50-70 ans.
Quels sont les symptômes d’une fibrose pulmonaire ?
Les symptômes de la fibrose pulmonaire se manifestent de façon progressive, à une vitesse variable selon les individus. Selon l’association pulmonaire du Québec, le premier symptôme, qui apparaît vers l’âge de 50 ans, est un essoufflement (dyspnée) qui se manifeste au départ uniquement lors d’un gros effort physique, puis pour de moindres efforts et enfin même au repos. Il s’accompagne d’une toux sèche. Peu à peu, une fatigue s’installe, ainsi qu’un manque d’appétit, une perte de poids. Une cyanose peut apparaître, c’est-à-dire que les lèvres, les ongles, la peau prennent une coloration bleutée, signe d’un manque d’oxygénation du sang. Les ongles des mains peuvent se bomber (hippocratisme digital). Enfin, une insuffisance cardiaque peut apparaître.
Quel diagnostic pour une fibrose pulmonaire ?
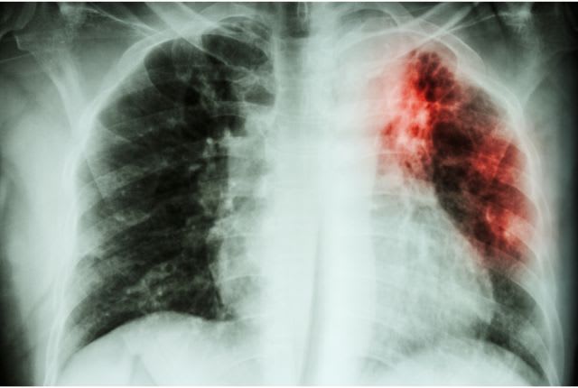
Il n’est pas toujours aisé de détecter une fibrose pulmonaire, car les symptômes peuvent être communs à d’autres pathologies respiratoires ou cardiaques. Après l’examen clinique, si le médecin suspecte une fibrose pulmonaire (notamment en raison d’un crépitement au niveau des poumons, d’un essoufflement), alors il dirige le patient vers un pneumologue. Ce dernier prescrit un scanner thoracique avec injection d’un produit de contraste pour visualiser l’état du tissu pulmonaire. En cas de fibrose pulmonaire, le tissu interstitiel prend la forme de rayons de miel. Des examens complémentaires sont effectués pour identifier la cause de la fibrose pulmonaire : des analyses de sang pour détecter une maladie auto-immune, des recherches génétiques, une mesure du souffle avec une exploration fonctionnelle respiratoire, une mesure des échanges gazeux pulmonaires (par le biais d’une capacité de diffusion du monoxyde de carbone). Une biopsie pulmonaire peut aussi être prescrite.
Quels sont les traitements d’une fibrose pulmonaire : médicaments, opération ?
Il est possible de ralentir ou d’interrompre la progression d’une fibrose pulmonaire, mais pas de la guérir. On dispose pour cela de :
- traitements médicamenteux de la fibrose pulmonaire : si la cause est une maladie auto-immune, on prescrit alors des immunosuppresseurs (corticoïdes) ;
- traitements non médicamenteux de la fibrose du poumon : on préconise l’arrêt du tabac, une oxygénothérapie, une rééducation respiratoire ;
- traitements chirurgicaux : Quand la maladie est à un stade avancé, une transplantation monopulmonaire peut être nécessaire.
Cet article médical a été relu et validé par un médecin spécialiste en pneumologie au sein d’un établissement ELSAN, groupe leader de l’hospitalisation privée en France. Il a un but uniquement informatif et ne se substitue en aucun cas à l’avis de votre médecin, seul habilité à poser un diagnostic.
Pour établir un diagnostic médical précis et correspondant à votre cas personnel ou en savoir davantage et avoir plus d’informations sur votre pathologie, nous vous rappelons qu’il est indispensable de prendre contact et de consulter un médecin.
Vous trouverez ci-dessous, les médecins pneumologues au sein des hôpitaux privés ELSAN, qui vous reçoivent en RDV près de chez vous, dans l’un de nos établissements.
Vos questions fréquemment posées :
Quels sont les stades d’une fibrose pulmonaire ?
On distingue trois stades de la fibrose pulmonaire. Le stade 1, au cours duquel un essoufflement se manifeste lors d’efforts physiques importants. Le stade 2 où l’essoufflement intervient en cas d’effort léger. Le stade 3 au cours duquel le patient est en permanence essoufflé (même au repos).
Quelle est l’espérance de vie avec une fibrose pulmonaire ?
L’espérance de vie avec une fibrose pulmonaire varie en fonction de la cause identifiée et de la personne. Dans le cas le plus grave d’une fibrose pulmonaire idiopathique, le stade terminal serait atteint 2 à 5 ans après le diagnostic, précise l’Association pulmonaire du Québec. Quand la fibrose pulmonaire résulte d’une exposition à des éléments nocifs ou de la prise de certains médicaments, le changement d’environnement et de traitement interrompt l’évolution de la maladie. Enfin, si la fibrose pulmonaire est associée à une autre pathologie, la durée de vie sera liée à celle de l’autre pathologie.
Comment guérir la fibrose pulmonaire ?
La fibrose pulmonaire est une maladie incurable, mais il existe des traitements qui peuvent atténuer les symptômes et ralentir la progression de la maladie. Le traitement de la fibrose pulmonaire repose sur trois piliers : les traitements médicamenteux, non médicamenteux et les traitements chirurgicaux.
Est-ce que la fibrose pulmonaire est dangereuse ?
La fibrose pulmonaire est une maladie grave du poumon qui peut entraîner une insuffisance respiratoire et, dans certains cas, la mort. La fibrose pulmonaire est provoquée par une inflammation et une cicatrisation excessive du tissu pulmonaire.
Pathologies associées à la Pneumologie
Nos pneumologues à proximité








