Tuberculose
La tuberculose est une infection bactérienne grave et contagieuse qui touche principalement les poumons et se transmet par voie aérienne.
Tableau récapitulatif sur la tuberculose
|
|
Données-clés |
|
Nature |
Maladie infectieuse bactérienne |
|
Agent responsable |
Mycobacterium tuberculosis (bacille de Koch) |
|
Localisation |
Principalement pulmonaire |
|
Transmission |
Voie aérienne (toux, parole, éternuement) |
|
Formes |
Latente, active, extra-pulmonaire |
|
Symptômes principaux |
Toux prolongée, fièvre, sueurs nocturnes, |
|
Diagnostic |
IDR, test sanguin, radiographie, |
|
Traitement |
Antibiothérapie combinée |
|
Prévention |
Vaccin BCG, dépistage des personnes à risque |
|
Contagiosité |
Une personne non traitée peut potentiellement |
Résumé sur la tuberculose
-
La tuberculose est une infection bactérienne contagieuse due au bacille de Koch.
-
Elle touche principalement les poumons, mais peut atteindre d’autres organes.
-
Elle existe sous deux formes : latente (sans symptômes) et active (contagieuse).
-
La transmission se fait par voie aérienne lors de contacts rapprochés.
-
Les symptômes incluent une toux persistante, de la fièvre, des sueurs nocturnes et une perte de poids.
-
Le diagnostic repose sur des tests immunologiques, radiologiques et microbiologiques.
-
Le traitement nécessite une antibiothérapie combinée sur plusieurs mois.
-
Une mauvaise observance favorise les résistances aux antibiotiques.
-
La prévention repose sur le vaccin BCG et le dépistage des personnes à risque.
-
La tuberculose est une maladie à déclaration obligatoire en France.
Cet article s’appuie sur des données validées par les autorités de santé (Assurance maladie, ministère de la Santé, OMS) et sur l’expérience des médecins du groupe ELSAN.
Définition : qu’est-ce que la tuberculose ?
La tuberculose est une maladie infectieuse qui provoque, à terme, une infection des poumons ou d’autres tissus et parties du corps. En effet, elle touche dans la majorité des cas les poumons, mais elle peut aussi affecter le cerveau, les reins, la peau, le foie etc. Tous les sujets infectés par la tuberculose ne tomberont pas forcément malades en développant des symptômes, mais si vous tombez malade, il est impératif de vous soigner, car la tuberculose est contagieuse et mortelle. La tuberculose est une maladie à déclaration obligatoire en France.

Latente ou active
Si vous êtes infecté sans présenter aucun symptôme, vous avez une tuberculose latente. La maladie n’a pas disparu, elle est simplement en sommeil dans votre organisme. Si, infecté par la tuberculose, vous développez des symptômes et êtes contagieux, vous avez une tuberculose active, autrement appelée tuberculose maladie.
La tuberculose peut prendre 3 formes
-
l’infection tuberculeuse latente (ITL) : L'infection tuberculeuse latente se produit lorsque la bactérie responsable de la tuberculose, Mycobacterium tuberculosis, est présente dans le corps mais ne provoque pas de symptômes actifs de la maladie. Dans cette forme, le système immunitaire est en mesure de contenir l'infection, de prévenir la propagation de la bactérie.
-
la tuberculose active : L'infection tuberculeuse se propage et provoque des symptômes cliniques. La tuberculose pulmonaire active est caractérisée par des symptômes cliniques spécifiques, une positivité des tests de diagnostic et une contagiosité élevée.
-
la tuberculose extra-pulmonaire : L'infection tuberculeuse se propage à d'autres parties du corps en dehors des poumons. Les méthodes de diagnostic et de détection peuvent varier en fonction de la localisation de la tuberculose extra-pulmonaire.
Incidence
La tuberculose atteint peu de personnes en France. Elle touche surtout les populations les plus vulnérables, en particulier les personnes sans domicile fixe. 4217 cas ont été notifiés en 2022. Les taux d'incidence les plus élevés sont dans ces départements :
-
Guyane (18,9 cas/100 000 habitants),
-
Mayotte (13,2 cas/100 000 habitants),
-
Ile-de-France (11,9 cas/100 000 habitants) et notamment la Seine-Saint-Denis : 18,5 cas/100 000 habitants.
Parmi la population mondiale, on dénombre environ 10,6 millions de cas par an (en 2022). La mortalité dans le monde s'élève à 1,3 million de personnes.
Quelles sont les causes de la tuberculose ?
La cause de la tuberculose est une bactérie, Mycobacterium tuberculosis , aussi appelée bacille de Koch, en référence à son découvreur allemand, Robert Koch en 1882. Dans de très rares cas, la bactérie se propage par la circulation sanguine à plusieurs autres organes : c’est la miliaire tuberculeuse.

Comment attrape-t-on la tuberculose ?
La transmission de la tuberculose se produit lorsqu’un sujet, atteint de tuberculose active, libère des germes dans l’air en toussant, en éternuant, en parlant, en chantant ou même en riant. Le système immunitaire de la plupart des personnes qui respirent ces bactéries tuberculeuses est capable de lutter contre elles et de les empêcher de se développer. Dans ce cas-là, elles deviennent porteuses d’une infection tuberculeuse latente. En revanche, si leur système immunitaire s’affaiblit, l’infection tuberculeuse latente peut se transformer en tuberculose active.
La tuberculose est-elle contagieuse ?
Contagion
La tuberculose est contagieuse. Elle se transmet par la voie aérienne. Une personne malade non traitée peut contaminer entre 5 à 15 personnes autour d'elle.
Quels sont les signes et symptômes de la tuberculose ?
Les infections latentes se manifestent par aucun symptôme. Néanmoins, en cas de test tuberculinique, celui-ci sera positif. Les symptômes d’une tuberculose active pulmonaire sont les suivants :
-
toux persistante, durant plus de deux semaines ;
-
douleur dans la poitrine ;
-
crachats parfois avec du sang ;
-
fatigue et faiblesse généralisée ;
-
perte d’appétit et de poids ;
-
frissons, fièvre ;
-
sueurs nocturnes.
Tuberculose pulmonaire et extra-pulmonaire
La tuberculose peut aussi se développer à l’extérieur des poumons. Il existe ainsi, entre autres :
-
La tuberculose ganglionnaire, qui affecte les ganglions lymphatiques et provoque leur gonflement.
-
La tuberculose osseuse, qui se propage aux os à partir des poumons ou des ganglions lymphatiques. Elle provoque des douleurs dorsales et articulaires.
-
La tuberculose génito-urinaire, la deuxième forme la plus fréquente de tuberculose extra-pulmonaire après la tuberculose ganglionnaire. Elle touche surtout les reins. Elle se manifeste par un ulcère tuberculeux sur le pénis ou dans le tractus génital.
-
La tuberculose gastro-intestinale, dont les symptômes varient selon la zone du tractus infectée.
-
La tuberculose cutanée, qui demeure très rare, y compris dans les pays où l’incidence de la tuberculose est élevée.
Comment se fait le diagnostic de la tuberculose : quels sont les tests à réaliser ?
Le diagnostic de la tuberculose implique un examen clinique approfondi suivi de tests :
-
L’intradermoréaction à la tuberculine (IDR). Dans ce cas-là, le médecin injecte une petite quantité d’une substance appelée tuberculine sous la peau de votre avant-bras. Au bout de 72 heures, vous devez retourner chez votre médecin traitant, qui examine le site d’injection. Si la zone d’injection a rougi et enflé, le test de la tuberculose est positif. Cela peut vouloir dire que vous avez une primo-infection tuberculeuse ou que votre vaccin contre la tuberculose est encore actif. Une deuxième IDR est nécessaire quelque temps plus tard pour vérifier, en fonction de l’évolution de l’induration, s’il s’agit d’une infection.
-
Une analyse de sang. Un échantillon de sang est envoyé à un laboratoire qui recherche si certaines cellules du système immunitaire "reconnaissent" la tuberculose.
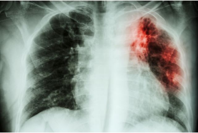
-
Une radiographie pulmonaire qui révèle des taches irrégulières dans les poumons, caractéristiques de la tuberculose active.
-
Une analyse d’un prélèvement de crachats. Un test de laboratoire rapide permet de vérifier si les crachats contiennent probablement la bactérie de la tuberculose. Néanmoins, ce test doit être confirmé par une analyse complémentaire, plus longue, qui permet également d’indiquer s’il s’agit d’une tuberculose résistante aux antibiotiques.
Quels sont les traitements pour soigner la tuberculose ?
Le traitement de la tuberculose repose sur l'utilisation de médicaments spécifiques. Ces médicaments antituberculeux sont généralement administrés en combinaison pendant une période prolongée pour éliminer complètement les bactéries Mycobacterium tuberculosis de l'organisme.
Thérapie combinée
La thérapie combinée est essentielle dans le traitement de la tuberculose pour plusieurs raisons.
Premièrement, elle permet de cibler les différentes populations de la bactérie qui pourraient être présentes dans le corps et d'éviter l'émergence de résistances aux médicaments.
Deuxièmement, la combinaison de médicaments permet de traiter les différentes formes de la maladie, y compris l'infection tuberculeuse latente et la tuberculose active.
La durée du traitement varie en fonction de la forme de la maladie. Pour l'infection tuberculeuse latente, qui est une forme dormante de la maladie, le traitement dure généralement de 3 à 6 mois minimum.
Combinaison de médicaments
En ce qui concerne la tuberculose active, le traitement est plus intensif et dure généralement plus longtemps. Pendant les premiers mois du traitement, une combinaison de médicaments est administrée pour attaquer les bactéries de manière agressive. Par la suite, certains médicaments peuvent être retirés pour réduire la charge médicamenteuse.
L'observance du traitement (le fait de bien le suivre) est cruciale pour obtenir des résultats positifs. Il est essentiel de prendre les médicaments prescrits régulièrement et selon les instructions du professionnel de santé. Un traitement interrompu ou incomplet peut entraîner des chutes de la maladie et favoriser le développement de résistances aux médicaments.
Efficacité du traitement
Pendant le traitement, des mesures sont prises pour surveiller l'efficacité du traitement. Cela peut inclure des analyses de crachats régulières pour évaluer la présence de bactéries, des examens cliniques pour surveiller les symptômes et des tests de laboratoire pour évaluer la réponse du corps aux médicaments. Ces évaluations permettent aux professionnels de la santé d'ajuster le traitement si nécessaire et de s'assurer que la maladie est contrôlée avec succès.
Parmi les traitements antituberculeux, se trouvent ces antibiotiques :
-
isoniazide,
-
rifampicine,
-
pyrazinamide
-
éthambutol.
Existe-t-il un mode de prévention pour la tuberculose : quel vaccin faire ?
La vaccination par le BCG (Bacille de Calmette et Guérin) est une mesure préventive courante contre la tuberculose. Le BCG est administré dans de nombreux pays, en particulier chez les nourrissons, et peut aider à réduire le risque de développer une tuberculose grave chez les enfants. Cependant, il convient de noter que le BCG ne garantit pas une protection à 100 % et ne prévient pas l'infection latente.
La vaccination n'est pas obligatoire
En France, les autorités recommandent l’injection du vaccin contre la tuberculose (bacille Calmette-Guérin ou BCG) chez les jeunes enfants à partir de 1 mois, dans le calendrier vaccinal. Ce vaccin protège les nourrissons contre les formes graves de cette maladie, en particulier la méningite tuberculeuse.
Dépistage de la tuberculose
Le dépistage précoce de la tuberculose est crucial, en particulier chez les personnes à risque élevé. Les groupes à risque comprennent les personnes vivant avec le VIH/sida, les personnes immunodéprimées, les contacts étroits de personnes atteintes de tuberculose active, les travailleurs de la santé, les personnes incarcérées et les migrants provenant de pays à forte prévalence de la tuberculose. Les stratégies de dépistage incluent des tests cutanés à la tuberculine (TCT) ou des tests sanguins d'interféron-gamma (IGRA) pour la mise en évidence d'une infection tuberculeuse latente. De plus, les radiographies pulmonaires et les cultures de crachats sont utilisées pour diagnostiquer la tuberculose active.
Centres de lutte antituberculeuse
La France est maillée de centres de lutte antituberculeuse qui déclinent sur les territoires la politique de lutte contre la tuberculose décidée au niveau national. Ceux-ci veillent à dépister et soigner les personnes, notamment démunies. Il existe plusieurs types de tests de dépistage de la tuberculose qui permettent de vérifier si une personne est contaminée par le bacille de Koch. Un premier test peut être utilisé, le test IDR. Un test sanguin, Igra, peut être proposé aux personnes "cas contact". Les médecins peuvent aussi décider de faire réaliser une radiographie pulmonaire.
Vos questions fréquemment posées sur la tuberculose et sur la journée mondiale 2026 :
Comment se transmet la tuberculose ?
La cause de la tuberculose est le bacille de Koch ou Mycobacterium tuberculosis. Cette maladie se transmet principalement par l'inhalation de gouttelettes infectées présentes dans l'air lors de la toux, de la parole ou de l'éternuement. La plupart des personnes résistent à l'infection et deviennent porteuses d'une infection latente, mais chez les sujets dont le système immunitaire s'affaiblit, la tuberculose devient active.
Comment soigner la tuberculose ?
Si vous avez une infection tuberculeuse latente, un traitement médicamenteux peut être prescrit, surtout si vous avez un risque élevé de développer la tuberculose active. La durée du traitement est généralement de trois à quatre mois. En cas de tuberculose active, le traitement peut durer de six à neuf mois. Il est crucial de suivre les instructions médicales, de passer par un examen clinique, de prendre toutes les doses et terminer le traitement pour éliminer complètement les bactéries et éviter l'émergence de résistances.
Quels sont les facteurs qui favorisent la tuberculose ?
Plusieurs facteurs peuvent favoriser l'apparition de la tuberculose chez une personne. Les principaux facteurs de risque incluent une exposition prolongée à une personne atteinte de tuberculose active, vivre dans des conditions surpeuplées ou dans des zones où la maladie est répandue, avoir un système immunitaire affaibli (par exemple en raison d'une infection par le VIH/sida), la malnutrition, le tabagisme, la consommation excessive d'alcool et certaines affections médicales telles que le diabète.
Quels sont les premiers signes de la tuberculose ?
Les premiers signes de la tuberculose peuvent varier d'une personne à l'autre. Les symptômes les plus courants comprennent une toux persistante souvent accompagnée de crachats de sang, une perte de poids, une fatigue importante, une fièvre (fièvre légère à modérée), des sueurs nocturnes et des douleurs thoraciques.
Est-ce que la tuberculose est dangereuse ?
La dangerosité de la tuberculose réside dans sa capacité à provoquer des symptômes graves et à entraîner des complications potentiellement mortelles si elle n'est pas diagnostiquée et traitée correctement.
Quand a lieu la journée mondiale contre la tuberculose 2026 ?
Tous les ans, le 24 mars, a lieu la journée mondiale contre la tuberculose. Cette année, le mot d'ordre de l'Organisation mondiale de la santé (OMS) est : "Oui ! Nous pouvons mettre fin à la tuberculose !" C'est un 24 mars, en 1882, que le bacille de la tuberculose a été découvert par le Dr Koch
Sources
-
Assurance maladie, mise à jour 17/11/2025,
-
OMS, mise à jour 03/2026,
-
Ministère de la Santé, mise à jour 16/12/2025.
Cet article médical a été écrit par un rédacteur expert santé et SEO (EEAT et YMYL), Pierre Luton. Il a un but uniquement informatif et ne se substitue en aucun cas à l’avis de votre médecin, seul habilité à poser un diagnostic. Ses données sont à jour à la date de publication de l'article.
Pour établir un diagnostic médical précis et correspondant à votre cas personnel ou en savoir davantage et avoir plus d’informations sur votre pathologie, nous vous rappelons qu’il est indispensable de prendre contact et de consulter un médecin.
Auteur
Article écrit le 19/06/2023
Modifié le 04/05/2026, vérifié par Dr Philippe Aillères, Médecin urgentiste et directeur du bureau d'accueil des patients internationaux d'ELSAN
Pathologies associées à la Pneumologie
Nos pneumologues à proximité








