Le pneumothorax résulte de la présence d’air dans la cavité pleurale (plèvre). Ce problème de santé n’est pas commun et peut toucher des personnes jeunes et plus âgées. Une intervention médicale dans les plus brefs délais est nécessaire pour éviter les complications.
Définition : qu’est-ce qu’un pneumothorax ?
Le pneumothorax est une maladie rare qui peut avoir d’importantes répercussions sur la santé. Elle peut prendre différentes formes. La plèvre est une membrane qui recouvre les poumons, la cage thoracique et le diaphragme. En principe, l’air ne se loge pas dans la cavité pleurale. En cas de pneumothorax, de l’air ou parfois même du gaz, s’introduit dans la membrane et peut déclencher un décollement des parois des poumons. Cette pathologie peut se manifester de manière unilatérale (un seul poumon) ou bilatérale (deux poumons).
Le pneumothorax traumatique
Comme son nom l’indique, le pneumothorax traumatique est dû à un traumatisme. Il peut donc arriver à la suite d’un accident ou d’une agression armée. Une fracture, une blessure dans cette région du corps peut permettre à l’air de s’introduire dans la cavité pleurale.
Le pneumothorax spontané
Le pneumothorax spontané est le plus répandu dans la population. Cette forme n’est associée à aucun choc. Il apparaît brusquement. On distingue de sous-catégories de pneumothorax spontané, le primitif et le secondaire.
Le pneumothorax spontané primitif
Des bulles d’air sont présentes sur les poumons. Il peut arriver qu’elles éclatent sans raison apparente. Cette explosion déclenche alors un pneumothorax spontané primitif. Les populations à risque sont les hommes âgés de moins de 40 ans et qui fument.
Le pneumothorax spontané secondaire
Le pneumothorax spontané secondaire est dû à une maladie sous-jacente. Les adultes de plus de 40 ans sont à risque de développer cette pathologie, notamment s’ils souffrent d’une pathologie pulmonaire tels que l’emphysème, la broncho-pneumopathie obstructive chronique ou le cancer du poumon. D’autres problèmes de santé peuvent être à l’origine d’un pneumothorax. Cette liste n’est pas exhaustive.
Quelles sont les causes d’un pneumothorax ?
Les causes d’un pneumothorax peuvent être traumatiques, circonstancielles ou pathologiques. Le diagnostic dépend principalement de l’âge du patient, de ses habitudes de vie et de son état de santé général.
Causes d’un pneumothorax traumatique
Un pneumothorax traumatique peut apparaître à la suite d’une agression à l’arme blanche ou à l’arme à feu au thorax et dans les environs. Un accident violent, notamment un accident de la route, un choc reçu lors d’une chute, etc. peuvent aussi déclencher ce type de pathologie.
Causes d’un pneumothorax spontané
Le pneumothorax spontané n’est pas lié à un traumatisme. Il peut intervenir de manière inattendue et brutale. Le tabagisme peut en être la cause chez les jeunes sujets. Pour les plus âgés, il est souvent lié à une pathologie sous-jacente. Une maladie qui affecte les poumons, comme un cancer, une mucoviscidose, peut aussi avoir ce genre de conséquences.
Quels sont les signes, symptômes, douleurs d’un pneumothorax ?
Le pneumothorax se manifeste par des problèmes respiratoires. Plusieurs traitements peuvent permettre de le régler.
Plusieurs symptômes peuvent évoquer un pneumothorax :
- des douleurs diffuses et intenses dans la région du thorax. Respirer et tousser peuvent être extrêmement douloureux ;
- une difficulté à respirer, ou une dyspnée, ce qui peut être angoissant en raison de l’intensité de ce symptôme ;
- une respiration très rapide ;
- une faiblesse générale ;
- de la toux.
Quel diagnostic permet d'identifier un pneumothorax ?
- L’examen physique permet au médecin généraliste d’orienter son diagnostic. À l’aide du stéthoscope, le professionnel peut écouter les sons produits par la cage thoracique et constater des crépitements souvent typiques du pneumothorax ;
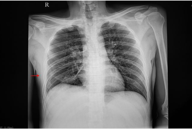
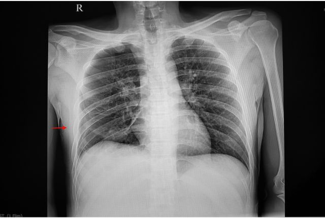
- Le diagnostic peut être confirmé grâce à la radio qui permet aussi de voir l’étendue du problème ;
- Des examens complémentaires peuvent être prescrits par le médecin traitant notamment si le pneumothorax est secondaire.

Quels traitements en cas de pneumothorax ?
Les traitements dépendent des causes du pneumothorax, de son étendue et de sa gravité :
- un pneumothorax spontané ne nécessite pas de traitement particulier, excepté parfois la prise d’antibiotiques. Plusieurs semaines sont nécessaires pour la convalescence. Le repos est obligatoire ;
- une intervention chirurgicale est, dans certains cas, nécessaire pour retirer l’air ou les gaz de la cavité pleurale;
- une surveillance régulière est par la suite nécessaire pour éviter une rechute et des séquelles.
Cet article médical a été relu et validé par un médecin spécialiste en pneumologie au sein d’un établissement ELSAN, groupe leader de l’hospitalisation privée en France. Il a un but uniquement informatif et ne se substitue en aucun cas à l’avis de votre médecin, seul habilité à poser un diagnostic.
Pour établir un diagnostic médical précis et correspondant à votre cas personnel ou en savoir davantage et avoir plus d’informations sur votre pathologie, nous vous rappelons qu’il est indispensable de prendre contact et de consulter un médecin.
Vous trouverez ci-dessous, les spécialistes pneumologues sein des hôpitaux privés ELSAN, qui vous reçoivent en RDV près de chez vous, dans l’un de nos établissements.
Prenez tout de suite rendez-vous !
Obtenez un rendez-vous en moins de 5 min avec l'un de nos praticiens en choisissant le créneau horaire qui vous convient le mieux dans un établissement près de chez vous !
Vos questions fréquemment posées :
Qu'est-ce qui peut causer un pneumothorax ou décollement du poumon ?
Les causes les plus fréquentes du pneumothorax sont : un traumatisme, une maladie pulmonaire, ou une intervention chirurgicale sur le thorax. Plusieurs symptômes ont été identifiés et semblent favoriser la survenue d’un pneumothorax : la dépressurisation, plongée sous-marine ; le tabagisme ; certains événements météorologiques tels que le temps orageux, les grands vents etc.
Quelles sont les suites et la conduite à tenir après un traitement de pneumothorax ?
Après un pneumothorax, le repos est vivement conseillé durant quelques semaines. L’arrêt du tabac est également une mesure recommandée. Il faut également éviter les voyages en avion et la plongée sous-marine dans les mois qui suivent ce problème de santé. La prudence est donc de rigueur pour se prémunir d’éventuelles récidives.
Comment savoir si j'ai un pneumothorax ?
Les symptômes d'un pneumothorax peuvent inclure une respiration rapide et sifflante, une douleur thoracique aiguë, une toux, une faiblesse et une sensation de fatigue. Si vous soupçonnez que vous avez un pneumothorax, consultez immédiatement un médecin.
Quelles sont les conséquences d'un pneumothorax ?
Le pneumothorax peut entraîner certaines complications selon son niveau de gravité comme la tachycardie ou la cyanose. Un pneumothorax traumatique peut dans certains cas entrainer un arrêt cardiaque et donc le décès.
Comment guérir d'un pneumothorax ?
Le pneumothorax nécessite une prise en charge médicale. Selon les cas, le repos peut suffire à entraîner la guérison. Un traitement contre la douleur peut être proposé. Dans les cas les plus sérieux, une hospitalisation est prescrite pour évacuer l'air des poumons. Pour prévenir une récidive, le patient peut se voir proposer une intervention chirurgicale. La reprise d'une activité est envisageable après la fin du traitement. Il faut attendre plusieurs semaines avant de reprendre l'avion. La reprise d'une activité de plongée sous-marine avec bouteilles n'est pas indiquée. Dans tous les cas, il convient de prendre l'avis de son praticien.
Est-ce que c'est grave d'avoir un pneumothorax ?
La gravité dépend du type de pneumothorax dont souffre le patient. Les symptômes peuvent varier. Parfois, il n'y pas de symptômes évidents. Un pneumothorax qui entraîne une suffocation (difficulté à respirer notamment lors d'un traumatisme) doit conduire à appeler rapidement les urgences. Dans tous les cas, il est nécessaire de consulter sans tarder son médecin.
Peut-on mourir d'un pneumothorax ?
Dans les cas les plus graves, le pneumothorax peut s'accompagner d'un arrêt cardiaque qui peut conduire à la mort.
Pneumothorax : faut-il une opération ?
Une opération chirurgicale n'est pas systématiquement nécessaire en cas de pneumothorax. Mais il peut être utile d'opérer pour vider la cavité pleurale de l'air ou de gaz qui s'y sont accumulés.
Pneumothorax : risque pour un fumeur ?
Les jeunes fumeurs sont plus à risque de subir un pneumothorax spontané.
Pathologies associées à la Pneumologie
- Atélectasie
- BPCO
- Cancer du poumon : peut-on guérir d'un cancer à petites cellules ?
- Dilatation des bronches (DDB) ou bronchiectasie ou bronchectasie
- Emphysème
- Dossier santé Pneumopathies
- Epanchement-pleural
- Fibrose pulmonaire
- Mucoviscidose
- Nodule pulmonaire
- Comment savoir si un nodule au poumon est cancéreux ?
- Peut-on vivre avec des nodules aux poumons ?
- Oedème pulmonaire
- Pneumoconiose
- Pneumonie
- Pneumothorax
- Sarcoïdose
- Tuberculose
Nos pneumologues à proximité
- Pneumologue Châteauroux
- Pneumologue Désertines
- Pneumologue Saint-André-les-Vergers
- Pneumologue Poitiers
- Pneumologue Vichy
- Pneumologue Clermont-Ferrand
- Pneumologue Brive la Gaillarde
- Pneumologue Soyaux
- Pneumologue Aurillac
- Pneumologue Le Mans
- Pneumologue Sens
- Pneumologue Mainvilliers
- Pneumologue Mâcon
- Pneumologue Saint-Priest-en-Jarez
- Pneumologue Le Puy-en-Velay