_0.jpg?_a=BAVMn6ID0)
Choc septique (sepsis)
Le choc septique est une situation très grave dans laquelle une infection se complique et provoque une baisse importante de la pression artérielle et une diminution de l’approvisionnement de l'oxygène aux organes. Le choc septique doit être rapidement pris en charge pour maintenir les chances de survie. Le traitement est basé sur la prise d’antibiotiques adaptés et de mesures permettant d’éviter une défaillance multiviscérale.
Définition : qu’est-ce qu’un choc septique ?
Le choc septique est une complication grave d’un sepsis, c’est-à-dire d’un état infectieux important. L’infection peut toucher n’importe quel organe, le sepsis peut ainsi se développer à partir d’une péritonite, une pyélonéphrite ou encore une pneumopathie. L’infection peut faire suite à une intervention chirurgicale ou une plaie. Les micro-organismes endogènes ou exogènes peuvent alors coloniser le site.
Si la réponse immunitaire est disproportionnée, on parle de "sepsis". Le choc septique est ainsi défini comme un sepsis (c’est-à-dire un état dans lequel la réponse immunitaire n’est pas adaptée vis-à-vis d’une agression par un pathogène) associé à une chute de pression artérielle et une augmentation du taux de lactate. Dans le choc septique, l’hypotension est permanente (inférieure à 65 mmHg, cette baisse de la tension est dangereuse) et la tension doit être maintenue à l’aide de vasopresseurs ; le taux de lactates est supérieur à 2 mmol/l, malgré un remplissage adéquat.

Le choc septique est une affection grave. Elle se développe surtout chez les personnes fragiles ou immunodéprimées, comme les nouveau-nés, les femmes enceintes, les personnes âgées ou les personnes souffrant de pathologies chroniques, comme le diabète ou une cirrhose par exemple. Le choc septique doit être pris en charge rapidement dans une unité de réanimation, il s’agit d’une urgence médicale.
Choc septique : quel médecin, spécialiste, choisir ?
⚠️ Attention : au moindre de signe, il est important de consulter un médecin ou de joindre un service d'urgence en composant le 15 (le 114 pour les personnes malentendantes) !
>>>Si vous suivez un traitement ou souffrez d'une condition médicale qui peut vous exposer à une infection, en cas de signe d'infection, ne tardez pas à joindre votre médecin traitant ou consultez un service de médecine d'urgence. Celui-ci assure les soins qui ne peuvent attendre et relèvent d'une urgence.
Médecin urgentiste
Le patient ou la patiente est prise en charge, pour les premiers gestes, par le ou la médecin urgentiste. Celui-ci l'oriente ensuite en fonction de son état de santé et de son tableau clinique.
Quelles sont les causes d'un choc septique (complication d'un sepsis) ?
Quand un micro-organisme pathogène pénètre dans le corps, celui-ci est attaqué par le système immunitaire. Dans le cas d’un sepsis, la réponse immunitaire n’est pas adaptée. Le système immunitaire produit de grandes quantités de molécules inflammatoires, comme des cytokines. Ces molécules vont induire une réponse inflammatoire disproportionnée caractérisée par :
-
une vasodilatation intense;
-
une fuite de liquides au niveau capillaire;
-
et une coagulation excessive.
Ce phénomène va engendrer une hypovolémie qui sera, dans un premier temps, corrigée par une augmentation du débit cardiaque. Les organes vont être de moins en moins bien perfusés et l’apport en oxygène va diminuer, ce qui va aboutir à une défaillance multiviscérale.
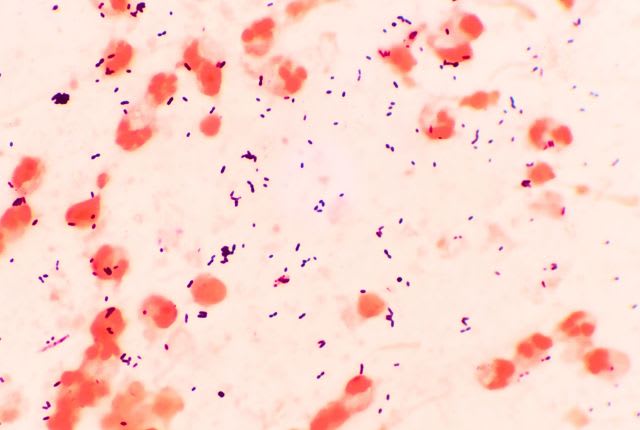
Les bactéries de type bacille Gram négati, cocci Gram positif, ou certains champignons sont généralement les pathogènes les plus impliqués dans la survenue d’un choc septique.
Le choc septique est donc généralement déclenché par une infection bactérienne, virale ou fongique. Lorsque ces agents pathogènes pénètrent dans l'organisme, ils peuvent provoquer une réaction inflammatoire excessive du système immunitaire. Les organes les plus touchés par ce processus sont le cœur, les reins, le foie et les poumons. En absence de traitement adéquat, cette situation peut conduire à une défaillance multiviscérale.
Quels sont les signes, symptômes et conséquences d’un choc septique ?
Dans un premier temps, le choc septique se caractérise par les signes d’une infection avec une grande fatigue associée à de la fièvre. Le rythme cardiaque augmente ensuite, ainsi que le rythme respiratoire. Le volume des urines diminue très fortement. Les extrémités peuvent être chaudes. Cette première phase est généralement appelée "phase hyperkinétique", car le débit cardiaque permet de compenser la chute de la pression artérielle.
Cependant, quand le débit cardiaque ne peut plus compenser la diminution de la pression artérielle, on parle de "phase hypokinétique". Dans cette phase, d’autres signes peuvent apparaitre, comme un état de confusion mentale, des signes d’altération des organes. Au niveau hépatique, il peut se produire une ischémie grave. Au niveau du rein, une insuffisance rénale aiguë peut se développer. Le système digestif peut être le siège d’hémorragies et de nécroses.
Les extrémités deviennent froides et cyanosées, des marbrures peuvent apparaitre au niveau de la peau.
Voici un récapitulatif des différents signes et symptômes du choc septique, qui peuvent être variés et être très sévères en fonction de la gravité de l'atteinte et selon le contexte clinique :
- Frissons et fièvre ou parfois une température corporelle en dessous de la normale (hypothermie)
- Tachycardie : une accélération du rythme cardiaque
- Hypotension : une baisse de la pression artérielle
- Oligurie : une production d'urine réduite, indiquant un dysfonctionnement rénal
- Troubles de la conscience, qui peuvent aller jusqu'à l'encéphalopathie aiguë (confusion, agitation, somnolence, voire coma)
Des symptômes plus spécifiques peuvent également apparaître selon l'organe affecté : par exemple, des douleurs abdominales en cas d'atteinte digestive ou des difficultés respiratoires en cas d'atteinte pulmonaire.
⚠️ Attention : Les conséquences d'un choc septique non traité sont graves et peuvent inclure une défaillance de plusieurs organes (cœur, reins, cerveau...) et dans les cas les plus sévères, le décès du patient.
Quel diagnostic pour un choc septique ?
Le diagnostic repose d’abord sur la découverte de l’agent infectieux impliqué et des foyers infectieux possibles. Des hémocultures, un ECBU (Examen cytobactériologique des urines) ou encore une ponction lombaire vont être pratiqués afin de déterminer le micro-organisme en cause.
Des analyses sanguines poussées vont également être réalisées. Une numération sanguine, un ionogramme (dosage des électrolytes du corps) et un bilan de l’hémostase vont être effectués. L’analyse de sang va permettre également d’étudier l’éventuelle atteinte des fonctions organiques : un taux de bilirubine augmenté pourra signer une atteinte hépatique par exemple. Le taux d’acide lactique est analysé, car il permet d'évaluer le degré d’hypoxie des tissus.
Une gazométrie permettant de mesurer le taux d’oxygène dans les vaisseaux est également réalisée. En cas de problème cardiaque, un électrocardiogramme peut être réalisé. Une radiographie pulmonaire, un scanner cérébral ou abdominal peuvent compléter le diagnostic en cas de suspicion de lésions d’un organe. Tous ces éléments permettent de poser un diagnostic complet.
Comment prendre en charge un choc septique : quels sont les traitements (antibiotiques etc.) ?
Le traitement se base dans un premier temps sur l’administration d’un antibiotique adapté. Le traitement antibiotique (qui peut comprendre un ou plusieurs antibiotiques) doit être débuté instantanément et administré par voie intraveineuse. Avant de connaitre précisément le germe en cause, on peut utiliser une antibiothérapie dite probabiliste. Il s’agit généralement d’antibiotiques à large spectre.
Un remplissage vasculaire adéquat est également très important et doit permettre de maintenir la tension artérielle à au moins 6,5 mmHg. L’utilisation de médicaments vasopresseurs (comme de la noradrénaline) peut être utile. Le traitement doit être poursuivi jusqu’à ce que les paramètres hémodynamiques soient acceptables. Si le traitement n’est pas concluant, un traitement corticoïde par hydrocortisone permettant de diminuer l’inflammation peut être mis en place.
En cas de difficultés respiratoires, une oxygénothérapie est mise en place. La voie par laquelle l’infection s’est propagée doit être traitée de façon adéquate. Ainsi, si c’est un cathéter (ou une sonde urinaire) qui représente la porte d’entrée du pathogène, il devra être retiré. Une intervention chirurgicale pourra également être envisagée.
Cet article médical a été relu et validé par un médecin urgentiste au sein d’un établissement ELSAN, groupe leader de l’hospitalisation privée en France. Il a un but uniquement informatif et ne se substitue en aucun cas à l’avis de votre médecin, seul habilité à poser un diagnostic.
Pour établir un diagnostic médical précis et correspondant à votre cas personnel ou en savoir davantage et avoir plus d’informations sur votre pathologie, nous vous rappelons qu’il est indispensable de prendre contact et de consulter un médecin.
Vous trouverez ci-dessous, les médecins urgentistes au sein des hôpitaux privés ELSAN, qui vous reçoivent en RDV près de chez vous, dans l’un de nos établissements.
Article écrit le 06/03/2025, vérifié par Dr Philippe Aillères, Médecin urgentiste et directeur du bureau d'accueil des patients internationaux d'ELSAN
La FAQ du choc septique :
Qu'est-ce qui peut provoquer un choc septique ?
Un choc septique peut être déclenché par une infection bactérienne, généralement due à des bactéries à Gram négatif, à Gram positif, ou à certains champignons. Ces toxines bactériennes ou fongiques peuvent être causes de choc septique.
Qu'est-ce qu'un état septique ?
Un état septique, ou sepsis, est une réaction du corps à une infection, marquée par une inflammation systémique, un dysfonctionnement des organes, et un risque de défaillance multiviscérale.
Quels sont les premiers signes d'une septicémie ?
Les premiers signes d'une septicémie peuvent inclure de la fièvre, une fréquence cardiaque élevée, une respiration rapide, une confusion, et des symptômes généraux de malaise.
Qu'est-ce qu'une septicémie foudroyante ?
La septicémie foudroyante est une forme de septicémie qui évolue très rapidement vers un choc septique, une complication grave menaçant le pronostic vital du patient. Une prise en charge médicale immédiate est alors nécessaire pour tenter de contrôler l'infection et stabiliser le patient.
Est-ce que la chimiothérapie peut causer un choc septique ?
La chimiothérapie est un traitement couramment utilisé pour combattre le cancer. Toutefois, elle peut avoir des effets secondaires qui affaiblissent le système immunitaire du patient, le rendant ainsi plus vulnérable aux infections. Dans certains cas, cela peut effectivement conduire à un choc septique.
Lors d'une chimiothérapie, les médicaments administrés visent à détruire les cellules cancéreuses. Cependant, ces médicaments peuvent également affecter les cellules saines, notamment celles qui jouent un rôle dans la défense de l'organisme contre les infections, comme les globules blancs.
Une baisse du nombre de globules blancs, un état appelé neutropénie, peut ainsi se produire suite à une chimiothérapie. Cela rend le patient plus susceptible de développer des infections sévères, qui peuvent évoluer vers un choc septique si elles ne sont pas traitées à temps.
Il est donc crucial pour les patients sous chimiothérapie de surveiller de près leur état de santé, et de signaler immédiatement à leur médecin tout signe d'infection, tels que la fièvre ou les frissons.
Quelle différence entre un choc septique, une sepsis et une septicémie ?
La septicémie est la présence de bactéries dans le sang. Elle est causée par une infection qui se propage dans la circulation sanguine. Les bactéries peuvent provenir d'une infection localisée, comme une infection des poumons, des voies urinaires ou de la peau. Elles peuvent également provenir d'un cathéter ou d'un autre dispositif médical.
La sepsis est une réponse dérégulée de l'organisme à une septicémie. Elle se caractérise par une inflammation généralisée et une activation du système immunitaire. Le sepsis peut entraîner une défaillance d'organes, y compris les poumons, les reins, le cœur et le cerveau.
Le choc septique est la forme la plus grave de sepsis. Il se caractérise par une baisse de la pression artérielle qui ne peut pas être corrigée par des liquides intraveineux. Le choc septique peut entraîner un arrêt cardiaque et la mort.
En résumé, la différence entre ces trois conditions est la suivante :
- Septicémie : présence de bactéries dans le sang
- Sepsis : réponse dérégulée de l'organisme à une septicémie
- Choc septique : sepsis associée à une baisse de la pression artérielle
Le sepsis et le choc septique sont des urgences médicales qui nécessitent une prise en charge rapide. Les traitements comprennent la fluidothérapie, les antibiotiques et les médicaments pour soutenir la fonction des organes.
Quelles sont les urgences médicales courantes ?

Médecine d'urgence
Découvrez tout ce que vous devez savoir sur la Médecine d'urgence chez ELSAN







