
IRM cérébrale
L’IRM cérébrale est un examen d’imagerie médicale. Il permet d’explorer le cerveau et de détecter d’éventuelles anomalies et pathologies cérébrales. Cet examen repose sur l’utilisation d’un champ magnétique et non sur l’émission de rayons X comme le scanner. Découvrez en quoi consiste une IRM du cerveau, dans quel cas elle est prescrite, mais aussi comment elle se déroule.
Définition : qu’est-ce qu’une IRM cérébrale ?
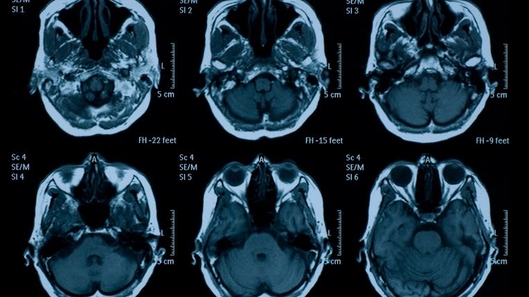
Une IRM (imagerie par résonance magnétique) cérébrale est un examen d’imagerie médicale qui recourt aux ondes de radiofréquences. Ces ondes traversent le cerveau et sont retranscrites sous la forme d’images très précises sur l’écran de l’ordinateur.

Non invasive et totalement indolore, l’IRM du cerveau permet d’étudier le système nerveux central, mais aussi les différents composants du cerveau. Elle permet de visualiser précisément la substance blanche (partie superficielle) et la substance grise (partie profonde) du cerveau. Mais aussi le système ventriculaire cérébral ainsi que l’état des vaisseaux sanguins (veines, artères). Cet examen est utilisé pour poser un diagnostic sur des symptômes neurologiques et pour détecter des anomalies cérébrales. L’IRM cérébrale peut être réalisée sans ou avec injection d’un produit de contraste (sels de gadolinium) selon les cas.
Dans quels cas avoir recours à une IRM de la tête ou IRM encéphalique ?
Le recours à une IRM cérébrale obéit à diverses indications :
- En cas de suspicion d’accident vasculaire cérébral ( AVC) ischémique ou d’accident ischémique transitoire ( AIT). Une personne sujette à un accident vasculaire cérébral ou à un AIT doit être prise en charge en urgence. L’IRM du cerveau permet de voir l’état du système d’irrigation du cerveau et de repérer un éventuel caillot dans une veine ou une artère cérébrale. De même que de repérer un anévrisme cérébral. Ce caillot sera soit dissous par un procédé de thrombolyse (injection intraveineuse), soit retiré par voie endovasculaire avec assistance radioscopique (thrombectomie).
- En cas de symptômes neurologiques tels des vertiges, maux de tête persistants, troubles de la mémoire ou encore crises d’épilepsie, l’IRM cérébrale permet de poser un diagnostic sur ces symptômes. Les pathologies cérébrales détectées peuvent être dégénératives (maladie d’ Alzheimer, maladie de Parkinson) ou inflammatoires (sclérose en plaques). Il peut de même s’agir de pathologies infectieuses comme la méningite, l’encéphalite, ou encore de cancers du cerveau.
- En cas de traumatisme crânien (choc entre la boîte crânienne et le cerveau), il s’agit de vérifier les éventuelles lésions générées par le traumatisme crânien.
Comment se préparer à une IRM du cerveau ?
Une IRM cérébrale ne nécessite pas d’être à jeun ni de préparation particulière. Sauf dans un cas : celui d’une IRM cérébrale avec injection chez un patient allergique au gadolinium (produit injecté). Dans ce cas, avant l’IRM, on recherche avec un allergologue quel autre produit de contraste est bien toléré par la personne. Autre point : il faut retirer tout objet ferrométallique : piercing, bijoux, ceinture, appareil dentaire…, au risque sinon d’une brûlure locale par le champ magnétique.
Comment se passe une IRM cérébrale, quelle est sa durée et y a-t-il une injection d'un produit de contraste ?
La durée d’IRM cérébrale est de 15 à 20 minutes. La personne est allongée sur le dos, en blouse d’examen, sur une table. Elle a été débarrassée de tout objet ferrométallique au préalable (bijoux, appareil dentaire…). La nécessité ou non de l’injection dépend de la cause suspectée.
S’il s’agit d’une IRM avec injection, un produit de contraste est administré par intraveineuse. Un casque doté d’une antenne est posé sur la tête du patient pour recueillir les ondes de radiofréquence. Des bouchons d’oreille ou un casque sur les oreilles lui sont de même donnés pour limiter le bruit de martèlement de la machine. Puis la table d’examen est avancée dans l’appareil d’IRM en forme de tunnel. Le corps de la personne est introduit dans le tunnel jusqu’à la taille et doit rester complètement immobile. Une sonnette est placée dans la main du patient pour lui permettre de signaler tout problème à l’équipe médicale pendant l’IRM.
Y a-t-il des contre-indications absolues et relatives et des risques avec une IRM du crâne ?
Un formulaire est donné aux patients avant toute IRM encéphalique, afin d’alerter le médecin sur d’éventuelles contre-indications de l’examen. On distingue à ce titre les contre-indications absolues à l’IRM cérébrale et les contre-indications relatives.
Parmi les contre-indications absolues : la présence d’un corps métallique dans l’organisme, que le champ magnétique pourrait déplacer. Ces corps métalliques sont un pacemaker, des valves cardiaques ancienne génération, des clips chirurgicaux vasculaires ancienne génération, des implants oculaires ou auditifs ferromagnétiques, ou encore une pompe à insuline automatisée.
Parmi les contre-indications relatives à l’IRM de la tête, il y a la claustrophobie. Il est possible de détendre le patient par l’hypnose ou le recours à une IRM ouverte. On déconseille aussi une IRM cérébrale dans les 2 mois suivant une intervention chirurgicale ou une biopsie. Ou encore les 4 premiers mois de grossesse. Enfin, en cas de port d’un patch transdermique, l’IRM peut occasionner des brûlures locales. En ce qui concerne la présence d’implants métalliques, tout dépend de leur localisation dans le corps par rapport au champ magnétique de la machine. La décision sera donc prise au cas par cas.
Comment interpréter les résultats d’une IRM cérébrale ?
Les résultats d’une IRM cérébrale sont transmis au médecin prescripteur. Une prise de rendez-vous avec son médecin est nécessaire pour obtenir une interprétation de l’IRM cérébrale. L’IRM cérébrale peut être normale et donc rassurante. Mais l’IRM cérébrale peut se révéler anormale et nécessiter une prise en charge médicale plus ou moins urgente. L’IRM cérébrale peut en effet révéler des tumeurs, un AVC, un AIT, des problèmes de vascularisation veineuse et artérielle du cerveau, une méningite, une sclérose en plaques ou encore une maladie neurodégénérative (Alzheimer, Parkinson…).
Cet article médical a un but uniquement informatif et ne se substitue en aucun cas à l’avis de votre médecin, seul habilité à poser un diagnostic.
Pour établir un diagnostic médical précis et correspondant à votre cas personnel ou en savoir davantage et avoir plus d’informations sur votre pathologie, nous vous rappelons qu’il est indispensable de prendre contact et de consulter un médecin.
Vous trouverez ci-dessous, les praticiens radiologues au sein des hôpitaux privés ELSAN, qui vous reçoivent en RDV près de chez vous, dans l’un de nos établissements.
Vos questions fréquemment posées :
Est-ce qu'un AVC se voit à l'IRM ?
Oui, un accident vasculaire cérébral peut être détecté à l’aide d’une IRM cérébrale. L’IRM cérébrale est un examen qui permet une visualisation très précise des structures cérébrales, ainsi que des lésions associées à un AVC.
Pourquoi fait-on une IRM cérébrale : quelles maladies peut-on voir ?
Une IRM cérébrale est une technique d'imagerie médicale utilisée pour diagnostiquer et surveiller diverses pathologies du cerveau. Elle permet d'obtenir des images précises des structures cérébrales et du flux sanguin et peut être utilisée pour diagnostiquer des tumeurs, des anévrismes, des maladies neurologiques et des lésions cérébrales.
Peut-on conduire après une IRM cérébrale avec injection ?
Après une IRM cérébrale avec injection, il est généralement possible de conduire. Suivez les recommandations de votre médecin.
Examens associés à l'imagerie médicale / la radiologie








