
Accident Vasculaire Cérébral
Résumé : AVC ou accident vasculaire cérébral
L’accident vasculaire cérébral ou AVC, ou encore infarctus cérébral, désigne un arrêt brutal de l’irrigation sanguine d’une partie du cerveau. En cause, une artère bouchée par un caillot ou un vaisseau sanguin qui se rompt au niveau du cerveau. Les AVC sont la 2e cause de mortalité en France selon l’INSERM. Soyez informé des symptômes, des causes, des traitements et des moyens de prévention d’un accident vasculaire cérébral.
Définition médicale : qu’est-ce qu’un AVC ou accident vasculaire cérébral ?
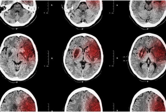
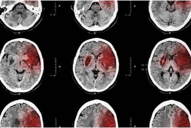
Un AVC ou accident vasculaire cérébral correspond à des lésions du cerveau dues à un manque d’irrigation sanguine de ce dernier. Les neurones cérébraux sont alors privés d’oxygène, ce qui représente une urgence médicale absolue. Il peut survenir à tout âge (âge moyen de survenue : 74 ans) et représente la première cause de mortalité chez les femmes.
Sources : Agence régionale de santé d'Ile de France, mise à jour le 30 septembre 2024.
⚠️ Attention : L'AVC est une urgence médicale, appelez sans tarder le 15 ou le 112 !
Quels sont les différents types d'AVC ?
L’AVC ischémique
L’AVC ischémique ou accident ischémique transitoire désigne un accident vasculaire cérébral provoqué par l’occlusion d’une artère au niveau du cerveau. Il représente entre 80 % et 85 % des cas d’AVC selon l’INSERM. L’occlusion est provoquée soit par une plaque d’athérome (lipides) et on parle alors de thrombose cérébrale. Soit par un caillot sanguin : on évoque dans ce cas une embolie cérébrale.
L’AVC hémorragique
L’AVC hémorragique est le type d’AVC le moins fréquent : 15 à 20 % des cas d’AVC. Il concerne les accidents vasculaires cérébraux dus à une rupture d’un vaisseau sanguin au niveau cérébral. Par vaisseau sanguin, on entend ici une veine et non une artère. Il s’agit dans la majorité des cas d’une rupture d’anévrisme, mais une tumeur, l’hypertension, des problèmes de coagulation peuvent aussi en être à l’origine.
L’AVC ischémique transitoire
Dans l’AVC ischémique transitoire, la cause de l’AVC est toujours l’occlusion d’une artère cérébrale, mais cette fois, cette obstruction se dissout d’elle-même en l’espace de quelques secondes, voire de quelques minutes. Cette attaque cérébrale est un signe d’alerte à prendre très au sérieux, elle présage d’un AVC plus grave ultérieurement bien souvent.
Quelles sont les causes d’un accident vasculaire cérébral AVC ?
Les causes d’un AVC dépendent du type d’AVC auquel on est confronté :
- les causes d’un AVC ischémique : c’est l’obstruction d’une artère cérébrale qui est en cause. On parle alors d’infarctus cérébral. L’origine de l’obstruction est la formation d’un caillot sanguin dans une artère cérébrale (thrombus). Cela se produit en cas d’artériosclérose : les lipides en excès déposés sur la paroi des artères forment des plaques d’athérome, plaques qui peuvent se rompre et venir obstruer un vaisseau sanguin au niveau du cerveau. Mais cela se produit aussi en cas d’arythmie cardiaque ou de pathologie des petites artères cérébrales ;
- les causes d’un AVC hémorragique : une hémorragie se déclenche au niveau du cerveau à la suite d’une rupture d’un vaisseau sanguin (rupture d’anévrisme). Ces hémorragies peuvent être consécutives à un traumatisme, à une tumeur cérébrale, à de l’ hypertension artérielle ou encore à une malformation des vaisseaux.
Quels sont les facteurs de risque d’un AVC ?
On a identifié divers facteurs de risque de survenue d’un AVC. Parmi ces facteurs de risque :
-
l’âge (le risque d’AVC croît avec l’âge),
-
des comorbidités comme un diabète ou une hypertension artérielle non équilibrés,
-
un taux de cholestérol élevé.
-
on observe aussi un facteur héréditaire,
-
des antécédents d’AVC (une personne qui a déjà fait un AVC a 30 % de risques de récidive dans les 5 ans),
-
une mauvaise hygiène de vie (tabac, alcool, sédentarité).
-
Certains médicaments augmentent le risque d’AVC (c’est le cas des traitements hormonaux de la ménopause),
-
Certaines pathologies cardiaques (arythmie).

Comment reconnaître les premiers signes d’un AVC ? Symptome
Il est essentiel de savoir reconnaître les symptômes d’un AVC pour prévenir immédiatement les secours (appelez le SAMU en composant le 15).
Visage : déformation de la bouche
Un des signes de l’AVC est une déformation de la bouche : le visage n’a plus une expression symétrique, car une partie de la face est engourdie ou paralysée. Mais aussi une faiblesse asymétrique des membres : l’un des bras ou l’une des jambes ou encore une partie du corps n’a plus de tonicité. On observe aussi des troubles de la parole : une difficulté soudaine à s’exprimer et à comprendre les autres. On note aussi selon les cas des maux de tête intenses, accompagnés de vomissements, de vertiges et de troubles de la vision.
Comment diagnostiquer un AVC ?
Pour diagnostiquer un AVC, le médecin se base sur les symptômes observés et la brutalité de leur apparition, de même que sur des examens. Ces examens sont une IRM cérébrale, afin de confirmer le diagnostic d’AVC et de déterminer de quel type d’AVC (AVC ischémique ou AVC hémorragique) il s’agit. Si le diagnostic est celui d’un AVC ischémique, alors des examens complémentaires sont nécessaires pour identifier l’origine de l’obstruction (plaque d’athérome ou caillot) : ces examens sont une angiographie (radiographie des artères après injection d’un produit de contraste) et une échographie cérébrale.
AVC : quels sont les signes chez la femme ?
Contrairement à la crise cardiaque ou infarctus du myocarde, les signes de l'AVC sont, a priori, les mêmes chez les femmes que chez les hommes :
-
Difficulté soudaine à parler,
-
Faiblesse d'un côté du corps,
-
Bouche qui se déforme...
La différence à noter se trouverait plutôt dans les facteurs de risque et notamment la tension artérielle. Une femme pourrait courir des risque à des niveaux plus faibles de tension qu'un homme. On sait, en effet, que la tension artérielle peut s'évaluer aussi en fonction de la taille, du sexe et de l'âge.
7 signes avant l'AVC en tableau
|
7 signes avant l'accident vasculaire cérébral (AVC) en tableau |
|
Comment soigner un AVC : quels traitements ?
Les traitements d’un AVC sont de trois ordres : médicamenteux, chirurgicaux ou de rééducation :
-
Les traitements médicamenteux de l’AVC : lors de la phase aigüe de l’AVC (dans les 4 h 30 qui suivent sa manifestation), on prescrit un médicament thrombolytique de l’AVC par voie intraveineuse, pour dissoudre le caillot. Pour éviter la formation de nouveaux caillots, des anticoagulants peuvent compléter le traitement. Enfin, des traitements spécifiques à la cause identifiée (cholestérol, hypertension, diabète…) sont administrés.
-
Les traitements chirurgicaux de l’AVC : en cas d’accident vasculaire cérébral d’origine hémorragique, une opération peut être indispensable. Elle vise à résorber la poche de sang afin d’éviter qu’elle ne comprime le cerveau.
-
La rééducation après un AVC : elle doit être commencée le plus précocement possible, à savoir dans les heures qui suivent l’AVC, et continuer après la sortie du patient de l’hôpital. Elle peut être effectuée par un orthophoniste, un kinésithérapeute ou un ergothérapeute. Le but est de permettre au patient de retrouver la plus grande autonomie possible après un AVC. Elle peut être complétée par la pratique d’une activité physique adaptée pour aider la personne à maitriser son poids, son hypertension, ou à réacquérir certains mouvements par exemple. Selon l’INSERM, 60 % des victimes d’un accident vasculaire cérébral retrouvent leur indépendance, tandis que 40 % d’entre elles gardent des séquelles importantes. Enfin, 20 % des victimes d’un accident vasculaire cérébral décèdent dans l’année qui suit, toujours selon l’INSERM.
Comment prévenir un AVC ?
Pour prévenir un AVC, il faut agir en amont sur les facteurs de risque identifiés par les chercheurs. Autrement dit, il faut intervenir essentiellement sur l’hygiène de vie. Il est nécessaire d’adopter une alimentation équilibrée et de pratiquer une activité physique régulière (30 min par jour) pour éviter le surpoids, un taux de cholestérol trop élevé ou une hypertension artérielle. L’alcool de même que le tabac sont à éviter. En cas de diabète, de cholestérol ou d’hypertension, il est nécessaire d’avoir un suivi médical régulier et de bien prendre son traitement pour le réguler. Même nécessité en cas de fibrillation auriculaire.
Cet article médical a été relu et validé par un médecin spécialiste en neurologie au sein d’un établissement ELSAN, groupe leader de l’hospitalisation privée en France. Il a un but uniquement informatif et ne se substitue en aucun cas à l’avis de votre médecin, seul habilité à poser un diagnostic.
Pour établir un diagnostic médical précis et correspondant à votre cas personnel ou en savoir davantage et avoir plus d’informations sur votre pathologie, nous vous rappelons qu’il est indispensable de prendre contact et de consulter un médecin.
Vous trouverez ci-dessous, les neurologues au sein des hôpitaux privés ELSAN, qui vous reçoivent en RDV près de chez vous, dans l’un de nos établissements.
Article écrit le 16/11/2022
Modifié le 01/08/2025, vérifié par Pierre Luton, Journaliste expert, spécialisé santé, social et référenceur SEO EEAT
Vos questions fréquemment posées sur l'AVC et l'AIT
Est-ce que un AVC c'est grave ?
Un AVC est une pathologie grave qui peut entraîner de nombreuses complications s'il n'est pas pris à temps. Il est indispensable de savoir reconnaître les signes avant coureurs d'un AVC afin d'intervenir le plus tôt et le plus vite possible.
Comment on attrape AVC ?
Les causes les plus fréquentes d’AVC sont les suivantes : l’athérosclérose (dépôt de graisse dans les artères) et l’hémorragie cérébrale. Les autres causes possibles d’AVC comprennent : les anomalies du rythme cardiaque, les malformations artérielles, les infections cérébrales et les traumatismes crâniens.
Quelle est l'espérance de vie après un AVC ?
L'espérance de vie après un AVC dépend de plusieurs facteurs, notamment de l'âge du patient, de la gravité de l'AVC, de la présence ou non de complications et du niveau de récupération.
Quels sont les signes annonciateurs d'un avc ?
Les signes d'un AVC sont une perte soudaine de la vue, de l'équilibre, de la coordination ou de la parole. Les symptômes d'un AVC peuvent inclure une déformation de la bouche, une perte de sensation et une faiblesse musculaire dans le visage, le bras ou la jambe et une perte de la parole.
Que veut dire avc ?
AVC est le sigle pour : accident vasculaire cérébral. C'est le terme employé en présence d'un arrêt brutal de l’irrigation sanguine d’une partie du cerveau. Dans le langage courant, on parle souvent d'attaque cérébrale".
Avc : combien de temps pour récupérer ?
Pour de meilleures chances de récupération, il est important que la réadaptation commence le plus tôt possible. Dans certains cas, elle peut commencer 24 à 48 heures après l'hospitalisation. Selon la gravité de la situation, des patients pourront se rétablir en quelques mois. D'autres, en quelques années. Pour faciliter le processus et minimiser les séquelles, il est indispensable qu'une personne subissant un AVC soit prise en charge le plus vite possible.
Que faire en cas d'avc ? Quelle sont les premiers signes d'un avc ?
Pour réagir en cas d'AVC, il faut pouvoir reconnaître ses signes :
- déformation de la bouche ;
- faiblesse asymétrique des membres ;
- troubles de la parole ;
- maux de tête intenses, accompagnés de vomissements, de vertiges et de troubles de la vision.
En présence de ces signes, il faut appeler le 15 (ou le 112) afin que les secours prennent en charge rapidement la victime. Celui permet d'espérer que le patient s'en sorte le mieux possible sans séquelle ou avec le moins de séquelles possibles. Les chances de récupérations s'en trouveront augmentées.
Est-ce qu'on peut guérir d'un accident vasculaire cérébral AVC ?
Plus l'accident vasculaire cérébrale est pris à temps, plus les chances de s'en remettre sans séquelles, ou un minimum de séquelles, sont importantes. Plusieurs traitements sont envisagés selon le type d'AVC (ischémique ou hémorragique).
-
Une thrombolyse peut être proposée pour dissoudre le caillot sanguin ;
-
Une thrombectomie peut aussi être réalisée de façon mécanique pour retirer le caillot ;
-
Il existe également des médicaments pour prévenir la formation des caillots en évitant que les plaquettes ne s'agglutinent ;
-
Des anticoagulants peuvent être prescrits ;
-
L'hypertension artérielle doit être contrôlée en cas d'AVC hémorragique ;
-
De la rééducation peut être proposée le plus tôt possible ;
-
Il est nécessaire de prévenir la récidive.
Sequelles, conséquences AVC ?
Une personne ayant subi un accident vasculaire cérébral peut, par exemple, souffrir d'une paralysie et notamment d'une hémiplégie (paraplégie de la moitié du corps). Elle peut également ressentir des difficultés à parler...
Quand a lieu la journée mondiale du lutte contre l'AVC en 2024 ?
En 2024, comme tous les ans, la journée mondiale du lutte contre l'AVC, a lieu le 29 octobre.
Pathologies associées à la neurologie








