
Myocardite
La cause la plus fréquente de la myocardite, une maladie affectant le cœur relativement rare, est une infection due à un virus. La myocardite est une inflammation du myocarde, le muscle cardiaque. Cette maladie affaiblit le myocarde et gêne son fonctionnement. Certaines personnes atteintes de myocardite ne présentent pas de symptômes, tandis que d’autres en présentent de graves. Prise en charge à temps, la myocardite ne diminue pas l’espérance de vie.
Définition : qu’est-ce qu’une myocardite ?
La myocardite survient lorsque le muscle cardiaque (appelé en langage médical le "myocarde") s’enflamme. Il ne faut pas confondre la myocardite avec d’autres types d’inflammations se produisant dans des zones différente du cœur, par exemple l’endocardite (inflammation de la paroi interne des valves et des cavités cardiaques) ou la péricardite (inflammation du "sac" qui entoure le cœur).
La myocardite affaiblit le cœur et diminue sa capacité de pompage. Cette maladie rare peut se développer très rapidement, ou au contraire très progressivement.
Il existe plusieurs types de myocardites :
- la myocardite lymphocytaire : cette forme nécessite une hospitalisation. Elle survient quand des globules blancs (lymphocytes) pénètrent dans le myocarde et provoquent une inflammation. Elle est souvent causée par un virus ;
- la myocardite à cellules géantes : elle serait due à une maladie auto-immune ;
- la myocardite fulminante : compte tenu de ses symptômes, c’est la forme la plus grave des myocardites. Il s’agit d’une inflammation soudaine et particulièrement sévère du myocarde ;
- la myocardite à éosinophiles : cette inflammation du muscle cardiaque est la conséquence de la pénétration d’un type de globule blanc (éosinophiles) dans le myocarde.
Par ailleurs, la myocardite est qualifiée en fonction de sa vitesse d’évolution :
- une myocardite aiguë correspond à une maladie dont l’apparition est récente ou dont l’évolution est rapide ;
- la myocardite chronique correspond à des symptômes qui réapparaissent après le traitement. Elle est souvent la conséquence d’une maladie auto-immune.
Quels sont les causes et facteurs de risque d’une myocardite ?
La cause d’une myocardite peut être une infection, la prise de certains médicaments, l’exposition à des produits chimiques, ou une maladie qui entraîne une inflammation généralisée. Toutefois, la cause n’est souvent pas déterminée.
Les causes les plus fréquentes de la myocardite sont :
un virus, notamment ceux qui déclenchent un rhume (adénovirus), mais aussi ceux du COVID-19, des hépatites B et C, du parvovirus, de l’herpès simplex. Les virus gastro-intestinaux, la mononucléose (due au virus d’Epstein-Barr), le VIH et la rubéole peuvent également provoquer une myocardite ;
- des bactéries, en particulier le staphylocoque, le streptocoque, et celles qui causent la diphtérie et la maladie de Lyme ;
- des parasites, parmi lesquels Trypanosoma cruzi et le toxoplasme ;
- des champignons, en particulier chez les personnes immunodéprimées. Le candida peut provoquer une myocardite ;
- la prise de certains médicaments ou la consommation de drogues. Il s’agit notamment de certains traitements contre le cancer et contre l’épilepsie, ou des antibiotiques. La cocaïne peut provoquer une myocardite, directement liée au mode de vie ;
- l’exposition à des produits chimiques ou des radiations ;
- le fait de souffrir d’une maladie inflammatoire comme le lupus, la granulomatose, l’artérite à cellules géantes et l’artérite de Takayasu.
Certains facteurs augmentent le risque de souffrir d’une myocardite :
- l’âge : les jeunes adultes sont davantage touchés, mais la myocardite peut être contractée à tout moment de la vie ;
- le sexe : les hommes sont plus souvent atteints de myocardite que les femmes ;
- l’hérédité : la myocardite n’est pas héréditaire, mais certains organismes réagissent moins bien aux inflammations que d’autres. En effet, les gènes ont une influence sur la manière dont le corps résiste à l’inflammation, et, par conséquent, sur le risque de contracter une myocardite ;
- le mode de vie : la consommation excessive d’alcool augmente les risques de développer une inflammation du myocarde ;
- la prise de certains traitements médicaux, notamment ceux prescrits en cas de dialyse, ou de port de dispositifs cardiaques (pour éviter le rejet), et des traitements pour des maladies cardiaques. L’exposition aux radiations dans le cadre d’une radiothérapie et la pose d’une voie veineuse centrale peuvent également favoriser la survenue d’une myocardite ;
- certains problèmes médicaux exposent à un risque plus élevé de développer une myocardite : en particulier le diabète, le sida, des blessures ou des infections cutanées, un cancer traité avec certains types de médicaments, des troubles de l’alimentation, une maladie rénale en phase terminale.
Quels sont les signes et symptômes d’une myocardite aigue et chronique ?
Aux premiers stades de la myocardite, elle peut être asymptomatique. Les symptômes de la myocardite sont les suivants :
- apparition de douleurs thoraciques ;
- fatigue ;
- arythmie (rythme cardiaque rapide ou anormal) ;
- signes cliniques d’une infection : diarrhée, maux de tête, fièvre, douleurs musculaires, maux de gorge ;
- essoufflement non expliqué par l’effort ;
- gonflement des jambes à cause de la rétention d’eau.

Quel diagnostic pour déterminer une myocardite ?
Il est important de bénéficier d’un diagnostic précoce de la myocardite pour éviter les séquelles cardiaques. Pour diagnostiquer une myocardite, le médecin ausculte son patient, et écoute son cœur à l’aide d’un stéthoscope.
Il prescrit des examens permettant de confirmer sa suspicion de myocardite :
- un bilan sanguin pour déceler les signes d’une crise cardiaque (grâce aux enzymes cardiaques), d’une inflammation et d’une infection (recherche d’anticorps) ;
- un électrocardiogramme (ECG) pour détecter des battements cardiaques irréguliers ;une radiographie du thorax pour voir s’il y a du liquide dans ou autour du cœur, qui pourrait être la conséquence d’une insuffisance cardiaque ;
- une IRM pour visualiser la taille, la forme et la texture du cœur et rechercher des signes d’inflammation du myocarde ;
- un échocardiogramme pour voir la façon dont le sang circule dans le cœur et les valves cardiaques ;
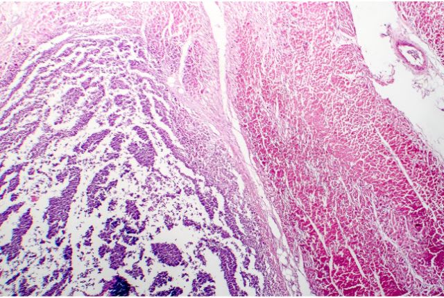
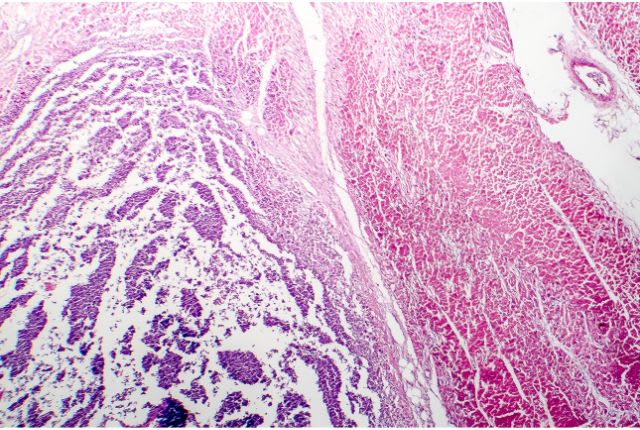
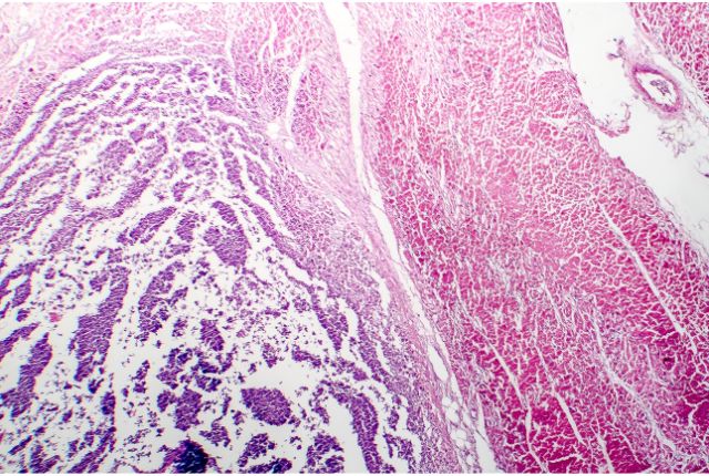
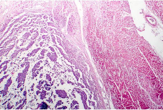
- une biopsie du muscle cardiaque pour vérifier la présence d’une inflammation ou d’une infection.
Quels traitements pour un cas de myocardite ?
Souvent, la myocardite se résorbe d’elle-même. Toutefois, le cardiologue peut estimer qu’une prise en charge thérapeutique est nécessaire. Le traitement de la myocardite se concentre à la fois sur la cause et sur les symptômes. Il peut prendre la forme de :
- médicaments : du repos et des antiviraux, diurétiques, bêtabloquants, inhibiteurs de l’enzyme de conversion de l’angiotensine ou antagonistes des récepteurs de l’angiotensine II peuvent suffire à soigner la myocardite. Si une autre affection, comme le lupus, provoque la myocardite, le médecin prescrit des médicaments pour traiter cette maladie ;
- interventions chirurgicales et procédures : dans le cas d’une myocardite sévère ou fulminante, il est nécessaire de mettre en place un traitement agressif, qui peut comporter l’administration de médicaments par voie intraveineuse pour améliorer rapidement la capacité de pompage du cœur, la pose d’un stimulateur cardiaque, voire une transplantation cardiaque pour les personnes atteintes d’une myocardite très grave.
Cet article médical a été relu et validé par un médecin spécialiste en cardiologie au sein d’un établissement ELSAN, groupe leader de l’hospitalisation privée en France. Il a un but uniquement informatif et ne se substitue en aucun cas à l’avis de votre médecin, seul habilité à poser un diagnostic.
Pour établir un diagnostic médical précis et correspondant à votre cas personnel ou en savoir davantage et avoir plus d’informations sur votre pathologie, nous vous rappelons qu’il est indispensable de prendre contact et de consulter un médecin.
Vous trouverez ci-dessous, les médecins cardiologues au sein des hôpitaux privés ELSAN, qui vous reçoivent en RDV près de chez vous, dans l’un de nos établissements.
Vos questions fréquemment posées :
Qu'est-ce qu'une myocardite ou inflammation du cœur ?
La myocardite est une inflammation du muscle cardiaque, également appelé myocarde. Elle peut être causée par une maladie virale, bactérienne ou parasitaire, ou encore par une réaction immunitaire. La myocardite peut également être provoquée par un traumatisme, une consommation excessive d'alcool ou certaines substances toxiques.
Myocardites ou péricardites ?
La myocardite est une inflammation du muscle cardiaque (myocarde), tandis que la péricardite est une inflammation de la membrane qui enveloppe le cœur (péricarde).
Comment savoir si on a une myocardite ?
La myocardite aiguë se caractérise par une douleur thoracique, une fatigue et une diminution de la tolérance à l'effort. La myocardite chronique se caractérise par une fatigue, une diminution de la tolérance à l'effort et des palpitations.
Comment détecter une myocardite ?
Le diagnostic de la myocardite repose sur l'électrocardiogramme (ECG), l'imagerie médicale du cœur, un bilan sanguin et parfois une biopsie.
Nos cardiologues à proximité
Pathologies associées à la Cardiologie
Traitements associés à la Cardiologie
Examens associés à la Cardiologie








