Le méningiome est une tumeur le plus souvent bénigne, siégeant au niveau des méninges. Dans 80 % des cas, le méningiome est dit de bas grade : il grossit peu ou très peu et n’évolue pas vers le tissu cérébral. Très souvent, une surveillance régulière suffit. Dans certains cas, la tumeur peut comprimer le tissu cérébral, une exérèse est alors indispensable.
Définition : qu’est-ce qu’un méningiome ou une tumeur des méninges ?
Le méningiome est une tumeur généralement bénigne des méninges. Il s’agit de la plus fréquente des tumeurs bénignes dites intracrâniennes. Les méninges constituent l’enveloppe protectrice du cerveau et de la moelle épinière. Les méninges sont composées de trois couches, appelées dure-mère (pour la couche la plus externe), arachnoïde (pour la couche intermédiaire) et pie-mère (pour la couche la plus interne). Le méningiome se développe dans la plupart des cas au niveau de la couche intermédiaire, c’est-à-dire l’arachnoïde. Dans la grande majorité des cas, le méningiome est une tumeur bénigne, mais quand la tumeur grossit, celle-ci peut pousser les structures du cerveau vers l’intérieur et causer des symptômes variés. Le méningiome touche préférentiellement les femmes et est plus fréquent entre 40 et 70 ans.
Quels sont les grades 1,2 et 3 d’évolution du méningiome ?
On distingue généralement trois stades de méningiome. Le premier stade, le plus fréquent, correspond à un méningiome dit de bas grade. Il s’agit de méningiomes qui ne grossissent pas rapidement, voire qui peuvent régresser et qui n’envahissent pas le tissu cérébral. Le deuxième stade, appelé méningiome de grade 2, correspond aux méningiomes pouvant récidiver et qui peuvent être plus agressifs. Enfin, les méningiomes de grade 3, qui sont des méningiomes beaucoup plus rares, représentent des méningiomes plus agressifs, qui sont généralement plus difficiles à traiter et qui récidivent souvent.

Quelles sont les causes d’un méningiome frontal ou temporal ?
Les méningiomes peuvent être liés à l’imprégnation hormonale, c’est d’ailleurs pour cela que les femmes sont généralement plus touchées par le méningiome que les hommes. Il n’est pas rare par exemple qu’un méningiome grossisse pendant la grossesse. Certains médicaments, notamment des traitements hormonaux (comme les hormones progestatives), peuvent provoquer des méningiomes. Les personnes ayant été en contact avec des radiations ionisantes au niveau de la tête sont plus à risque également de développer un méningiome. Certaines affections génétiques peuvent augmenter le risque de souffrir de méningiome : il existe un risque plus important de souffrir de développer cette affection en cas de neurofibromatose par exemple.
Quels sont les symptômes d’un méningiome ?
Une grande majorité de personnes souffrant d’un méningiome n’ont aucun symptôme ; le diagnostic est alors établi par hasard, lors d’un examen médical.
Les symptômes d’un méningiome varient en fonction de la localisation de la tumeur. En effet, en grossissant, le méningiome tend à compresser certaines zones du cerveau. Le méningiome peut donc engendrer des maux de tête, des changements de la personnalité, des troubles de l’équilibre, une faiblesse au niveau d’une partie du corps ou encore des crises d’épilepsie.
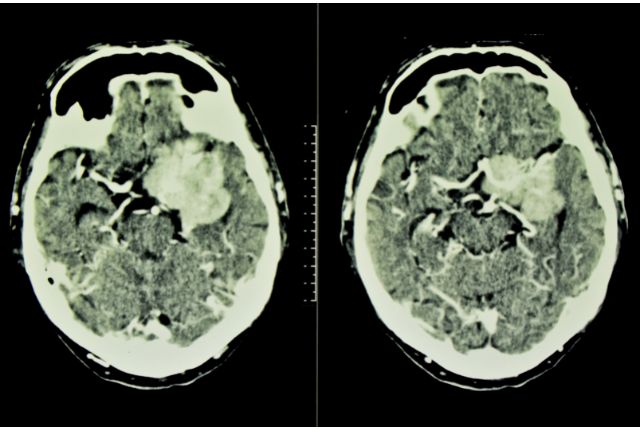
Comment diagnostiquer un méningiome : IRM, scanner, PET-Scan ?
Une partie des méningiomes étant asymptomatiques, ceux-ci sont diagnostiqués par hasard, à l’occasion d’un examen d’imagerie médicale. En cas de symptômes, le médecin effectuera un examen neurologique complet (contrôle de l’audition, de l’équilibre, de la coordination).
L’IRM (Imagerie par Résonance Magnétique) est l’examen de référence pour le diagnostic du méningiome ; celui-ci est réalisé généralement en injectant au patient un produit de contraste afin de bien visualiser les structures du cerveau et des méninges. D’autres examens d’imagerie médicale, comme le scanner ou le PET-Scan, peuvent également être envisagés pour étudier la localisation et la vascularisation du méningiome. Une biopsie cérébrale peut également être envisagée dans certains cas. D’autres examens, comme un bilan ophtalmique, un électroencéphalogramme ou encore un bilan neuropsychologique peuvent enfin compléter le diagnostic (notamment si une intervention est envisagée).
Quels traitements pour un méningiome : surveillance, opération ?
Les traitements sont variables en fonction des symptômes et de l’évolution du méningiome. Généralement, les méningiomes de grade I nécessitent uniquement une surveillance régulière. En effet, de nombreux méningiomes n’évoluent pas, ne grossissent pas ou peuvent se résorber naturellement. On estime que la plupart des méningiomes de grade I ne grossissent que de quelques millimètres par an. Quand le méningiome grossit et commence à engendrer des symptômes, une exérèse chirurgicale est en général programmée. Cette exérèse permet d’éviter que les tissus cérébraux et les structures nerveuses ne soient comprimés. L’exérèse est toujours suivie d’une analyse cytologique qui permet de vérifier le caractère bénin (dans la grande majorité des cas) de la tumeur. En fonction de sa localisation, l’exérèse peut être totale ou partielle. L’intervention chirurgicale peut être éventuellement suivie d’une radiothérapie. Pour les méningiomes de grades II et III, l’exérèse chirurgicale couplée à une radiothérapie constitue généralement le traitement de référence.
Cet article médical a été relu et validé par un médecin spécialiste en neurochirurgie au sein d’un établissement ELSAN, groupe leader de l’hospitalisation privée en France. Il a un but uniquement informatif et ne se substitue en aucun cas à l’avis de votre médecin, seul habilité à poser un diagnostic.
Pour établir un diagnostic médical précis et correspondant à votre cas personnel ou en savoir davantage et avoir plus d’informations sur votre pathologie, nous vous rappelons qu’il est indispensable de prendre contact et de consulter un médecin.
Vous trouverez ci-dessous, les médecins neurochirurgiens au sein des hôpitaux privés ELSAN, qui vous reçoivent en RDV près de chez vous, dans l’un de nos établissements.
Prenez tout de suite rendez-vous !
Obtenez un rendez-vous en moins de 5 min avec l'un de nos praticiens en choisissant le créneau horaire qui vous convient le mieux dans un établissement près de chez vous !
Vos questions fréquemment posées :
Qu'est-ce qu'un méningiome cérébral ?
Un méningiome cérébral est une tumeur bénigne (non cancéreuse) qui se développe à partir des membranes qui entourent le cerveau et la moelle épinière.
Comment guérir d'un méningiome ?
Le méningiome est une tumeur bénigne des membranes qui entourent le cerveau et la moelle épinière. Il existe différents traitements pour guérir d'un méningiome, notamment la chirurgie, la radiothérapie et la chimiothérapie. Mais parfois une simple surveillance suffit.
Est-ce qu'un méningiome est un cancer ?
Les méningiomes sont généralement des tumeurs bénignes et donc non cancéreuses qui se développent à partir des cellules qui tapissent les méninges, les membranes qui entourent le cerveau et la moelle épinière. Les méningiomes représentent environ 20 % des tumeurs cérébrales.
Pathologies associées à la neurologie
- Accident vasculaire cérébral
- Algie vasculaire de la face (AVF)
- Alzheimer
- Aphasie
- Ataxie
- Autisme
- Botulisme
- Commotion cérébrale
- Crise d’épilepsie
- Dysarthrie
- Dyspraxie
- Dystonie
- Encéphalite
- Hémorragie méningée
- Hydrocéphalie
- Hyperactivité
- Hypertension intracrânienne
- Ictus amnésique
- Maladie de Charcot
- Maladie de Creutzfeldt-Jakob
- Maladie de Huntington
- Maladie de Parkinson
- Méningite
- Infections invasives à méningocoque : augmentation en 2025
- Myasthénie
- Narcolepsie
- Neurofibromatose
- Myopathie
- Neuropathie périphérique
- Névralgie
- Névralgie d’Arnold
- Névralgie cervico-brachiale
- Prosopagnosie
- Schwannome ou neurinome
- Sclérose en plaques (Sep)
- Syndrome d’Asperger
- Somnambulisme
- Syndrome de Gilles de la Tourette
- Syndrome de Guillain-Barré
- Syndrome de la queue de cheval
- Syndrome de l'homme raide
- Syndrome des jambes sans repos
- Syndrome de Korsakoff
- Syndrome de Rett
- TDAH (trouble du déficit de l'attention/hyperactivité)
- Traumatisme crânien