
L’ Échographie abdominale est un examen d’imagerie médicale couramment utilisé pour explorer l’intérieur de l’abdomen de manière non invasive. Grâce aux ultrasons, elle permet de visualiser en temps réel certains organes abdominaux, sans douleur ni exposition aux rayons X. C’est l’un des examens les plus prescrits en médecine générale et spécialisée.
Qu’est-ce qu’une échographie abdominale ?
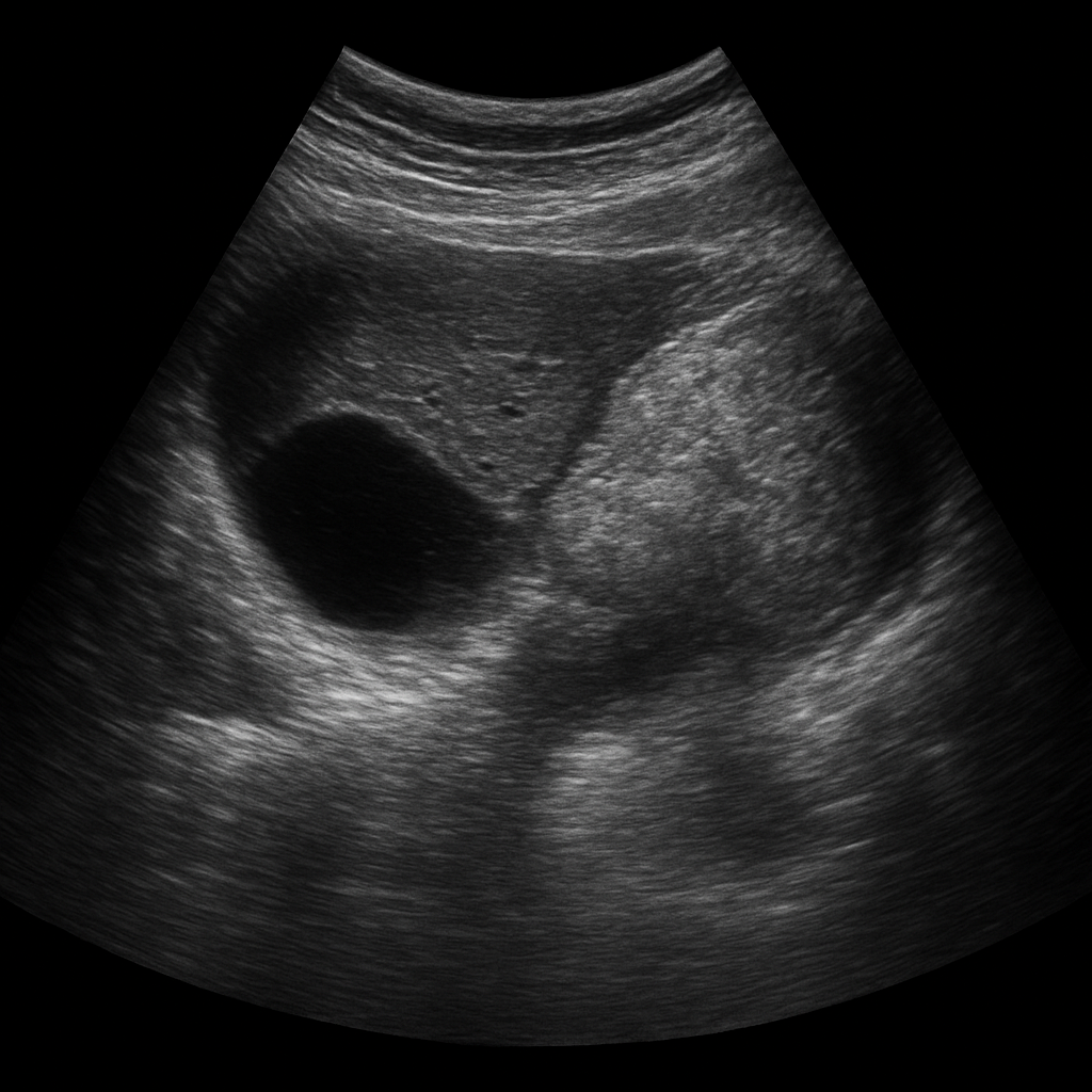
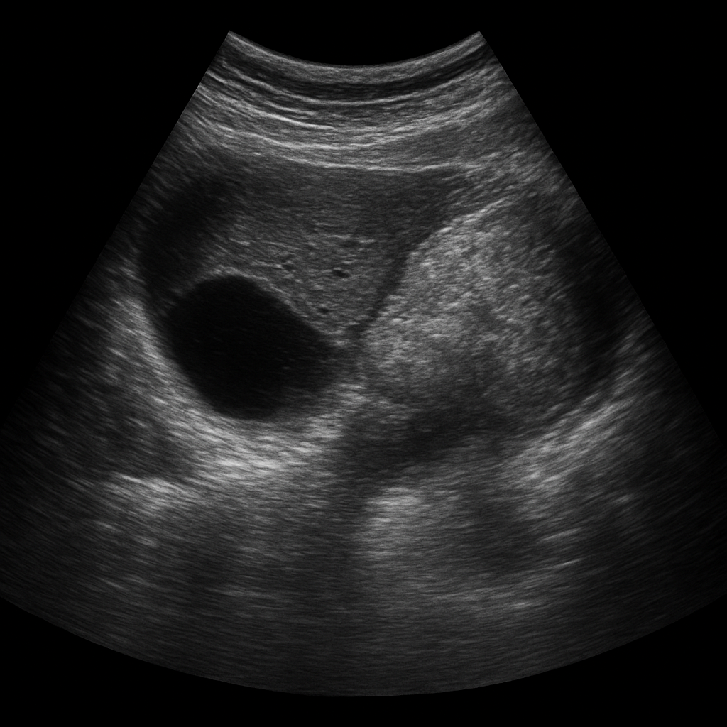
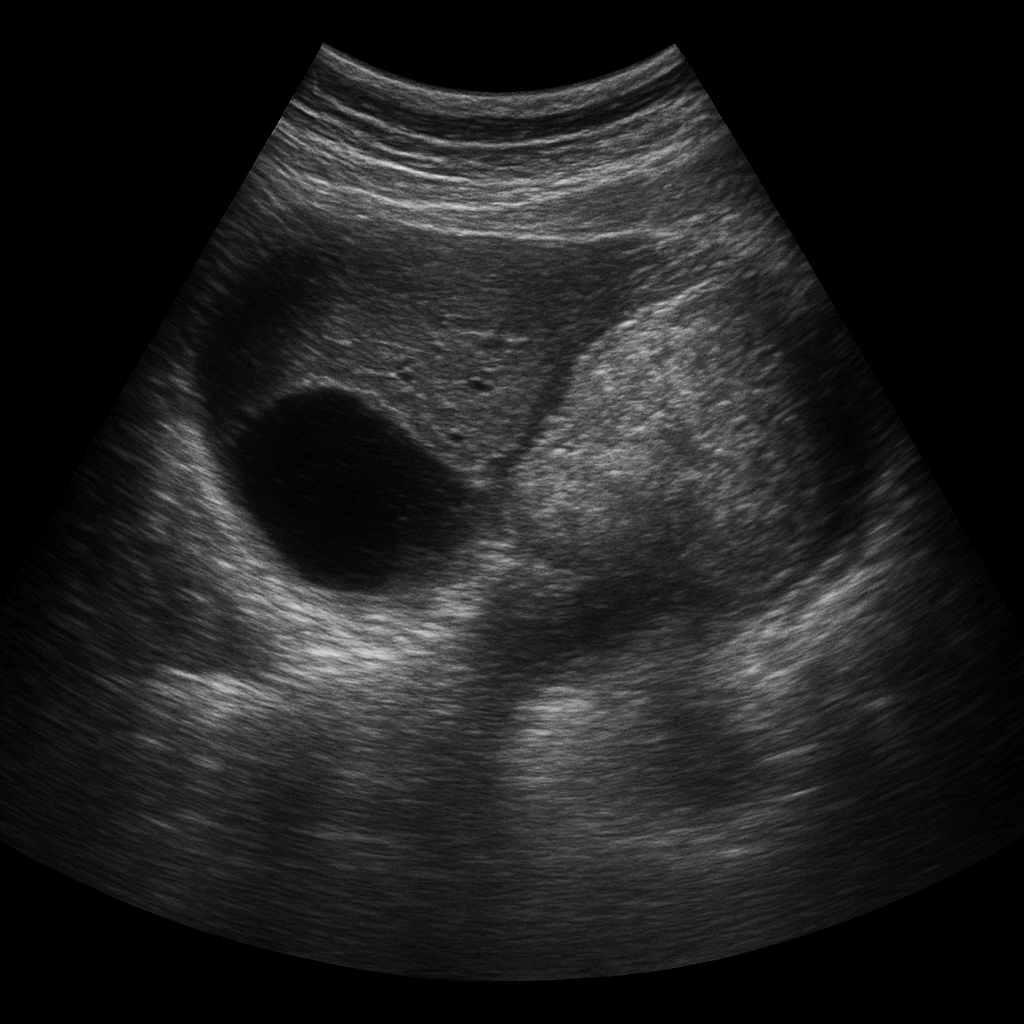
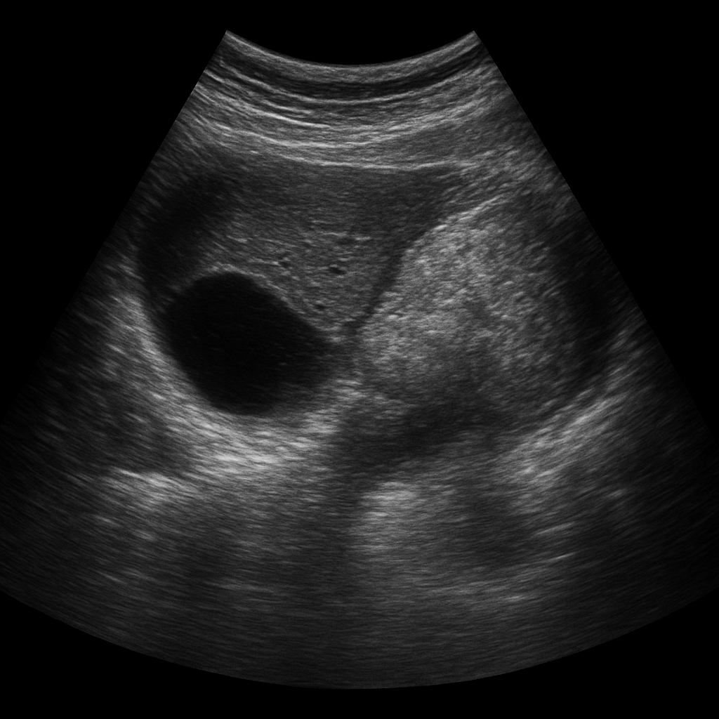
L’échographie abdominale repose sur l’émission d’ondes ultrasonores à haute fréquence à travers une sonde, appliquée sur la peau. Ces ondes se propagent à travers les tissus et sont réfléchies différemment selon la nature des structures qu’elles rencontrent (liquide, tissu dense, gaz, os). Le signal de retour est interprété par un logiciel informatique qui crée des images en temps réel.
Le radiologue, ou le médecin échographiste, peut ainsi observer l’aspect des organes, rechercher des anomalies morphologiques, mesurer des structures et, dans certains cas, guider des gestes diagnostiques ou thérapeutiques.
Quelles sont les principales indications de l'échographie abdominale ?
L’échographie abdominale est indiquée dans un très large éventail de situations cliniques. En raison de son innocuité, elle est souvent le premier examen d’imagerie prescrit, en particulier pour :
- Douleurs abdominales aiguës ou chroniques
- Suspicion de colique néphrétique ou biliaire (calculs)
- Signes digestifs persistants (ballonnements, nausées, transit modifié)
- Recherche ou suivi de pathologies hépatiques : cirrhose, hépatites, stéatose
- Évaluation de masses abdominales palpées à l’examen clinique
- Détection ou confirmation d’une ascite
- Bilan ou dépistage d’un anévrisme de l’aorte abdominale
- Surveillance post-opératoire
- Pathologies pédiatriques (invagination intestinale, douleurs abdominales)
Chez certaines populations à risque, notamment les hommes de plus de 65 ans fumeurs, elle est recommandée pour dépister les anévrismes de l’aorte.
Quels organes peut-on visualiser avec l'échographie abdominale ?
1. Le foie
L’échographie hépatique permet d’évaluer la taille, la structure (stéatose, nodules, tumeurs), la texture (cirrhose), et la vascularisation du foie. Elle est utile dans le suivi des hépatopathies chroniques.
2. La vésicule biliaire
On y recherche des calculs biliaires (lithiases), une inflammation de la paroi (cholécystite), ou des polypes. Cet organe est facilement accessible par échographie, notamment après un jeûne.
3. Les reins et voies urinaires hautes
Les reins peuvent être explorés à la recherche de calculs rénaux, de kystes, de tumeurs, ou encore d’une dilatation des cavités rénales (hydronéphrose). On peut aussi y dépister une malformation congénitale ou une infection (comme une pyélonéphrite), bien que le diagnostic repose avant tout sur la clinique et le scanner.
4. Le pancréas
Le pancréas est parfois difficile à visualiser, surtout en raison des gaz intestinaux ou d'obésité. L’échographie permet d’observer sa taille, sa forme et de rechercher des signes indirects de pancréatite aiguë ou chronique, des masses ou des kystes.
5. La rate
La rate est analysée en cas de suspicion de splénomégalie, d’anomalie hématologique, ou après un traumatisme abdominal. Des lésions bénignes ou malignes peuvent y être détectées.
6. L'aorte abdominale
L’échographie permet de mesurer le diamètre de l’aorte et de détecter une éventuelle dilatation anévrismale. Elle est essentielle dans le dépistage de l’anévrisme de l’aorte abdominale.
7. La vessie et les organes pelviens (en complément)
Lorsque la vessie est bien remplie, elle peut être étudiée pour détecter des anomalies (résidu post-mictionnel, tumeurs, épaississement de paroi). Chez la femme, l’utérus et les ovaires peuvent être visualisés, et chez l’homme, la prostate (par voie transrectale).
Comment se déroule une échographie abdominale ?🔬

L’examen se fait généralement en position allongée sur le dos, parfois sur le côté. Le médecin applique un gel transparent sur la peau de l’abdomen pour permettre une bonne conduction des ultrasons. Ensuite, la sonde est déplacée pour obtenir des images sous différents angles.
Le médecin peut vous demander de retenir votre respiration brièvement afin de mieux visualiser certains organes comme le foie ou la vésicule biliaire. L’examen est totalement indolore et dure entre 15 et 30 minutes.
Comment se préparer à une échographie abdominale ?
Règles générales :
- Être à jeun depuis 4 à 6 heures (ni aliments solides, ni boissons gazeuses)
- Éviter de fumer avant l’examen pour limiter les gaz intestinaux
-
Porter des vêtements amples pour faciliter l’accès à l’abdomen
Cas spécifiques :
- Échographie pelvienne : boire 500 à 750 mL d’eau environ 1 heure avant sans uriner
- Échographie rénale : être hydraté, mais à jeun si associée à une exploration digestive
- Femmes enceintes : pas de contre-indication, l’échographie est sans danger
Résultats et compte rendu de l'échographie abdominale
Le radiologue commente souvent les images à voix haute pendant l’examen, mais seul le compte rendu écrit, rédigé par le radiologue après l'examen, est le seul document de valeur diagnostique. Il contient généralement :
- La description des organes observés
- Les mesures (taille, diamètre, volume)
- Les anomalies détectées
- Une conclusion diagnostique
Ce compte rendu est remis au patient ou envoyé au médecin prescripteur. Il est utilisé pour orienter les traitements, demander des examens complémentaires ou assurer un suivi.
Quel est le coût d'une échographie abdominale ?
- Avec ordonnance : remboursement à 70 % par la Sécurité sociale (hors dépassement éventuel), le reste par la mutuelle (certaines ne remboursent pas intégralement les dépassements en secteur 2).
- Sans ordonnance : non remboursé, sauf en cas d’acte d’urgence ou si prescrit a posteriori
L'échographie abdominale

Chez les enfants, l’échographie abdominale est souvent utilisée pour explorer des douleurs aiguës, des anomalies congénitales ou des troubles digestifs. Elle est particulièrement adaptée car elle ne nécessite ni injection, ni anesthésie, ni rayons X.
1. Préparation
- À jeun selon l’âge et le type d’ingestion :
➤ 2 h pour les liquides clairs,
➤ 4 h pour le lait maternel,
➤ 6 h pour le lait infantile ou les aliments solides.
(Sauf en cas d’urgence) - Environnement rassurant : présence des parents recommandée.
- Utilisation de petites sondes haute fréquence adaptées à la morphologie pédiatrique.
2. Indications fréquentes
- Douleurs abdominales (ex. : appendicite, invagination intestinale).
- Malformations congénitales (reins, voies urinaires, foie).
- Recherche de masse ou tumeur abdominale.
- Suivi de pathologies digestives (ex. : maladie cœliaque, maladie de Crohn).
3. Spécificités techniques
- Paroi abdominale fine : meilleure qualité d’image.
- Enfant souvent peu coopérant → adaptation du rythme de l’examen.
- Échographie parfois complétée par des gestes en temps réel (manœuvre de compression, évaluation dynamique).

1. Préparation
- À jeun 6 heures en général, sauf contre-indication médicale.
- Vérification des antécédents médicaux et traitements (notamment anticoagulants, diabète).
- Surveillance accrue en cas de mobilité réduite ou troubles cognitifs.
2. Indications fréquentes
- Bilan de douleurs abdominales ou masses suspectes.
- Suivi de pathologies chroniques (ex. : foie, reins, vessie).
- Recherche de complications vasculaires (anévrisme de l’aorte abdominale).
- Troubles digestifs inexpliqués (ex. : occlusion, constipation chronique).
3. Spécificités techniques
- Paroi abdominale plus épaisse ; présence fréquente d’air intestinal ou de graisse → qualité d’image parfois altérée.
- Positionnement du patient difficile (arthrose, douleurs).
- Durée de l’examen souvent plus longue, avec nécessité de pauses.
Scanner ou échographie : quelle différence ?
Échographie abdominale 📌
L’échographie abdominale est un examen d’imagerie non irradiant, utilisant des ultrasons pour visualiser les organes de l’abdomen. Elle est :
- Non irradiant (ultrasons)
- Indolore, rapide, sans produit de contraste
- Moins précis pour les tissus profonds ou les organes creux
- Idéal en première intention
Scanner abdomino pelvien (Scanner abdominal) 📌
Le scanner abdominal, ou tomodensitométrie (TDM), utilise des rayons X pour fournir des images très détaillées des structures abdominales et pelviennes.
- Utilise des rayons X
- Nécessite parfois une injection intraveineuse de produit de contraste
- Plus précis pour les tumeurs, inflammations intestinales, saignements internes
Utilisé en seconde intention après une échographie peu concluante, ou directement en cas de suspicion de pathologie urgente ou complexe.
Comment prendre rendez-vous ?
Pour prendre un rendez-vous pour une échographie , vous pouvez :
- Appeler un centre d’imagerie du groupe ELSAN.
- Réserver votre rendez-vous en ligne via notre annuaire ou depuis Doctolib.
Le délai dépend de l’urgence, de la prescription médicale et de la disponibilité des centres
L’échographie abdominale est un examen rapide, sûr, sans douleur, qui fournit des informations précieuses sur les organes internes. Elle est très souvent utilisée en première intention dans le diagnostic de nombreuses pathologies abdominales.
Cet article médical a été relu et validé par un médecin spécialiste en radiologie au sein d’un établissement ELSAN, groupe leader de l’hospitalisation privée en France. Il a un but uniquement informatif et ne se substitue en aucun cas à l’avis de votre médecin, seul habilité à poser un diagnostic.
Pour établir un diagnostic médical précis et correspondant à votre cas personnel ou en savoir davantage et avoir plus d’informations sur votre pathologie, nous vous rappelons qu’il est indispensable de prendre contact et de consulter un médecin.
Vous trouverez ci-dessous, les spécialistes médecin généraliste au sein des hôpitaux privés ELSAN, qui vous reçoivent en RDV près de chez vous, dans l’un de nos établissements.
Vos questions fréquemment posées sur l'échographie abdominal :
Cet examen d'imagerie médicale non invasif permet d’explorer sans douleur les organes de l’abdomen (comme le foie, les reins, la rate…), souvent en première intention, en cas de douleurs abdominales, d'anomalies digestives ou urinaires ainsi que pour le suivi de pathologies connues.
Un jeûne de 6 heures est généralement conseillé (sauf cas particulier). Pour les règles spécifiques selon le type d’échographie, reportez-vous à la section “Préparation avant une échographie abdominale
L’échographie abdominale explore le haut de l’abdomen (foie, pancréas, reins…), alors que la pelvienne cible les organes du bas (utérus, ovaires, vessie, prostate). Ces examens sont parfois complémentaires.
L’échographie a ses limites, surtout pour certaines zones difficiles à explorer (pancréas, en cas d'obésité ou de gaz). D’autres examens (scanner, IRM) peuvent être nécessaires selon les cas.
Ces deux examens sont parfois complémentaires selon les symptômes présentés par le patient.
Cet examen d'imagerie médicale non invasif permet d’explorer sans douleur les organes de l’abdomen (comme le foie, les reins, la rate…), souvent en première intention, en cas de douleurs abdominales, d'anomalies digestives ou urinaires ainsi que pour le suivi de pathologies connues.
L’échographie abdominale est donc un outil précieux, mais souvent complété par d'autres examens d’imagerie selon le contexte clinique.
Avant une échographie abdominale, il est généralement recommandé d’être à jeun pendant au moins 6 heures, c’est-à-dire de ne rien manger, de ne pas fumer et de ne boire que de l’eau plate en petite quantité jusqu’à 2 heures avant l’examen. Les boissons sucrées, lactées, gazeuses ou le café sont à éviter, car elles stimulent la digestion et favorisent la production de gaz, ce qui peut gêner la visualisation des organes. Ces consignes visent à optimiser la qualité de l’image échographique, mais peuvent varier légèrement selon les centres ou le type d’examen prescrit ; il est donc conseillé de suivre les instructions spécifiques données par le radiologue ou le service d’imagerie

L’échographie abdominale vétérinaire est un examen d’imagerie non invasif permettant de visualiser en temps réel les organes internes de l’abdomen tels que le foie, les reins, la rate, la vessie, l’estomac, les intestins, l’utérus, la prostate, etc. Elle est indiquée dans de nombreuses situations : pour le diagnostic de maladies internes (comme des tumeurs, infections, inflammations, ascite, kystes ou calculs), le suivi d’une affection chronique (notamment rénale ou hépatique), ou encore en cas de symptômes inexpliqués tels que vomissements, amaigrissement, douleurs abdominales ou troubles urinaires. Elle est également utile pour le suivi de gestation afin de confirmer une grossesse et d’évaluer la viabilité des fœtus, ainsi que pour le contrôle post-chirurgical ou post-traumatique, notamment pour détecter un éventuel saignement interne ou une complication.
Concernant le coût d’une échographie abdominale vétérinaire, celui-ci varie selon plusieurs facteurs : l’espèce de l’animal, la région, le vétérinaire consulté, ou encore le contexte (urgence, équipement spécialisé, etc.). En moyenne, pour un chien ou un chat, le tarif se situe entre 80 € et 200 €, voire davantage dans certains cas, notamment dans les grandes agglomérations ou en présence d’un spécialiste. En cas d’urgence ou d’examen complexe, le prix peut dépasser ce seuil. Les tarifs peuvent également être plus élevés pour les animaux exotiques ou de grande taille. Il est donc recommandé de demander un devis préalable à votre vétérinaire.
Pathologies associées à la Gastro-entérologie
Nos Gastro-entérologues à proximité

Chirurgie viscérale et digestive
Découvrez tout ce que vous devez savoir sur la Chirurgie viscérale et digestive chez ELSAN








