
Lymphome de Hodgkin
Le lymphome de Hodgkin ou lymphome hodgkinien est un cancer du système lymphatique. Or le système lymphatique est impliqué dans la défense immunitaire et le drainage des déchets de l'organisme. Il affecte particulièrement les adolescents et les jeunes adultes, de même que les seniors de plus de 70 ans. Le lymphome hodgkinien est un des cancers dont le pronostic vital est parmi les meilleurs.
Définition : qu'est-ce que le lymphome de Hodgkin ou cancer des ganglions au stade 1,2,3 et 4 ?
Le lymphome de Hodgkin, du nom du médecin anglais qui l'a identifié au XIXe siècle, désigne un cancer du système lymphatique. Plus précisément, il s'agit d'un cancer qui affecte certains globules blancs, les lymphocytes B. Ces lymphocytes, initialement normaux, se mettent à se multiplier de façon complètement anarchique. Ils se regroupent et forment des amas compacts de cellules anormales, les cellules de Reed-Sternberg. Ils forment alors des tumeurs cancéreuses, surtout localisées au niveau des ganglions lymphatiques, mais pouvant se retrouver aussi dans les organes (rate, foie…). Il y a quatre stades dans la maladie selon le niveau de gravité. Le stade I est le moins grave, il correspond à un cancer circonscrit à un groupe de ganglions lymphatiques d'un seul côté du diaphragme thoracique. Dans le stade II, le cancer reste localisé d'un seul côté du diaphragme, mais a gagné le système lymphatique. Dans le stade III, le système lymphatique des deux côtés du diaphragme est atteint par les tumeurs cancéreuses. Enfin, au stade IV du lymphome de Hodgkin, le cancer s'est propagé au-delà du système lymphatique et affecte les organes et les os.
Quelles sont les causes du syndrome de Hodgkin ?
Toutes les causes du lymphome de Hodgkin n'ont pas été cernées à ce jour. Pour autant, les scientifiques ont pu mettre en évidence des facteurs de risque. Présentent un risque accru de développer un lymphome de Hodgkin, les personnes atteintes d'une affection chronique par le virus Epstein-Barr (virus à l'origine de la mononucléose), les fumeurs, les personnes atteintes d'un syndrome d'immunodéficience acquise (VIH, traitement immunosuppresseur contre le rejet de greffe), d'un syndrome d'immunodéficience héréditaire (syndrome de Wiskott-Aldrich…) ou une maladie auto-immune (lupus, polyarthrite rhumatoïde…).

Quels sont les symptômes du lymphome de Hodgkin ?
Parmi les symptômes les plus caractéristiques de la maladie de Hodgkin, on observe des ganglions hypertrophiés, le plus souvent au niveau du cou, mais potentiellement aussi au niveau de l'aine ou des aisselles. Ces hypertrophies ganglionnaires ne sont généralement pas douloureuses et augmentent lentement de volume.
Ces gonflements ganglionnaires, selon leur localisation, peuvent entraîner une gêne respiratoire, une toux sèche, des douleurs thoraciques et un œdème au visage.
✍️ A noter : À ces ganglions enflés s'ajoutent des sueurs nocturnes, de la fièvre, un amaigrissement, une fatigue anormale et, plus rarement, des démangeaisons cutanées (prurit).
Quel diagnostic et bilan réalisé pour identifier le lymphome de Hodgkin ?
Dans un premier temps, le médecin généraliste procède à un examen clinique et à un échange avec le patient (contexte d'apparition des symptômes, intensité…). Puis, en cas de suspicion d'un problème lymphatique, le médecin oriente la personne vers un hépatologue. Le spécialiste procède alors à divers examens :
- une numération de la formule sanguine réalisée à partir d'une prise de sang en laboratoire ;
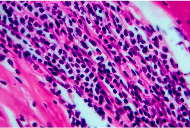
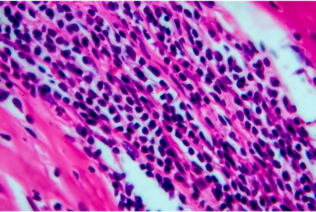
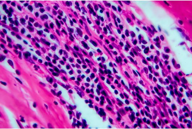
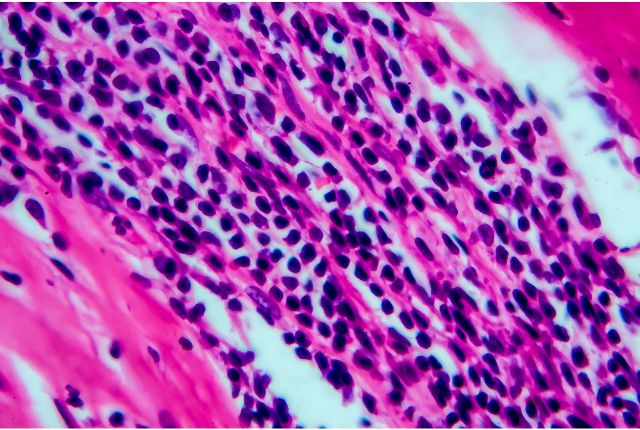
- une biopsie ganglionnaire, réalisée sous anesthésie locale. Seule cette biopsie permet de confirmer le diagnostic de lymphome de Hodgkin. Le prélèvement ganglionnaire, analysé ensuite au microscope, révèle la présence de cellules de Reed-Sternberg en cas de cancer du système lymphatique ;
- des examens d'imagerie médicale : échographie de la rate et du foie, scanner avec injection d'un produit de contraste du thorax, du cou et de l'abdomen. En cas de troubles neurologiques, une IRM du cerveau ou de la moelle épinière est prescrite ;
- un TEP-TDM, autrement dit une tomodensitométrie (TDM) associée à une tomographie par émission de positons (TEP), pour déterminer le stade du cancer une fois le diagnostic de lymphome hodgkinien avéré. Cet examen permet en effet de mettre en évidence à l'écran quels sont les foyers actifs du cancer et donc son étendue et sa gravité ;
- une biopsie de la moelle osseuse.
Quels sont les traitements du lymphome de Hodgkin ?
Les traitements du lymphome de Hodgkin dépendent du stade d'évolution du cancer. Pour tous les stades du lymphome de Hodgkin, on prescrit une chimiothérapie. Elle se déroule en 2 à 6 cures selon le stade du cancer et la réponse de l'organisme au traitement chimiothérapique. En complément, mais seulement dans 25 % des cas, une radiothérapie peut s'avérer nécessaire. Ces deux traitements classiques donnent de très bons résultats en termes de survie globale. Mais il peut arriver que la personne ne réponde pas à es traitements. Une immunothérapie est alors envisagée, technique qui consiste à booster les défenses immunitaires de la personne pour mieux combattre les cellules cancéreuses. Ensuite, un suivi médical est nécessaire, avec des examens biologiques, cliniques et radiologiques, pour surveiller l'évolution du lymphome. La chirurgie n'est pas une option retenue dans le cas d'un lymphome hodgkinien. Et l'espérance de vie avec la maladie de Hodgkin est bonne.
Cet article médical a été relu et validé par un médecin spécialiste en hématologie au sein d’un établissement ELSAN, groupe leader de l’hospitalisation privée en France. Il a un but uniquement informatif et ne se substitue en aucun cas à l’avis de votre médecin, seul habilité à poser un diagnostic.
Pour établir un diagnostic médical précis et correspondant à votre cas personnel ou en savoir davantage et avoir plus d’informations sur votre pathologie, nous vous rappelons qu’il est indispensable de prendre contact et de consulter un médecin.
Vous trouverez ci-dessous, les médecins hématologues au sein des hôpitaux privés ELSAN, qui vous reçoivent en RDV près de chez vous, dans l’un de nos établissements.
Vos questions fréquemment posées :
Quelle espérance de vie avec un lymphome de ?
L’espérance de vie moyenne à 5 ans des patients atteints d’un lymphome de Hodgkin est d’environ 85%. Cependant, cette moyenne cache des différences importantes en fonction du stade de la maladie au diagnostic, de l’âge du patient et de la présence ou non de facteurs de mauvais pronostic.
Comment attrape-t-on la maladie de hodgkin ?
On ne sait pas précisément comment on attrape la maladie de Hodgkin. Cependant plusieurs facteurs de risque sont identifiés : les personnes atteintes d'une affection chronique par le virus Epstein-Barr, les fumeurs, les personnes atteintes d'un syndrome d'immunodéficience acquise ou d'un syndrome d'immunodéficience héréditaire, ou les personnes atteintes d'une maladie auto-immune.
Lymphome hodgkinien ou non hodgkinien ?
La différence entre le lymphome de Hodgkin et le lymphome non-hodgkinien LNH est la présence de cellules de Reed-Sternberg qui sont présentent uniquement dans le lymphome de Hodgkin.
Nos hématologues à proximité
Pathologies associées à l'Oncologie/Cancérologie
Traitement associé à l'Oncologie/Cancérologie








