
Toxoplasmose
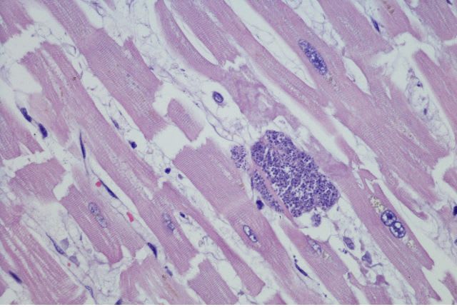
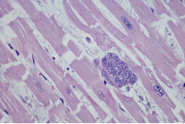
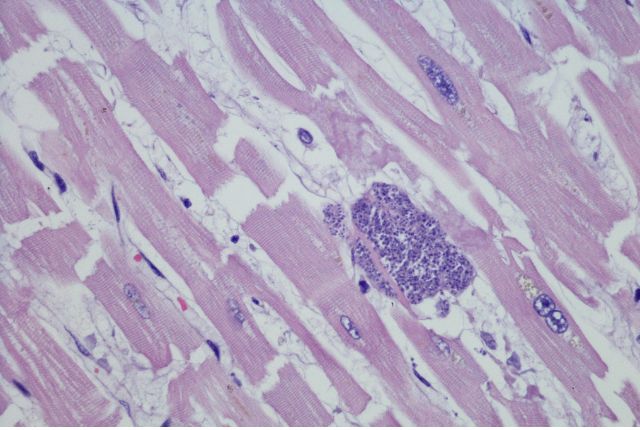
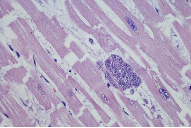
La toxoplasmose est une infection parasitaire due au Toxoplasma gondii. Ce parasite a pour hôte principal (ou définitif) le chat et peut infecter les humains si ce dernier ingère les œufs du parasite accidentellement. Les œufs du parasite peuvent se trouver dans des aliments, dans la terre ou dans l’environnement d’un chat. Si la toxoplasmose est la plupart du temps asymptomatique, elle peut donner des formes graves notamment chez le fœtus et les personnes immunodéprimées.
Définition : qu’est-ce que la toxoplasmose ou toxoplasma gondii ?
La toxoplasmose est une maladie infectieuse due à un parasite appelé Toxoplasma gondii. La toxoplasmose est une zoonose, c’est-à-dire qu’il s’agit d’une infection touchant les animaux (en particulier les félins) et pouvant infecter l’Homme.
Si l’infection est très fréquente (on estime que 50 % de la population a été infectée par le parasite) et ne provoque pas de problème grave de santé dans la très grande majorité des cas, il peut arriver que l’infection soit dangereuse si elle est contractée par une femme enceinte ou une personne immunodéprimée (la toxoplasmose est une infection opportuniste). Le parasite peut se retrouver dans les aliments non lavés ou qui ne sont pas assez cuits ou dans les déjections félines. En cas de grossesse, il est très important de vérifier que la femme enceinte est immunisée contre le parasite afin d’éviter une contamination pendant la grossesse. Étant donné le risque de complications graves, le dépistage de la toxoplasmose est obligatoire pendant la grossesse.

Quelles sont les causes de la toxoplasmose ?
Le parasite responsable de la toxoplasmose est un parasite protozoaire (il s’agit d’un être unicellulaire). L’hôte naturel de ce parasite est le chat. Les autres animaux et l’homme peuvent s’infecter de façon accidentelle. Quand le parasite se trouve dans l’intestin du chat, il pond des œufs. Ceux-ci peuvent se retrouver dans les excréments du chat ou, indirectement, dans des aliments souillés par les déjections félines. Les œufs infectent alors les animaux ou l’homme, ils passent alors au stade tachyzoïte qui vont s’enkyster au niveau des tissus. L’homme peut ainsi s’infecter en portant à la bouche ses mains contaminées (après avoir travaillé la terre, changé une litière, caressé un chat sans se laver les mains), ou en consommant des aliments contaminés (viandes contaminées insuffisamment cuites fruit ou légumes ou herbes non lavées et contaminées). Chez la femme enceinte, le parasite peut traverser le placenta et infecter l’embryon ou le fœtus. Chez la personne immunodéprimée (c’est-à-dire avec un système immunitaire affaibli), il peut arriver qu’une ancienne infection se réactive.
Quels sont les signes et symptômes de la sérologie toxoplasmose positive ?
Généralement, la toxoplasmose ne donne pas de symptômes ou des symptômes très légers comme un mal de gorge souvent peu intense, de la fièvre, des maux de tête, de la fatigue, parfois une petite éruption cutanée et une inflammation des ganglions. Chez le nouveau-né, la toxoplasmose peut être à l’origine d’une jaunisse, d’une éruption cutanée, d’une accumulation d’eau au niveau du cerveau (appelée hydrocéphalie), de convulsions, de troubles de la vue ou encore de déficits intellectuels ou de malformations. Chez les personnes immunodéprimées (personnes atteintes du VIH, ayant un cancer…), la toxoplasmose peut provoquer une encéphalite (inflammation de l’encéphale), des maux de tête ou des problèmes visuels.
Quels sont les risques de la toxoplasmose pour une femme enceinte et pour son bébé ?
Si la toxoplasmose est contractée par une femme enceinte, le parasite peut infecter l’enfant à naitre, car il passe la barrière placentaire. Après la contamination d’une femme enceinte, seul un tiers des fœtus seront infectés. Selon le SNOF (Syndicat national des ophtalmologistes de France), chaque année 2000 femmes enceintes sont infectées par le parasite et 700 fœtus sont contaminés. Le risque d’infection augmente au fur et à mesure de la grossesse. Dans la plupart des cas, il n’y aura pas de complications, mais parfois l’infection à la toxoplasmose peut engendrer des problèmes oculaires (choriorétinite toxoplasmique), des fausses couches, des lésions graves, des malformations ou la mort du fœtus in utero. Afin d’éviter tout risque pendant la grossesse, une sérologie peut être effectuée dès le projet parental, avant la grossesse. Une prise de sang permet en effet de savoir s’il existe une immunité ou non. La sérologie de la toxoplasmose est obligatoire avant le 3e mois de grossesse, en cas de non-immunisation, il faut que la femme enceinte suive attentivement les conseils de prévention pendant toute sa grossesse. Une sérologie sera également pratiquée tous les mois pour vérifier qu’il n’y a pas de contamination.
Quels traitements pour la toxoplasmose ?
Tout d’abord, le traitement concerne surtout les cas symptomatiques. Le traitement de la toxoplasmose est constitué par la prise d’antiparasitaire ou d’antibiotiques (qui peuvent avoir des effets sur les parasites). Généralement, le traitement prescrit contient l’association de deux molécules : la pyriméthamine et la sulfadiazine ainsi qu’une prise d’ acide folique. Si cette association de médicaments est très efficace, il faut suivre très attentivement les personnes qui reçoivent ce cocktail de médicaments, car le traitement peut engendrer des complications graves. Si l’infection concerne une femme enceinte, il faut avant tout consulter un médecin spécialisé dans les affections parasitaires afin de connaître les traitements compatibles avec la poursuite de la grossesse. Chez la femme enceinte, on peut par exemple prescrire de la spiramycine qui peut aider à diminuer les risques de contamination pour le fœtus. S’il s’avère que le fœtus est contaminé, le traitement associe la pyriméthamine et la sulfadiazine ainsi que la prise d’acide folique. Le traitement devra être continué après l’accouchement pendant un an.
Chez les personnes immunodéprimées, il faut faire attention à une réactivation d’une ancienne contamination de la toxoplasmose. Préventivement, on peut prescrire ainsi du cotrimoxazole pour éviter cette réactivation.
Afin d’éviter au maximum de contracter la toxoplasmose, notamment pendant la grossesse (s’il n’y a pas d’immunisation) il faut laver soigneusement les légumes et les herbes sortant de terre (qui peuvent avoir été souillées par des déjections félines). La viande doit être cuite à cœur (au cas où l’animal ait été infecté) à au moins 67 °C. La congélation de la viande à -12 °C pendant 3 jours élimine le parasite. Les surfaces destinées à la cuisine doivent être nettoyées scrupuleusement. Les ustensiles de cuisine doivent être nettoyés et désinfectés à chaque utilisation. Il est important de se laver les mains avec du savon très régulièrement.
La litière du chat doit être lavée à l’eau bouillante (de préférence par une autre personne du foyer que la femme enceinte). Il faut que la femme enceinte évite au maximum les contacts directs avec le ou les chats (surtout s’ils sortent dehors) et avec la litière de ces derniers.
Cet article médical a été relu et validé par un médecin spécialiste en médecine générale au sein d’un établissement ELSAN, groupe leader de l’hospitalisation privée en France. Il a un but uniquement informatif et ne se substitue en aucun cas à l’avis de votre médecin, seul habilité à poser un diagnostic.
Pour établir un diagnostic médical précis et correspondant à votre cas personnel ou en savoir davantage et avoir plus d’informations sur votre pathologie, nous vous rappelons qu’il est indispensable de prendre contact et de consulter un médecin.
Vous trouverez ci-dessous, les médecins généralistes au sein des hôpitaux privés ELSAN, qui vous reçoivent en RDV près de chez vous, dans l’un de nos établissements.
Vos questions fréquemment posées :
Comment on peut attraper la toxoplasmose ?
La toxoplasmose est une maladie infectieuse due à un parasite, le toxoplasma gondii. On peut l’attraper en mangeant de la viande crue ou mal cuite contaminée par le parasite, en mangeant des légumes ou des fruits non lavés ou en entrant en contact avec des animaux contaminés.
Est-ce que la toxoplasmose se soigne ?
La toxoplasmose est généralement bénigne chez l'adulte et ne nécessite aucun traitement. Chez les femmes enceintes et les personnes immunodéprimées, la toxoplasmose peut cependant être plus grave et nécessiter un traitement antibiotique et antiparasitaire.
Comment savoir si on est immunisé contre la toxoplasmose ?
Si vous avez déjà eu la toxoplasmose, vous êtes immunisé et vous ne risquez pas de l’attraper à nouveau. Si vous n’avez jamais eu la toxoplasmose, vous pouvez faire un test sanguin pour savoir si vous êtes immunisé.
Quand faire une prise de sang pour la toxoplasmose lors de sa grossesse ?
Si vous êtes enceinte, le dépistage de la toxoplasmose est obligatoire dans le cadre de la déclaration de grossesse pour éviter tout risques pour l'enfant.
Pathologie maladies générales
Nos médecins à proximité

Médecine générale
Découvrez tout ce que vous devez savoir sur la Médecine générale chez ELSAN







