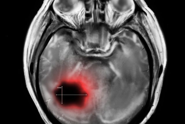
Les astrocytomes sont les tumeurs cérébrales les plus courantes. Certaines sont bénignes comme les astrocytomes pilocytiques, d'autres sont malignes comme les astrocytomes anaplasiques.
Définition : qu’est-ce qu’un astrocytome ?
Les astrocytomes sont considérés comme les tumeurs cérébrales les plus courantes. Elles concernent plus généralement le système nerveux central. Plus de la moitié des tumeurs cérébrales primitives sont ainsi des astrocytomes. Elles peuvent être bénignes ou malignes. Les astrocytomes sont les tumeurs du cerveau et de la moelle épinière de l'enfant les plus fréquentes. Les astrocytomes appartiennent à type de tumeur au cerveau appelé gliome.

Pourquoi astrocytome ?
Ces tumeurs se forment à partir de cellules qui ont une forme d'étoile (appelées astrocytes).
En savoir plus sur les tumeurs du système nerveux central (SNC)
Astrocytome pilocytique bénin
Les astrocytomes pilocytiques sont des tumeurs bénignes et les plus fréquentes sont des astrocytomes pilocytiques juvéniles de grade 1. L'astrocytome pilocytique est le plus courant chez les enfants. D'une manière générale, les gliomes de bas grade (y compris l'astrocytome pilocytique) sont les plus fréquentes chez l’enfant. Même s'il s'agit de tumeurs bénignes, une tumeur située dans le cerveau est toujours prise au sérieux car le cerveau est contenu dans le crâne qui présente une forme rigide empêchant la tumeur de s'étendre, risquant d'écraser de ce fait des zones vitales.
Cancers malins : glioblastome
Les glioblastomes (de stade IV) sont la forme la plus dangereuse d'astrocytome. Le glioblastome est le plus fréquent chez les adultes et les personnes âgées.
Qu’est-ce qu’un astrocytome anaplasique ?
Les astrocytomes anaplasiques sont des tumeurs gliales rares, malignes, et souvent de grade élevé. Ces tumeurs rentrent dans la catégories des cancers du cerveau comme les glioblastomes. On parle de gliomes malins. L'astrocytome anaplasique touche plus fréquemment les hommes de 40 à 60 ans. Il peut dégénérer en glioblastome qui n'est pas un cancer de très bon pronostic.
Qu’est-ce qu’un astrocytome de Grade 4 ?
Un astrocytome de grade 4 peut être un glioblastome, qui est considéré comme l'astrocytome le plus agressif. Certains scientifiques commencent à remettre en cause ce point en différenciant l'astrocytome qui a une mutation sur une enzyme appelée IDH du glioblastome qui n'a pas cette mutation. Mais, dans les deux cas, ces cancers cérébraux sont connus pour être agressifs.
Quelle est la cause de l'astrocytome ?
Les causes de l'astrocytome ne sont pas connues. Certains cas de glioblastomes ont été documentés à la suite d'irradiation du cerveau. Il existe des syndromes génétiques qui peuvent entraîner la formation d'astrocytome (neurofibromatose de type 1, syndrome de Turcot, syndrome de Li-Fraumeni).
Astrocytome : symptômes
Les symptômes en lien avec un astrocytome peuvent être :
-
maux de tête;
-
vomissement;
-
vision modifiée;
-
problèmes de locomotion;
-
douleurs dans le dos...
Comment soigner un astrocytome ?
Le traitement d'un astrocytome comprend la chirurgie, la radiothérapie et chimiothérapie.
-
Dans les cas d'astrocytomes bénins, la chirurgie suffit, si c'est possible. Lorsqu'elle est complète, elle entraîne généralement la guérison. Il arrive que l'on ait recours à la radiothérapie, voire à la chimiothérapie.
-
Dans les cas d'astrocytomes malins, il n'est pas toujours possible d'opérer, surtout si ce sont des tumeurs de grade élevé.
Gliome de bas grade
-
Les tumeurs qui répondent le mieux aux chimiothérapies sont l'astrocytome pilocytique et l'astrocytome anaplasique.
-
Les astrocytomes de faible grade sont souvent de bon pronostic.
-
La radiothérapie est à éviter chez les enfants atteints d'astrocytomes (ou gliomes) de faible grade car elle contient un risque pour la croissance et le développement du cerveau.
Cet article médical a été écrit par un rédacteur expert santé et SEO, Pierre Luton, et relu et validé par un médecin spécialiste en oncologie au sein d’un établissement ELSAN, groupe leader de l’hospitalisation privée en France. Il a un but uniquement informatif et ne se substitue en aucun cas à l’avis de votre médecin, seul habilité à poser un diagnostic.
Pour établir un diagnostic médical précis et correspondant à votre cas personnel ou en savoir davantage et avoir plus d’informations sur votre pathologie, nous vous rappelons qu’il est indispensable de prendre contact et de consulter un médecin.
Contactez les praticiens oncologues médicaux au sein des hôpitaux privés ELSAN, qui vous reçoivent en RDV près de chez vous, dans l’un de nos établissements.
Prenez tout de suite rendez-vous !
Obtenez un rendez-vous en moins de 5 min avec l'un de nos praticiens en choisissant le créneau horaire qui vous convient le mieux dans un établissement près de chez vous !
Vos questions fréquemment posées sur l’astrocytome et les tumeurs au cerveau :
Quelle espérance de vie avec une tumeur au cerveau ?
L'espérance de vie lorsque l'on est atteint d'une tumeur au cerveau dépend de la gravité de la pathologie, s'il s'agit d'une tumeur bénigne ou maligne, d'une tumeur primitive ou d'une métastase d'un autre cancer situé ailleurs dans l'organisme. Elle dépend aussi de sa localisation et de son type. L' astrocytome pilocytique est, par exemple, considéré comme de bon pronostic. Il n'en est pas de même pour le glioblastome. Ces données s'appuient sur des statistiques qui ne reflètent jamais vraiment la réalité vécue par les patientes et patients.
Pronostic : quelle espérance de vie avec un astrocytome ?
Cela dépend du type d'astrocytome. Les astrocytomes de bas grade (peu évolués) sont considérés comme de bon pronostic. En revanche, les glioblastome, tout comme les astrocytomes anaplasiques sont des pathologies plus agressives.
Quelle est la tumeur la plus agressive ?
Parmi les cancers les plus agressifs, l'on cite souvent le cancer du pancréas. Parmi les cancers du cerveau, le glioblastome est réputé pour être le plus agressif.
Nos oncologues / cancérologues à proximité
- Oncologue médical Auxerre
- Oncologue médical Clermont Ferrand
- Oncologue médical Le Mans
- Oncologue médical Luzy
- Oncologue médical Mainvilliers
- Oncologue médical Moulins
- Oncologue médical Montauban
- Oncologue médical Nantes
- Oncologue médical Nevers
- Oncologue médical Olivet
- Oncologue médical Poitiers
- Oncologue médical Saint-Doulchard
- Oncologue médical Saint-Herblain
- Oncologue médical Sarcelles
- Oncologue médical Sens
- Oncologue médical Stains
Pathologies associées à l'Oncologie/Cancérologie
- Qu'est-ce qu'un cancer ?
- Adénocarcinome
- Angiosarcome
- Aplasie
- Astrocytome
- Cancers chez les jeunes
- Cancer chez les jeunes adultes en augmentation
- Cas de cancer en France 2025 : chiffres, classements et prévention
- Cancer de la thyroïde
- Cancer de l'anus
- Cancer de la bouche
- Cancer de la gorge
- Cancer de l'oropharynx
- Cancer du nasopharynx
- Cancer du larynx
- Cancer des glandes salivaires
- Carcinome épidermoïde
- Comment j’ai découvert mon cancer de la gorge ?
- Cancer de la prostate
- Quand s'inquiéter pour sa prostate ?
- Cancer de la peau
- Cancer de la plèvre
- Quels sont les premiers symptômes du cancer de la prostate ?
- Cancer de la vésicule biliaire
- Cancer de la vessie
- Quels sont les premiers symptômes du cancer de la vessie ?
- Cancer de l'estomac
- Cancer de l'intestin grêle
- Cancer de l'oesophage
- Cancer de stade 4 ou IV
- Cancer des ganglions
- Cancer des os
- Cancer des testicules
- Cancer du cardia
- Cancer du côlon
- Quels sont les premiers symptômes du cancer du côlon ?
- Cancer duodénal ou du duodénum
- Cancer du foie
- Cancer du nombril : nodule de sœur Marie-Joseph
- Cancer du poumon
- Cancer du poumon non opérable
- Cancer du pénis ou de la verge
- Cancer du poumon : peut-on guérir d'un cancer à petites cellules ?
- Cancer du pancréas
- Est-ce que l'alcool peut provoquer un cancer du pancréas ?
- Quels sont les premiers symptômes du cancer du pancréas ?
- Cancer du rein
- Cancer du sang
- Cancer du péritoine
- Cancer et inflammation : quel lien ?
- Cancer foudroyant
- Cancer généralisé
- Carcinome basocellulaire
- Cholangiocarcinome
- Combien de temps met un cancer pour se développer ?
- Combien de temps met un polype pour devenir cancéreux ?
- Comment détecter un cancer ?
- Comment savoir qu'on a un cancer ?
- Existe-t-il un lien entre cancer et tatouage ?
- Glioblastome
- Histiocytose
- Lymphome
- Lymphome de Hodgkin
- Lymphome non hodgkinien
- Leucémie
- Leucémie lymphocytaire chronique c’est quoi ?
- Peut-on guérir d’une leucémie myéloïde chronique ?
- Taux de survie de la leucémie aiguë myéloïde (LAM)
- Myélome
- Neuroblastome
- Quelles sont les causes de la leucémie lymphoblastique aiguë ?
- Nodule
- Mycosis fongoïde
- Nodule pulmonaire
- Mastocytose
- Comment savoir si un nodule est cancéreux
- Médulloblastome
- Comment savoir si un nodule au poumon est cancéreux ?
- Nodule de la thyroïde
- Peut-on vivre avec des nodules aux poumons ?
- Ostéosarcome
- Polype
- Quel est le cancer le plus douloureux ?
- Qu'est qu'un cancer du cœur ?
- Rétinoblastome
- Sarcome
- Schwannome ou neurinome
- Syndromes myélodysplasiques
- Syndromes myéloprolifératifs
- Tuméfaction
- Tumeur au cerveau
- Tumeurs du système nerveux central (SNC)
- Tumeur neuroendocrine (TNE)